DOI: https://doi.org/https://doi.org/10.57187/s.3863
Alveolar echinococcosis is a rare but potentially severe parasitic zoonosis caused by the development in the liver of the larval stage (metacestode) of the cestode Echinococcus multilocularis. Human contamination (accidental intermediate host) occurs through direct contact with foxes, dogs or, to a lesser extent, cats infested with the tapeworm (definitive host). More frequently, the contamination occurs through ingestion of raw vegetables contaminated by the faeces of these carnivores containing the parasite’s eggs. Various wild rodents (mainly voles) serve as the natural intermediate hosts for this parasite. After ingestion, Echinococcus multilocularis eggs release oncospheres that travel via the portal vein to the liver, where they continue their larval development. Foxes feed on these rodents, and the metacestodes evolve into adult worms in their intestines. The last segment of these small tapeworms contains eggs released into the external environment with fox faeces (figure 1).

Figure 1Alveolar echinococcosis. Parasitic life cycle of Echinococcus multilocularis. (Source: Centers for Disease Control and Prevention (CDC): https://www.cdc.gov/dpdx/echinococcosis/index.html. Reference to specific commercial products, manufacturers, companies, or trademarks does not constitute its endorsement or recommendation by the U.S. Government, Department of Health and Human Services, or Centers for Disease Control and Prevention.)
In immunocompetent humans, the metacestode develops very slowly but progresses like a malignant tumour, invading the liver tissue, vessel and bile duct walls. It can proliferate beyond the liver, invading adjacent structures (e.g. diaphragm, peritoneum, pancreas) or spread through lymphatic or haematogenous routes, forming distant metastases, mainly in the lungs. The initial symptoms typically appear ten to fifteen years after contamination. Without treatment, symptomatic alveolar echinococcosis is almost invariably fatal within a decade [1]. Only complete surgical removal of the parasitic mass, when technically feasible, can lead to cure. Albendazole, an antiparasitic from the benzimidazole family, is only parasitostatic against Echinococcus multilocularis but remains the sole available drug and represents the common denominator for all therapeutic options. It is administered in conjunction with surgical resection to reduce the risk of relapse. Complete surgical excision, combined with albendazole, usually allows for the patient’s cure. Albendazole is also very useful in inoperable patients: long-term – most often lifelong – administration stabilises the disease in the majority of cases.
The prognosis of this parasitic disease, once catastrophic 50 years ago, has significantly improved thanks to earlier diagnoses, systematic administration of albendazole, advances in hepatobiliary surgery and the development of instrumental techniques to treat biliary complications. Multidisciplinary management of alveolar echinococcosis, involving infectious disease specialists, parasitologists, hepatogastroenterologists, radiologists and surgeons, is also essential. Expert centres in Europe report excellent current survival rates, around 90% at 5 years [2].
The disease is present in the northern hemisphere only, and the global Disability-Adjusted Life Year (DALY) burden has been estimated at 666,433 [3]. China constitutes the largest global focus, with a prevalence of almost 3% on the Tibetan Plateau. Alveolar echinococcosis is also present in Japan, Central Asia, Europe, North America including Alaska. The detection of the parasite in the Americas has only been recent [4, 5]. In Europe, alveolar echinococcosis has been on the rise since the beginning of the 21st century [6]. The annual incidence varies by country, ranging between 0.03 and 1.2 per 100,000 inhabitants [3]. Several European centres have recently reported the emergence of opportunistic forms in patients treated with chemotherapy for solid cancers or haematological disorders, immunosuppressants or biotherapy for chronic inflammatory diseases, contributing to the increased incidence [7, 8].
