Danielle Menosi Gualandro, Raphael Twerenbold, Jasper Boeddinghaus, Thomas Nestelberger, Christian Puelacher, Christian Mueller (Author) Biomarkers in cardiovascular medicine: towards precision medicine Fulltext PDF Fulltext HTML
Roland Bingisser, Christian H. Nickel (Author) The last decade of symptom-oriented research in emergency medicine: triage, work-up, and disposition Fulltext PDF Fulltext HTML
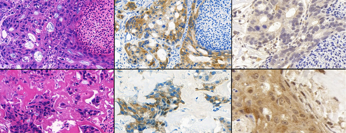
Félice A. Janser, Mario P. Tschan, Rupert Langer (Author) The role of autophagy in HER2-targeted therapy Fulltext PDF Fulltext HTML
Andrea Bregenzer, Nicole Warmann, Cornelia Ottiger, Christoph Andreas Fux (Author) Rapid point-of-care HCV RNA quantification in capillary whole blood for diagnosing chronic HCV infection, monitoring treatment and detecting reinfection Fulltext PDF Fulltext HTML
Nicolas Gürtler, Andrea Erba, Céline Giehl, Sarah Tschudin-Sutter, Stefano Bassetti, Michael Osthoff (Author) Appropriateness of antimicrobial prescribing in a Swiss tertiary care hospital: a repeated point prevalence survey Fulltext PDF Fulltext HTML Appendix
Lukas Bachmann, Agnė Ulytė, Holger Dressel (Author) Clinical practice guidelines of medical societies in Switzerland: analysis of the current state Fulltext PDF Fulltext HTML Appendix