Skip to main navigation menu Skip to main content Skip to site footer
DOI:
https://doi.org/10.4414/smw.2020.20387

Original article

Vol. 150 No. 4546 (2020)

Multisystem inflammatory syndrome with refractory cardiogenic shock due to acute myocarditis and mononeuritis multiplex after SARS-CoV-2 infection in an adult

Cite this as:
Swiss Med Wkly. 2020;150:w20387
Published
11.11.2020

Summary

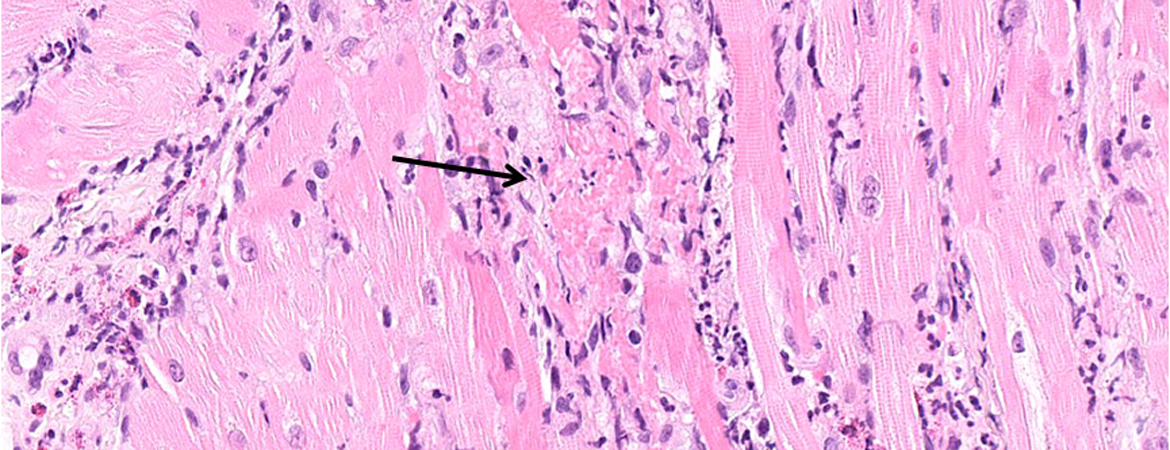
A 22-year-old male with a typical history of pauci-symptomatic COVID-19 3 weeks earlier, confirmed by positive serology for SARS-CoV-2 (IgG), was admitted to the intensive care unit because of severe myocarditis with refractory cardiogenic shock that required extracorporeal life support. Due to a clinical presentation suggestive of Kawasaki-like disease with coronary aneurysm and severe systemic inflammation, intravenous immunoglobulins were administered in combination with tocilizumab. The initial clinical course was favourable with these treatments. However, the patient subsequently developed a severe mononeuritis multiplex leading to bilateral foot drop, which required intensive immunosuppressive therapy (corticosteroids, cyclophosphamide and rituximab). The clinical presentation meets the criteria for multisystem inflammatory syndrome associated with SARS-CoV-2, but includes very severe organ damages. Early recognition, a multidisciplinary approach and aggressive therapeutic intervention can lead to a favourable outcome.