Switzerland is endemic for alveolar echinococcosis, with a prevalence of Echinococcus multilocularis infestation in foxes ranging between 30% and 70% in the Jura and 1% to 20% in the Alpine regions. The Federal Office of Public Health (OFSP) reports between 10 and 28 new cases per year [1]. The incidence of human disease increased in Switzerland in the early 2000s. The increase in fox populations, their rate of infestation by Echinococcus multilocularis and the appearance of opportunistic forms of alveolar echinococcosis could explain this trend [9]. However, given that alveolar echinococcosis is not a notifiable disease, there is currently no reliable and recent epidemiological data for the Swiss population.
A better understanding of the epidemiology of alveolar echinococcosis could identify high-risk areas and behaviours, demographic trends (age at diagnosis, sex, geographical location), clinical characteristics, therapeutic management and propose potential preventive public health actions. The objective of the present work was to describe the demographic, epidemiological, clinical and therapeutic characteristics of alveolar echinococcosis between 2010 and 2021 in the canton of Geneva.
This is a retrospective cross-sectional survey conducted among practitioners likely to be involved with patients with alveolar echinococcosis and the patients themselves. To be included, patients had to be diagnosed between 2010 and 2021 and be medically followed in the canton of Geneva. We recorded the evolution of the patients and of the disease during this period, analysing the context in which the patients were living, their initial symptoms, the modes of diagnosis of alveolar echinococcosis, the different therapeutic and palliative treatment options and the prognosis.
Data was collected through two questionnaires: (1) an epidemiological questionnaire, completed by patients, gathering data on their lifestyle and geographic and professional contexts, investigating the possible circumstances of contamination; (2) a medical questionnaire, sent to the referring physician, collecting data on the circumstances of diagnosis, presence and degree of hepatic and/or extrahepatic involvement, management modalities and clinical outcome.
Patients were recruited from two sources (figure 2). The first source consisted of patients followed at the University Hospitals of Geneva (HUG). We directly asked patients for their oral consent and then sent them the consent form along with an explanatory letter and an epidemiological questionnaire. The second source included patients followed outside the HUG. To do this, we contacted and sent a medical questionnaire to the physicians most likely to encounter this parasitic disease – hepatogastroenterologists, infectious disease specialists and abdominal surgeons – through the Geneva telephone directory, hepatogastroenterology forums and the association of private hepatogastroenterologists.

Figure 2Obtaining patient consent and collecting data. Description of the step-by-step process for obtaining consent from patients with alveolar echinococcosis and for collecting data.
The data collected in the epidemiological and medical questionnaires was checked, sometimes supplemented by direct oral or written exchanges with the referring physician or the patient, and then entered into REDCap, a secure database. The radiological description and initial imaging were studied, allowing the establishment of the PNM stage of the disease [10]. The P designates the parasitic mass in the liver, its location and the presence or absence of biliary and/or vascular invasions. The N designates the invasion of neighbouring organs, and the M is determined by the presence or absence of metastases in distant organs.
For the descriptive analysis of demographic, epidemiological and clinical characteristics, discriminative variables (e.g. presence of immunosuppression, other exposure) were expressed in frequency (%) and continuous variables (e.g. age) as mean (± standard deviation) and median (range). To analyse the incidence of alveolar echinococcosis in the canton of Geneva, expressed as the number of new cases diagnosed annually per 100,000 inhabitants, only patients domiciled in the canton of Geneva at the time of diagnosis were included.
The study protocol was approved by the CCER (Commission cantonale d’éthique à la recherche or Cantonal Commission for Ethics in Research) on 15 September 2021 (BASEC ID: 2021-01307). The study protocol can be found at the CCER and on the website of Swiss Ethics: https://ongoingprojects.swissethics.ch/runningProjects_list.php?q=%28BASECID~contains~2021-01307%29&orderby=dBASECID
We contacted 29 hepatogastroenterologists, 7 infectious disease specialists and 43 surgeons. Among these private practitioners (n = 79), 6 (7.6%) reported not following patients with alveolar echinococcosis and 1 (1.3%) connected us with one of his patients, diagnosed and treated in the private sector. Seventy-two physicians (91.1%) did not respond. Apart from one patient, all patients were recruited at Geneva University Hospital, which is the only centre in the canton where multidisciplinary management for alveolar echinococcosis is available.
