Alix T. Coste, Adrian Egli, Gilbert Greub (Author) Self-testing for SARS-CoV-2: importance of lay communication Fulltext PDF Fulltext HTML
Federico Caobelli, Christel H. Kamani, Rene Nkoulou, Ronny R. Buechel (Author) The importance of 18F-FDG cardiac PET/CT for the assessment of myocardial viability in ischaemic heart disease: A position paper endorsed by the Swiss Society of Nuclear Medicine (SGNM) Fulltext PDF Fulltext HTML
Stephan Wagner, Yves Harder (Author) Surgical therapy of lymphoedema in Switzerland: challenge for the surgeon with benefit for the patient? Fulltext PDF Fulltext HTML
Markus Petermann, Jürg Fröhlich, Daniel Wyler (Author) A case study of short-term forecasting during the COVID-19 pandemic: the platform icumonitoring.ch Fulltext PDF Fulltext HTML
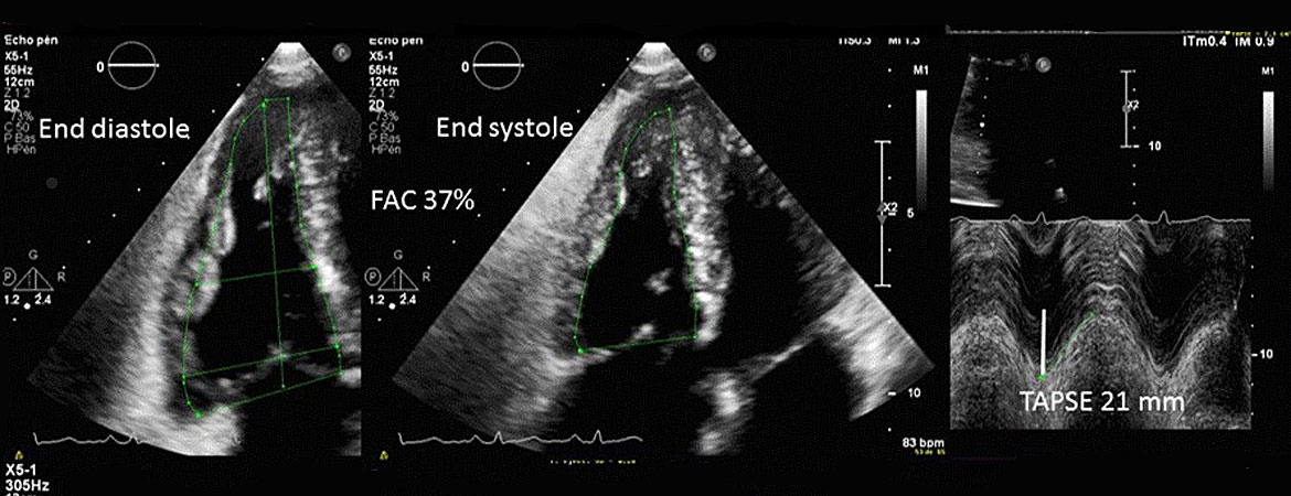
Nicolas Brugger, Mona Lichtblau, Micha T. Maeder, Hajo Müller, Cyril Pellaton, Patrick Yerly (Author) Two-dimensional transthoracic echocardiography at rest for the diagnosis, screening and management of pulmonary hypertension Fulltext PDF Fulltext HTML
Rolf Erlebach, Esther G. Gerrits, Michele Hess, Esther Bächli (Author) Stroke management in a Swiss community hospital – in close collaboration with a stroke centre Fulltext PDF Fulltext HTML
Andrea Meienberg, Michael Mayr, Stefano Bassetti, Eliska Potlukova (Author) Are we fit to teach? A survey in physicians of the in- and outpatient departments of internal medicine at a Swiss university hospital Fulltext PDF Fulltext HTML