References

  1. Huang C, Wang Y, Li X, Ren L, Zhao J, Hu Y, et al. Clinical features of patients infected with 2019 novel coronavirus in Wuhan, China. Lancet. 2020;395(10223):497–506. doi:.https://doi.org/10.1016/S0140-6736(20)30183-5
  2. Verdoni L, Mazza A, Gervasoni A, Martelli L, Ruggeri M, Ciuffreda M, et al. An outbreak of severe Kawasaki-like disease at the Italian epicentre of the SARS-CoV-2 epidemic: an observational cohort study. Lancet. 2020;395(10239):1771–8. doi:.https://doi.org/10.1016/S0140-6736(20)31103-X
  3. Health Alert Network. Multisystem Inflammatory Syndrome in Children (MIS-C) Associated with Coronavirus Disease 2019 (COVID-19). 2020. Available from: https://emergency.cdc.gov/han/2020/han00432.asp [accessed 2020 June 9].
  4. Shaigany S, Gnirke M, Guttmann A, Chong H, Meehan S, Raabe V, et al. An adult with Kawasaki-like multisystem inflammatory syndrome associated with COVID-19. Lancet. 2020;396(10246):e8–10. doi:.https://doi.org/10.1016/S0140-6736(20)31526-9
  5. McCrindle BW, Rowley AH, Newburger JW, Burns JC, Bolger AF, Gewitz M, et al.; American Heart Association Rheumatic Fever, Endocarditis, and Kawasaki Disease Committee of the Council on Cardiovascular Disease in the Young; Council on Cardiovascular and Stroke Nursing; Council on Cardiovascular Surgery and Anesthesia; and Council on Epidemiology and Prevention. Diagnosis, Treatment, and Long-Term Management of Kawasaki Disease: A Scientific Statement for Health Professionals From the American Heart Association. Circulation. 2017;135(17):e927–99. doi:.https://doi.org/10.1161/CIR.0000000000000484
  6. Gwathmey KG, Burns TM, Collins MP, Dyck PJ. Vasculitic neuropathies. Lancet Neurol. 2014;13(1):67–82. doi:.https://doi.org/10.1016/S1474-4422(13)70236-9
  7. Collins MP, Dyck PJ, Gronseth GS, Guillevin L, Hadden RD, Heuss D, et al.; Peripheral Nerve Society. Peripheral Nerve Society Guideline on the classification, diagnosis, investigation, and immunosuppressive therapy of non-systemic vasculitic neuropathy: executive summary. J Peripher Nerv Syst. 2010;15(3):176–84. doi:.https://doi.org/10.1111/j.1529-8027.2010.00281.x
  8. Gatterre P, Oualha M, Dupic L, Iserin F, Bodemer C, Lesage F, et al. Kawasaki disease: an unexpected etiology of shock and multiple organ dysfunction syndrome. Intensive Care Med. 2012;38(5):872–8. doi:.https://doi.org/10.1007/s00134-012-2473-8
  9. Collins MP, Mendell JR, Periquet MI, Sahenk Z, Amato AA, Gronseth GS, et al. Superficial peroneal nerve/peroneus brevis muscle biopsy in vasculitic neuropathy. Neurology. 2000;55(5):636–43. doi:.https://doi.org/10.1212/WNL.55.5.636
  10. Varga Z, Flammer AJ, Steiger P, Haberecker M, Andermatt R, Zinkernagel AS, et al. Endothelial cell infection and endotheliitis in COVID-19. Lancet. 2020;395(10234):1417–8. doi:.https://doi.org/10.1016/S0140-6736(20)30937-5
  11. Watson C, Whittaker S, Smith N, Vora AJ, Dumonde DC, Brown KA. IL-6 acts on endothelial cells to preferentially increase their adherence for lymphocytes. Clin Exp Immunol. 1996;105(1):112–9. doi:.https://doi.org/10.1046/j.1365-2249.1996.d01-717.x
  12. Magro C, Mulvey JJ, Berlin D, Nuovo G, Salvatore S, Harp J, et al. Complement associated microvascular injury and thrombosis in the pathogenesis of severe COVID-19 infection: A report of five cases. Transl Res. 2020;220:1–13. doi:.https://doi.org/10.1016/j.trsl.2020.04.007
  13. Menikou S, Langford PR, Levin M. Kawasaki Disease: The Role of Immune Complexes Revisited. Front Immunol. 2019;10:1156. doi:.https://doi.org/10.3389/fimmu.2019.01156
  14. Licciardi F, Pruccoli G, Denina M, Parodi E, Taglietto M, Rosati S, et al. SARS-CoV-2-Induced Kawasaki-Like Hyperinflammatory Syndrome: A Novel COVID Phenotype in Children. Pediatrics. 2020;146(2):e20201711. doi:.https://doi.org/10.1542/peds.2020-1711
  15. Craver R, Huber S, Sandomirsky M, McKenna D, Schieffelin J, Finger L. Fatal Eosinophilic Myocarditis in a Healthy 17-Year-Old Male with Severe Acute Respiratory Syndrome Coronavirus 2 (SARS-CoV-2c). Fetal Pediatr Pathol. 2020;39(3):263–8. doi:.https://doi.org/10.1080/15513815.2020.1761491
  16. Yokouchi Y, Oharaseki T, Harada M, Ihara F, Naoe S, Takahashi K. Histopathological study of lymph node lesions in the acute phase of Kawasaki disease. Histopathology. 2013;62(3):387–96. doi:.https://doi.org/10.1111/his.12007
  17. Luo P, Liu Y, Qiu L, Liu X, Liu D, Li J. Tocilizumab treatment in COVID-19: A single center experience. J Med Virol. 2020;92(7):814–8. doi:.https://doi.org/10.1002/jmv.25801

Most read articles by the same author(s)

1 2 > >>