Between 1 January 2010 and 31 December 2021, a total of 27 patients were diagnosed and managed in the canton of Geneva. Two patients were not included in the analysis: one patient did not provide his consent and one patient could not be contacted despite several attempts. Of these 27 patients, 14 resided in the canton of Geneva at the time of diagnosis. Based on an averaged population of 485,321 inhabitants between 2010 and 2021, this results in a mean incidence of 0.24 cases per 100,000 inhabitants.
Of the 25 included patients, 14 (56%) were women and 11 (44%) men. The median age of patients was 55 years (range: 17–83). The professional activities and geographical distribution of patients’ residences are summarised in table 1. Two city-dwelling patients reported having a country house in alveolar echinococcosis risk areas.
Table 1Demographic data and medical history of 25 patients with alveolar echinococcosis in the canton of Geneva (2010–2021).
| Variables | Values | ||
| Age at diagnosis in years, median (range) | 55 (17–83) | ||
| Sex, n (%) | Male | 11 (44%) | |
| Female | 14 (56%) | ||
| Place of residence at diagnosis*, n (%) | Switzerland | 22 (88%) | |
| Canton | Geneva | 14 (56%) | |
| Vaud | 3 (12%) | ||
| Valais | 2 (8%) | ||
| Fribourg | 2 (8%) | ||
| Neuchâtel | 1 (4%) | ||
| France | 2 (8%) | ||
| Department | Ain | 1 (4%) | |
| Moselle | 1 (4%) | ||
| Profession, n (%) | Agricultural activity | 2 (8%) | |
| Employee | 6 (24%) | ||
| Senior executive / Intellectual profession | 5 (20%) | ||
| Worker | 3 (12%) | ||
| Craftsman, retailer | 2 (8%) | ||
| Student | 1 (4%) | ||
| Jobless | 1 (4%) | ||
| Retired (except farmers) | 8 (32%) | ||
| Immunosuppression context** | 4 (16%) | ||
* Data concerning a deceased patient is missing.
** Myelodysplastic syndrome (n = 2), ankylosing spondylitis (n = 1), kidney transplant (n = 1).
Four (16%) patients were immunosuppressed at the time of diagnosis. Two patients had myelodysplastic syndrome, one patient had ankylosing spondylitis treated with anti-tumour necrosis factor (TNF) antibodies for 7 years, and one patient was treated with tacrolimus and mycophenolate mofetil following renal transplant for amyloidosis, 9 years prior to the incidental discovery of hepatic alveolar echinococcosis. Most patients reported one or more other risk factor(s) for alveolar echinococcosis, as detailed in table 2.
Table 2Risk exposure of 25 patients with alveolar echinococcosis in the canton of Geneva (2010–2021).
| Potential risk factor | n (%) | |
| Observation of foxes around the house | 17 (68%) | |
| Owning a vegetable garden | 17 (68%) | |
| Without fence | 13 (76.5%) | |
| With fence | 4 (23.5%) | |
| Composting | 16 (64%) | |
| Ownership of dog(s) | 14 (56%) | |
| Ownership of cat(s) | 14 (56%) | |
| Consumption of uncooked wild berries | 12 (48%) | |
| Presence of chicken / rabbits or other animals | 10 (40%) | |
| Family members suffering from alveolar echinococcosis* | 4 (16%) | |
* Mother; daughter; wife; daughter of husband’s cousin
The clinical circumstances leading to diagnosis are detailed in table 3. One patient presented to the emergency room with left hypochondrial pain, four years after superior mesenteric vein thrombosis. It was later revealed that the patient had a primary splenic form of alveolar echinococcosis. Asymptomatic patients (n = 12; 48%) were most often diagnosed incidentally following blood tests revealing liver test abnormalities or imaging studies ordered for other reasons. In symptomatic patients, abdominal pain was the most frequent revealing symptom (n = 13; 52%).
