DOI: https://doi.org/https://doi.org/10.57187/s.4024
Homozygous familial hypercholesterolaemia (HoFH) is a very rare, autosomal, semi-dominant disease caused mostly by two mutant alleles of the LDL receptor gene (LDLR) [1]. While the more prevalent heterozygous familial hypercholesterolaemia affects about 1 in 250 individuals, it is estimated that homozygous familial hypercholesterolaemia impacts approximately 1 in 300,000 individuals worldwide [2, 3]. Homozygous familial hypercholesterolaemia is characterised by substantially elevated levels of low-density lipoprotein cholesterol (LDL-C) ranging from 10 mmol/l to 25 mmol/l from birth [4]. This leads to accelerated development of early-onset atherosclerotic cardiovascular disease, often resulting in premature mortality [2].
In addition to lifestyle changes and patient education, early treatment with a potent lipid-lowering therapy, typically consisting of a high-dose statin combined with ezetimibe, is the cornerstone treatment for every homozygous familial hypercholesterolaemia patient. In cases where the LDL cholesterol target (<1.8 mmol/l or <1.4 mmol/l for patients with additional atherosclerotic cardiovascular disease risk factors or confirmed atherosclerotic cardiovascular disease) is not achieved [5], treatment targeted at proprotein convertase subtilisin / kexin type 9 (PCSK9) is an additional therapeutic option. However, the efficacy of treatment with a PCSK9 inhibitor depends on the level of residual LDL receptor activity [2] with a mean LDL cholesterol reduction of about 20% in the homozygous familial hypercholesterolaemia population [6, 7]. In Switzerland, weekly lipoprotein apheresis, combined with comprehensive lipid-lowering therapy, remains the most effective strategy for managing LDL cholesterol levels in these patients.
Evinacumab, a recombinant human monoclonal antibody administered intravenously on a monthly basis, targets angiopoietin-like protein 3 (ANGPTL3), a liver-secreted protein that increases plasma levels of triglycerides, LDL cholesterol and high-density lipoprotein (HDL). By inhibiting ANGPTL3, evinacumab significantly lowers LDL cholesterol levels, independently of LDL receptor functionality [8]. On the basis of the results of the phase 3 trial ELIPSE HoFH (Evinacumab Lipid Studies in Patients with Homozygous Familial Hypercholesterolemia) [9], it was approved both in the USA and in Europe in 2021 for the treatment of patients with homozygous familial hypercholesterolaemia. ELIPSE HoFH demonstrated a 47.1% reduction in LDL cholesterol levels in patients with homozygous familial hypercholesterolaemia who received evinacumab, corresponding to an absolute decrease of approximately 3.5 mmol/l, irrespective of their LDL receptor function. Additionally, the study by Rosenson et al. reported a sustained reduction in LDL cholesterol levels over 72 weeks, with no safety concerns observed [10]. Currently, evinacumab is not approved in Switzerland and is only available under very strict and controlled conditions through article 71c of the Ordinance on Health Insurance (KVV). This article allows for the reimbursement of the cost of medicinal products in individual cases, even if they are not included in the list of pharmaceutical specialties [11].
In this case report, we present the clinical data of the first patient in Switzerland treated with evinacumab.
