Pietro Vernazza (Author) HIV screening: better communication instead of searching for a needle in a haystack? Fulltext PDF Fulltext HTML
Pietro Vernazza, Edwin J. Bernard (Author) HIV is not transmitted under fully suppressive therapy: The Swiss Statement – eight years later Fulltext PDF Fulltext HTML
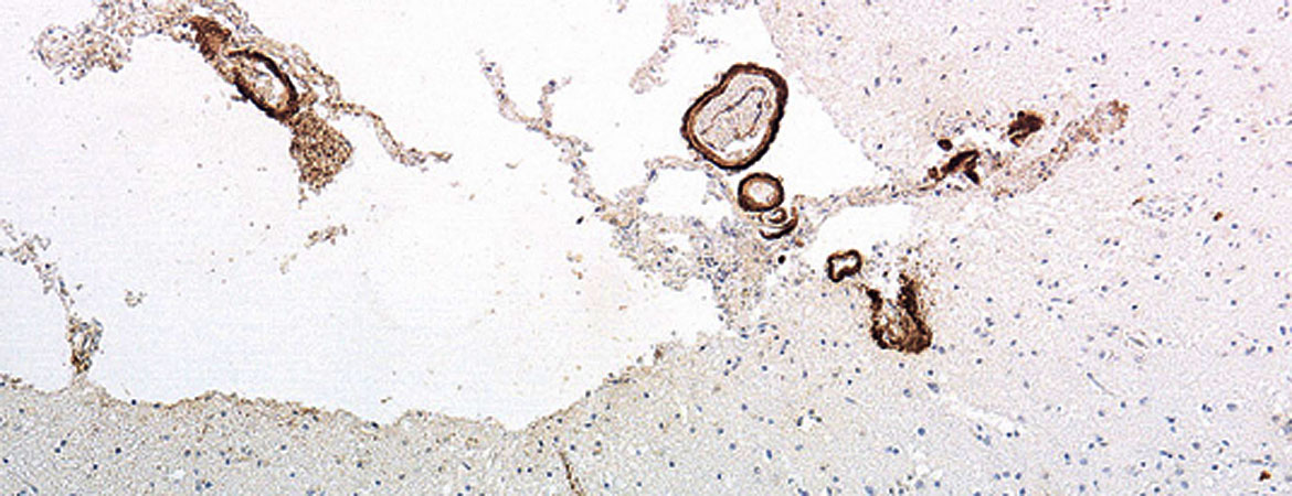
Karl Frontzek, Mirjam I. Lutz, Adriano Aguzzi, Gabor G. Kovacs, Herbert Budka (Author) Amyloid-β pathology and cerebral amyloid angiopathy are frequent in iatrogenic Creutzfeldt-Jakob disease after dural grafting Fulltext PDF Fulltext HTML
Lacher Simone, Albert Wettstein, Oliver Senn, Thomas Rosemann, Susann Hasler (Author) Types of abuse and risk factors associated with elder abuse Fulltext PDF Fulltext HTML
Christine Cooper, Robert Fellner, Olivier Heubi, Frank Maixner, Albert Zink, Sandra Lösch (Author) Tuberculosis in early medieval Switzerland – osteological and molecular evidence Fulltext PDF Fulltext HTML