Bettina Zimmermann, Georg Starke, David Shaw, Bernice Elger, Insa Koné (Author) Actionability and scope should determine the extent of counselling for presymptomatic genetic testing Fulltext PDF Fulltext HTML
Ana Rosca, Tanja Krones, Nikola Biller-Andorno (Author) Shared decision making: patients have a right to be informed about possible treatment options and their risks and benefits Fulltext PDF Fulltext HTML
Alberto Beretta (Author) Unexpected liaisons between old cytokines and new deadly virus Fulltext PDF Fulltext HTML
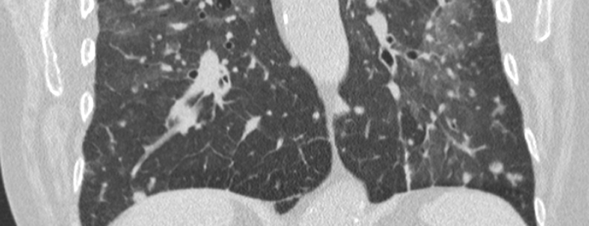
Elia Rigamonti, Davide Salera, Alina C. Gheorghiu, Corneliu Fratila, Pietro Gianella (Author) The many faces of interstitial pneumonia: a case of presumed SARS-CoV-2 infection Fulltext PDF Fulltext HTML
Nina Kimmich, Jana Birri, Roland Zimmermann, Martina Kreft (Author) Association between levator ani muscle avulsions and technique of vacuum extraction – a prospective exploratory study Fulltext PDF Fulltext HTML
Stéphanie Giezendanner, Peter Tschudi, Jörg Leuppi, Thomas Dieterle, Andreas Zeller (Author) Effect of guideline revisions by the Swiss Society of Hypertension on blood pressure control in hypertensive patients from primary care Fulltext PDF Fulltext HTML Appendix
Bérengère Aubry-Rozier, Céline Richard, Sheila Unger, Didier Hans, Belinda Campos-Xavier, Patrick Schneider, Célia Paquier, Jennifer Pasche, Luisa Bonafé, Aline Bregou, Swiss Medical Weekly (Author) Osteogenesis imperfecta: towards an individualised interdisciplinary care strategy to improve physical activity and quality of life Fulltext PDF Fulltext HTML Appendix