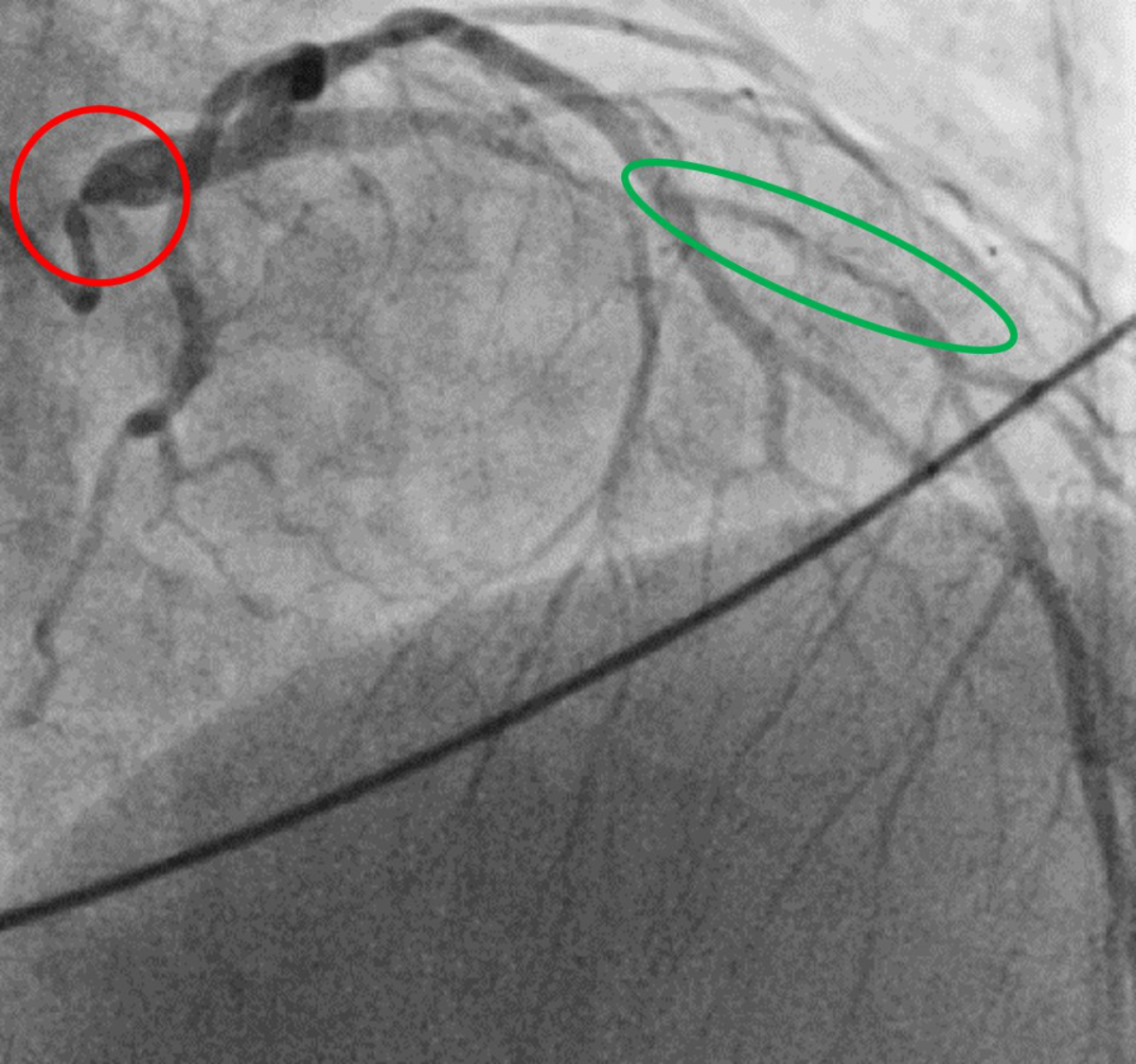
A 42-year-old man with homozygous familial hypercholesterolaemia and a confirmed homozygous LDLR mutation experienced significant progression of his atherosclerotic cardiovascular disease over the years, despite receiving maximum lipid-lowering therapy. At the age of 11 years, he underwent his first percutaneous coronary intervention (PCI) for a high-grade stenosis of the left main coronary artery. Since then, he has been treated with high-intensity statins, ezetimibe and weekly apheresis. In 2021, aged 39, he underwent triple coronary bypass surgery and replacement of the ascending aorta because of progressive coronary artery disease (figure 1) and a highly calcified aortic root. Two years later, in 2023, he experienced a myocardial infarction caused by an acute occlusion of the right coronary artery (saphenous vein graft chronically occluded). Simultaneously, a computed tomography angiography scan demonstrated diffuse peripheral arterial occlusive disease with atheromatous infiltration in the ilio-femoral region (figure 2) as well as bilateral atheromatous infiltration of the carotids, indicating systemic polyvascular atherosclerotic infiltration.

Figure 1Coronary angiogram. Diagnostic coronary angiogram showing an ostial subtotal left main stenosis (red circle) as well as significant stenosis in the mid left anterior descending artery (green circle) before coronary artery bypass surgery in 2021 (age 39 years).