Table 3Circumstances of alveolar echinococcosis diagnosis in 25 patients in the canton of Geneva (2010–2021).
| Circumstances | n (%) | ||
| Asymptomatic | 12 (48%) | ||
| Incidental discovery* | 10 (40%) | ||
| Serological screening** | 2 (8%) | ||
| Symptomatic | 13 (52%) | ||
| Abdominal pain | 13 (52%) | ||
| Impaired general condition | 5 (20%) | ||
| Asthenia | 2 (8%) | ||
| Weight loss | 3 (12%) | ||
| Fever | 1 (4%) | ||
| Jaundice | 4 (16%) | ||
| Cholangitis | 1 (4%) | ||
| Liver abscess | 1 (4%) | ||
| Hepatomegaly | 1 (4%) | ||
| Ascites | 1 (4%) | ||
| Splenomegaly | 1 (4%) | ||
* Investigations triggered by abnormal liver function tests or imaging studies performed for another reason.
** 1 patient: family investigation (case in a relative); 1 patient: presence of multiple epidemiological risk factors.
The characteristics of hepatic lesions in 24 of the 25 patients are described in table 4 and a detailed description for 5 patients is provided in figures 3 and 4. Hepatic lesions invaded one or more adjacent organs in 3 patients: diaphragm (n = 2), adrenal gland (n = 1), pericardium (n = 1) and abdominal wall (n = 1). Another patient had pulmonary metastases. Only one patient presented a purely extrahepatic location, in the form of a primary splenic alveolar echinococcosis (figure 5). The PNM stages for the 24 patients with hepatic lesions are indicated in table 5. The patient with primary splenic involvement could not be classified as this system was conceptualised for liver lesions.
Table 4Description of liver lesions in 24 patients with alveolar echinococcosis.
| Description | n (%) | ||
| Presence of liver lesions | 24 (96%) | ||
| Affected lobes | Right lobe | 12 (50%) | |
| Left lobe | 1 (4.1%) | ||
| Left and right lobe | 10 (41.7%) | ||
| Affected segments | I | 8 (33.3%) | |
| II | 10 (41.7%) | ||
| III | 10 (41.7%) | ||
| IV | 13 (54.2%) | ||
| V | 13 (54.2%) | ||
| VI | 10 (41.7%) | ||
| VII | 12 (50%) | ||
| VIII | 14 (58.3%) | ||
| Number of lesions (range) | 1–30 | ||
| Size of largest lesion | <20 mm | 0 | |
| 20–50 mm | 9 (37.5%) | ||
| 50–100 mm | 7 (29.2%) | ||
| >100 mm | 7 (39.2%) | ||
| Other features* | Central biliary or vascular infiltration of a lobe | 5 (20.8%) | |
| Central biliary or vascular infiltration of both lobes | 2 (8.3%) | ||
| Calcifications detected | 16 (66.7%) | ||
| Hepatic lesion and vascular extension** | 8 (33.3%) | ||
| Intrahepatic bile duct dilation | 8 (33.3%) | ||
| Centroparasitic necrosis | 6 (25%) | ||
| Invasion of the hepatic hilum | 7 (29.2%) | ||
| Pedicle flow | 3 (12.5%) | ||
| Infiltration of portal vein | 3 (12.5%) | ||
| Infiltration of common hepatic artery | 2 (8.3%) | ||
| Infiltration of suprahepatic veins | 10 (41.8%) | ||
| Infiltration of inferior vena cava | 6 (25%) | ||
* By applying the criteria used for the P component (parasite in the liver) of WHO’s PNM classification [10].
