Henryk Zulewski, Luca Giovanella, Stefan Bilz, Emanuel Christ, Andreas Haldemann, Hans Steinert, Sabine Weidner, Daniel Oertli, Frédéric Triponez, Thomas Clerici, Anna Minder, Matthias Dettmer, Paul Komminoth (Author) Multidisciplinary approach for risk-oriented treatment of low-risk papillary thyroid cancer in Switzerland Fulltext PDF Fulltext HTML
Onur Boyman, Natalia Arenas-Ramirez (Author) Development of a novel class of interleukin-2 immunotherapies for metastatic cancer Fulltext PDF Fulltext HTML
Andrea Uccelli, Thomas Wolff, Paolo Valente, Nunzia Di Maggio, Matteo Pellegrino, Lorenz Gürke, Andrea Banfi, Roberto Gianni-Barrera (Author) Vascular endothelial growth factor biology for regenerative angiogenesis Fulltext PDF Fulltext HTML
Valeria Spina, Davide Rossi (Author) Liquid biopsy in tissue-born lymphomas Fulltext PDF Fulltext HTML
KC Mandip, Clifford J. Steer (Author) A new era of gene editing for the treatment of human diseases Fulltext PDF Fulltext HTML
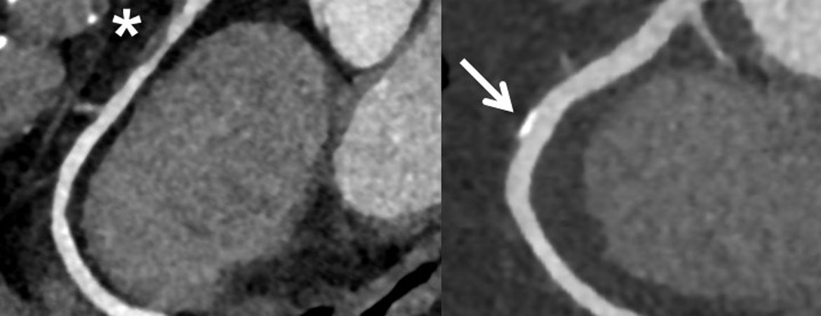
Evelyne Neurauter, Sebastian Leschka, Simon Wildermuth, Niklas F. Ehl, Lucas Joerg, Hans Rickli, Micha T. Maeder (Author) Use of coronary computed tomography angiography in clinical practice – single centre experience in Switzerland in light of current recommendations based on pretest probability considerations Fulltext PDF Fulltext HTML
François Taban, Nadia Elia, Elisabetta Rapiti, Christoph Rageth, Gerald Fioretta, Simone Benhamou, Giang Than Lam, Emmanuel David-Montefiore, Christine Bouchardy (Author) Impact of experience in breast cancer surgery on survival: the role of quality of care in a registry-based cohort Fulltext PDF Fulltext HTML
Urs Rusch, Sarah Robbins, Homie Razavi, Pietro Vernazza, Sarah Blach, Philip Bruggmann, Beat Müllhaupt, Francesco Negro, David Semela (Author) Microelimination of chronic hepatitis C in Switzerland: modelling the Swiss Hepatitis Strategy goals in eastern, western and northern regions Fulltext PDF Fulltext HTML Appendix
Kathrin Zürcher, Marcel Zwahlen, Claudia Berlin, Matthias Egger, Lukas Fenner (Author) Trends in influenza vaccination uptake in Switzerland: Swiss Health Survey 2007 and 2012 Fulltext PDF Fulltext HTML Appendix