Douglas Hanahan (Author) Swiss Medical Weekly congratulates Jaco van Rheenen, recipient of the Dr Josef Steiner Cancer Research Foundation Award for 2017 Fulltext PDF Fulltext HTML Appendix
Thierry Fumeaux, Michael Wehrli, for the Swiss Intensive Care Medicine Society (SGI-SSMI) (Author) Does interprofessionality work in Swiss ICUs and should it be encouraged? Fulltext PDF Fulltext HTML
Lotte Bruens, Jacco van Rheenen (Author) Cellular protection mechanisms that minimise accumulation of mutations in intestinal tissue Fulltext PDF Fulltext HTML
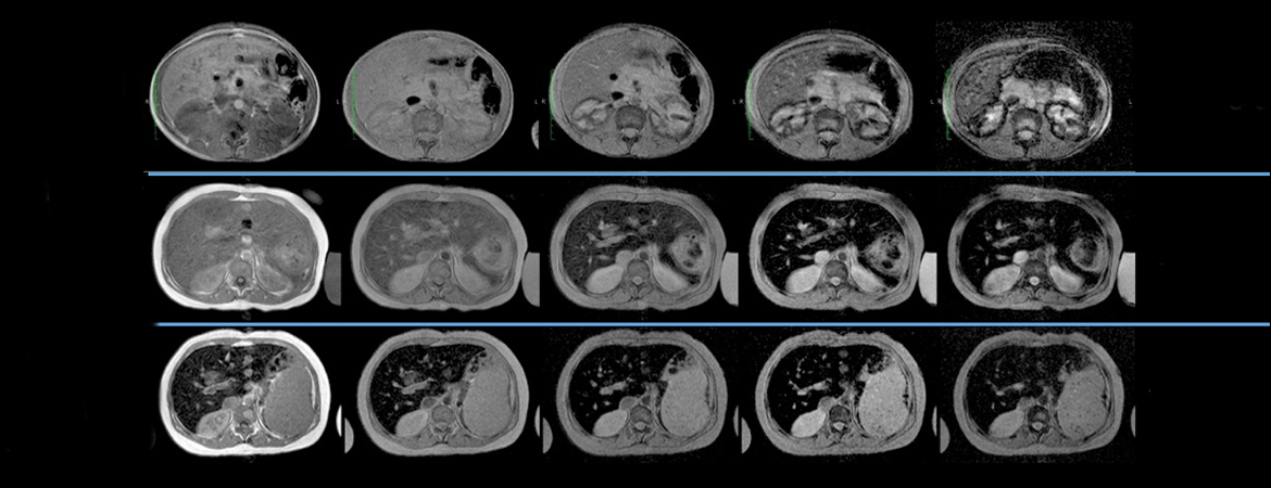
Axel Rüfer, Christine Bapst, Rudolf Benz, Jens Bremerich, Nathan Cantoni, Laura Infanti, Kaveh Samii, Mathias Schmid, Jean-Paul Vallée (Author) Role of liver magnetic resonance imaging in hyperferritinaemia and the diagnosis of iron overload Fulltext PDF Fulltext HTML
Lorenzo Campisi, André Berchtold, Yara Barrense-Dias, Christina Akre, Mario Gehri, Joan-Carles Surís (Author) Risk behaviours among native and immigrant youths in Switzerland: a cross-sectional study Fulltext PDF Fulltext HTML
Matthias Briel, Bernice S Elger, Erik von Elm, Priya Satalkar (Author) Insufficient recruitment and premature discontinuation of clinical trials in Switzerland: qualitative study with trialists and other stakeholders Fulltext PDF Fulltext HTML Appendix
Cora Alexandra Voekt, Therese Rinderknecht, Hans Hirsch, Annette Blaich, Irene Mathilde Hösli (Author) Ultrasound indications for maternal STORCH testing in pregnancy Fulltext PDF Fulltext HTML
Anda-Petronela Radan, Sofia Amylidi-Mohr, Beatrix Mosimann, Cedric Simillion, Luigi Raio, Martin Mueller, Daniel Surbek (Author) Safety and effectiveness of labour induction after caesarean section using balloon catheter or oxytocin Fulltext PDF Fulltext HTML
Zanfina Ademi, Alena M Pfeil, Elizabeth Hancock, David Trueman, Rola Haroun, Céline Deschaseaux, Matthias Schwenkglenks (Author) Cost-effectiveness of sacubitril/valsartan in chronic heart-failure patients with reduced ejection fraction Fulltext PDF Fulltext HTML
Sakina Kherra, Jean-Louis Blouin, Federico Santoni, Valerie M. Schwitzgebel (Author) Precision medicine for monogenic diabetes: from a survey to the development of a next-generation diagnostic panel Fulltext PDF Fulltext HTML
Philip Bruggmann, Sarah Blach, Pierre Deltenre, Jan Fehr, Roger D. Kouyos, Daniel Lavanchy, Beat Müllhaupt, Andri Rauch, Homie Razavi, Patrick Schmid, David Semela, Marcel Stöckle, Franco Negro (Author) Hepatitis C virus dynamics among intravenous drug users suggest that an annual treatment uptake above 10% would eliminate the disease by 2030 Fulltext PDF Fulltext HTML
Nadine Häusler, Matthias Bopp, Oliver Hämmig (Author) Informal caregiving, work-privacy conflict and burnout among health professionals in Switzerland – a cross-sectional study Fulltext PDF Fulltext HTML Appendix
Andrea Kaelin Agten, Daniel Passweg, Stephanie von Orelli, Nancy Ringel, Ruedi Tschudi, Boris Tutschek (Author) Temporal trends of postpartum haemorrhage in Switzerland: a 22-year retrospective population-based cohort study Fulltext PDF Fulltext HTML
Swiss Society for Anaesthesiology and Resuscitation, Swiss Association of Nurse Anesthesists (Author) Supplementum 226: Annual Meeting of the Swiss Society for Anesthesiology and Resuscitation SGAR/SSAR and Swiss Association of Nurse Anesthesists SIGA (Interlaken, Switzerland, November 9-11, 2017) Fulltext PDF