** Portal veins and/or hepatic artery.

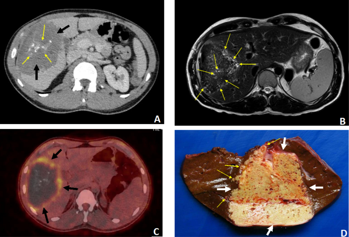
Figure 337-year-old patient. Discovery of hepatic alveolar echinococcosis (AE) classified as P2N1M0 (stage IIIb) due to right hypochondrial pain. A–C: Radiological aspects of the lesion invading the right lobe (segments IV, V, VI and VII). A: Non-contrast CT scan, axial section: huge AE lesion (11 cm in greatest axis) with heterogeneous content, central “crumb-like” calcifications (thin arrows) and a hypodense peripheral component (thick arrows). Ill-defined margins. B: MRI, T2-weighted sequence, axial section. Presence of numerous hyper-T2 microcysts within the lesion (arrows), indicative of the florid nature of AE. C: PET-CT axial section: intense perilesional uptake of 18 fluorodeoxyglucose (arrows), an indirect sign of an active AE. D: Right hepatectomy specimen, macroscopic view: the AE lesion is located at the centre of the surgical specimen (thick arrows). Chamois yellow in colour, it is filled with numerous small cavities corresponding to parasitic microcysts. The lesion has irregular limits and extends into the healthy hepatic parenchyma (thin arrows).

Figure 4A–C: 27-year-old female patient revealing advanced hepatic alveolar echinococcosis (AE) with cholestatic jaundice. A: Ultrasound: extensive heterogeneous lesion of the right lobe with irregular contours (thick arrows), containing numerous calcifications with posterior shadow cones (thin arrows). B: Contrast-enhanced CT scan, portal phase, axial section. The huge lesion (thick arrows) involves segments IV, V, VI and VIII with invasion of the right portal branch (thin arrow) and the hilum, causing dilation of the intrahepatic bile ducts in the non-infected left liver (arrowhead). C: PET-CT, axial section. Intense perilesional activity (arrows). D–F: Three cases of AE diagnosed at a pauci- or asymptomatic stage. D: 56-year-old patient, abdominal discomfort. Contrast-enhanced CT scan, portal phase, axial cut. Multiple small scattered AE foci in both lobes, without calcified components. E: 66-year-old patient, renal transplant recipient. Incidental discovery (imaging for sigmoiditis) of hepatic AE. Contrast-enhanced CT scan, arterial phase, axial section. Two foci located in segment IV. Only the anterior focus contains punctate calcifications (thin arrows). The posterior focus invades the left and median suprahepatic veins (thick arrows). F: 45-year-old patient. Discovery of AE during an annual routine blood test showing a slight elevation of gamma-GT. Contrast-enhanced CT scan, portal phase, axial section. Centrohepatic lesion with a low calcified component, hilar and pedicular infiltration and invasion of the hepatic artery (arrows).

Figure 5A–B: 67-year-old patient admitted to the emergency department for a painful crisis in the left hypochondrium occurring 4 years after superior mesenteric vein thrombosis. A: Contrast-enhanced CT scan, portal phase, axial cut. Multicystic hypodense splenic lesion (arrows). B: Total splenectomy specimen, macroscopic view. The lesion is filled with multiple alveoli (arrows) characteristic of alveolar echinococcosis, corresponding to parasitic microcysts. No clear limits.
Table 5Classification and staging of hepatic alveolar echinococcosis (24* patients).
| Classification | n (%) | Staging | n (%) |
| P1N0M0 | 10 (41.7%) | I | 11 (45.8%) |
| P1N1M0 | 1 (4.2%) | ||
| P2N0M0 | 1 (4.2%) | II | 1 (4.2%) |
| P3N0M0 | 2 (8.3 %) | IIIa | 2 (8.3%) |
| P2N1M0 | 4 (16.7%) | IIIb | 7 (29.2%) |
| P3N1M0 | 1 (4.2%) | ||
| P4N0M0 | 3 (12.5%) | ||
| P3N0M1 | 2 (8.3%) | IV | 3 (12.5%) |
| P4N1M1 | 1 (4.2%) |
* Classification not applicable to the patient with a primary splenic lesion.