Figure 2Computed tomography angiography. 3D reconstruction (A), coronal view (B) and axial view (C) demonstrating atheromatous infiltration in the descending aorta (red arrows) and in the two common iliac arteries (green circles) in 2023 (age 40 years).
Despite receiving maximal lipid-lowering therapy, including the addition of a PCSK9 inhibitor by the end of 2023 which resulted in an additional ~10% reduction in LDL cholesterol, mean LDL cholesterol levels ranged from 6.0 to 8.0 mmol/l before weekly apheresis and 3.0 to 4.5 mmol/l post-apheresis.
Following approval from the health insurance provider for a 6-month trial period, the patient received the initial dose of evinacumab in April 2024, with the next dose administered one month later. Both doses were delivered at the standard regimen of 15 mg/kg. One week after the first dose, the LDL cholesterol value before apheresis was 3.84 mmol/l decreasing to 0.76 mmol/l after apheresis. For the first time in the patient’s medical history, an LDL cholesterol value within the target range of <1.4 mmol/l was observed. After the second injection, which is when the maximum effect is expected and a therapeutic plateau is reached, the mean LDL cholesterol value before apheresis was 2.8 mmol/l and 0.6 mmol/l after apheresis (−53% and −72%, respectively). A temporal plot of LDL values is provided in figure 3. No significant changes in triglyceride or lipoprotein(a) levels were observed after treatment initiation, with both values remaining within the normal range prior to starting therapy. Consistent with the findings in the ELIPSE HoFH trial, the treatment has been well tolerated by the patient, with no reported side effects or safety concerns. Blood tests conducted regularly during the weekly apheresis have shown no unusual findings since the start of the treatment.

Figure 3Temporal evolution of low-density lipoprotein cholesterol (LDL-C) level (in mmol/l) before and after initiation of evinacumab treatment during weekly apheresis.
From the patient’s perspective, despite the significant efficacy of the new treatment, the lowest mean LDL cholesterol level achieved, calculated using the Kroon method [12], was 2.03 mmol/l, which remains substantially above the target of <1.4 mmol/l. This makes it impractical to discontinue or extend the interval between weekly apheresis sessions. A longer treatment duration and extended follow-up are essential to evaluate the long-term clinical effects and safety of the treatment.
Homozygous familial hypercholesterolaemia is a rare condition associated with premature cardiovascular death and represents a major challenge for physicians. Despite current therapeutic interventions with high-intensity statins, ezetimibe, a PCSK9 inhibitor and lipid apheresis, patients often struggle to achieve LDL cholesterol goals and prevent progression of atherosclerotic cardiovascular disease. Evinacumab is a highly effective new treatment that should be added to the therapeutic arsenal for managing these patients. The synergy between these different treatments is crucial in optimising LDL cholesterol control. This highlights the potential for achieving the ambitious guideline-recommended target LDL cholesterol values despite the extremely elevated baseline levels in this small patient population, thus avoiding the need for liver transplantation, which may be considered a last-resort strategy for patients with progressive disease despite maximal lipid-lowering therapy [13].
Furthermore, this case highlights the importance of early identification of patients with homozygous familial hypercholesterolaemia and early initiation of intensive lipid-lowering therapy in mitigating disease progression. Similar to diabetes or smoking, the number of years of exposure to high LDL cholesterol levels significantly impacts the life expectancy of these patients. Early initiation of treatment in childhood can prevent or delay the onset of atherosclerosis and its clinical manifestations [13]. From a national perspective, establishing a national registry in Switzerland could facilitate improved management strategies and provide valuable insights into the utilisation of novel therapies.
Written informed consent was obtained from the patient for the publication of this article.
All authors have completed and submitted the International Committee of Medical Journal Editors form for disclosure of potential conflicts of interest. No potential conflict of interest related to the content of this manuscript was disclosed.
