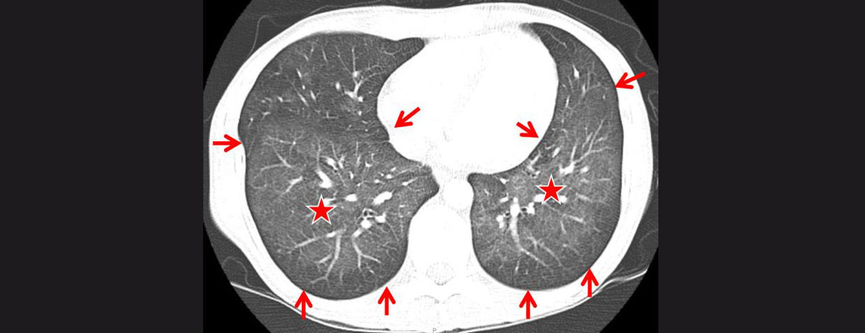
Andreas Christe, Laura Walti, Jaled Charimo, Andri Rauch, Hansjakob Furrer, Andreas Meyer, Uyen Huynh-Do, Johannes T Heverhagen, Nicolas J. Mueller, Matthias Cavassini, Matteo Mombelli, Christian van Delden, Thomas Frauenfelder, Xavier Montet, Catherine Beigelman-Aubry, Spyridon Arampatzis, Lukas Ebner, Swiss Transplant Cohort Study (Author)