1. Cuchel M, Bruckert E, Ginsberg HN, Raal FJ, Santos RD, Hegele RA, et al.; European Atherosclerosis Society Consensus Panel on Familial Hypercholesterolaemia. Homozygous familial hypercholesterolaemia: new insights and guidance for clinicians to improve detection and clinical management. A position paper from the Consensus Panel on Familial Hypercholesterolaemia of the European Atherosclerosis Society. Eur Heart J. 2014 Aug;35(32):2146–57. doi: https://doi.org/10.1093/eurheartj/ehu274
2. Stock J. EAS Consensus Panel statement on homozygous FH. Atherosclerosis. 2015 Sep;242(1):323–6. doi: https://doi.org/10.1016/j.atherosclerosis.2015.06.050
3. Akioyamen LE, Genest J, Shan SD, Reel RL, Albaum JM, Chu A, et al. Estimating the prevalence of heterozygous familial hypercholesterolaemia: a systematic review and meta-analysis. BMJ Open. 2017 Sep;7(9):e016461. doi: https://doi.org/10.1136/bmjopen-2017-016461
4. France M, Rees A, Datta D, Thompson G, Capps N, Ferns G, et al.; for HEART UK Medical Scientific and Research Committee. HEART UK statement on the management of homozygous familial hypercholesterolaemia in the United Kingdom. Atherosclerosis. 2016 Dec;255:128–39. doi: https://doi.org/10.1016/j.atherosclerosis.2016.10.017
5. Mach F, Baigent C, Catapano AL, Koskinas KC, Casula M, Badimon L, et al.; ESC Scientific Document Group. 2019 ESC/EAS Guidelines for the management of dyslipidaemias: lipid modification to reduce cardiovascular risk. Eur Heart J. 2020 Jan;41(1):111–88. doi: https://doi.org/10.1093/eurheartj/ehz455
6. Raal FJ, Honarpour N, Blom DJ, Hovingh GK, Xu F, Scott R, et al.; TESLA Investigators. Inhibition of PCSK9 with evolocumab in homozygous familial hypercholesterolaemia (TESLA Part B): a randomised, double-blind, placebo-controlled trial. Lancet. 2015 Jan;385(9965):341–50. doi: https://doi.org/10.1016/S0140-6736(14)61374-X
7. Santos RD, Stein EA, Hovingh GK, Blom DJ, Soran H, Watts GF, et al. Long-Term Evolocumab in Patients With Familial Hypercholesterolemia. J Am Coll Cardiol. 2020 Feb;75(6):565–74. doi: https://doi.org/10.1016/j.jacc.2019.12.020
8. Gaudet D, Gipe DA, Pordy R, Ahmad Z, Cuchel M, Shah PK, et al. ANGPTL3 Inhibition in Homozygous Familial Hypercholesterolemia. N Engl J Med. 2017 Jul;377(3):296–7. doi: https://doi.org/10.1056/NEJMc1705994
9. Raal FJ, Rosenson RS, Reeskamp LF, Hovingh GK, Kastelein JJ, Rubba P, et al.; ELIPSE HoFH Investigators. Evinacumab for Homozygous Familial Hypercholesterolemia. N Engl J Med. 2020 Aug;383(8):711–20. doi: https://doi.org/10.1056/NEJMoa2004215
10. Rosenson RS, Burgess LJ, Ebenbichler CF, Baum SJ, Stroes ES, Ali S, et al. Longer-Term Efficacy and Safety of Evinacumab in Patients With Refractory Hypercholesterolemia. JAMA Cardiol. 2023 Nov;8(11):1070–6. doi: https://doi.org/10.1001/jamacardio.2023.2921
11. Reimbursement for the cost of medical products in individual cases. Federal Office of Public Health (BAG). 12.6.2024. Available from: https://www.bag.admin.ch/bag/en/home/versicherungen/krankenversicherung/krankenversicherung-leistungen-tarife/Arzneimittel/verguetung-arzneimittel-im-einzelfall.html
12. Kroon AA, van’t Hof MA, Demacker PN, Stalenhoef AF. The rebound of lipoproteins after LDL-apheresis. Kinetics and estimation of mean lipoprotein levels. Atherosclerosis. 2000 Oct;152(2):519–26. doi: https://doi.org/10.1016/S0021-9150(00)00371-3
13. Cuchel M, Raal FJ, Hegele RA, Al-Rasadi K, Arca M, Averna M, et al. 2023 Update on European Atherosclerosis Society Consensus Statement on Homozygous Familial Hypercholesterolaemia: new treatments and clinical guidance. Eur Heart J. 2023 Jul;44(25):2277–91. doi: https://doi.org/10.1093/eurheartj/ehad197