The methods used to confirm the diagnosis of alveolar echinococcosis are summarised in table 6. The vast majority of patients were diagnosed through imaging and specific serology, resulting in a probable alveolar echinococcosis diagnosis as defined by the WHO consensus [11]. Histopathological confirmation through echo-guided biopsy was necessary in only one patient. In another case, pathological examination after surgical excision of a hilar lesion suspected of being a cholangiocarcinoma led to the diagnosis of alveolar echinococcosis.
Table 6Methods used to confirm the diagnosis of alveolar echinococcosis (25 patients).
| Diagnostic methods | n (%) | |
| Imaging | 24* (96%) | |
| CT | 22 (88%) | |
| MRI | 22 (88%) | |
| PET-CT | 21 (84%) | |
| US | 18 (72%) | |
| Serology | 25 (100%) | |
| 1st line (ELISA) only | 4 (16%) | |
| 2nd line (Western blot) only** | 1 (4%) | |
| Both 1st and 2nd line | 19 (76%) | |
| Anatomopathology | Percutaneous biopsy | 1 (4%) |
| Surgical specimen | 14 (56%) | |
| Molecular diagnosis (PCR)*** | 2 (8.3%) | |
ELISA: enzyme-linked immunosorbent assay; PCR: polymerase chain reaction.
* In a patient presenting with cholestatic jaundice, the initial diagnosis suspected on imaging was cholangiocarcinoma. The diagnosis of alveolar echinococcosis was made on the basis of operative findings and pathological examination.
** In this patient, first-line serological tests (ELISA and indirect haemagglutination) were performed using Echinococcus granulosus antigens only. The Western blot for Echinococcus multilocularis subsequently carried out was positive, in addition to radiological images typical of alveolar echinococcosis.
*** Hepatic lesion (1 case) and pericardial lesion (1 case).
Treatment modalities are summarised in table 7.
Table 7Treatment modalities for the 25 patients with alveolar echinococcosis.
| Description | n (%) | ||
| Liver surgery with curative intent* | 12 (48%) | ||
| Partial hepatectomy | 11 (91.6%) | ||
| Right hepatectomy | 2 (16.7%) | ||
| Enlarged right hepatectomy | 2 (16.7%) | ||
| Atypical hepatectomy | 7 (53.8%) | ||
| Hepatic allotransplant | 1 (8.3%) | ||
| Additional technical features | Vascular reconstruction | 5 (41.7%) | |
| Biliary reconstruction | 3 (25%) | ||
| Lymph node resection | 1 (8.3%) | ||
| Total splenectomy with curative intent | 1 (4%) | ||
| Palliative interventions | 5 (20%) | ||
| Laparotomy | 3 (60%) | ||
| Simple exploration | 1 (33.3%) | ||
| Surgical drainage** | 1 (33.3%) | ||
| Instrumental treatments | Endoscopic biliary procedure | 4 (80%) | |
| Percutaneous procedure*** | 4 (80%) | ||
| Initiation of albendazole treatment**** | 25 (100%) | ||
* Under laparotomy in 10 patients and laparoscopy in 2 patients.
** Pre-renal collection.
*** Biliary drainage: 2 patients; centro-parasitic abscess drainage: 2 patients.
**** At the time of diagnosis in 23 patients, after surgical resection in 2 patients.
Curative surgery: Curative surgical excision was possible in 13 patients (52%), including 11 patients by laparotomy (including 1 total splenectomy) and 2 patients by laparoscopy. One patient with advanced alveolar echinococcosis underwent liver transplantation.
The analysis of the surgical specimen confirmed the diagnosis of alveolar echinococcosis in 12 of the 13 patients for whom we had access to the histopathological report. For 1 patient, who died, we were unable to retrieve the report. One patient underwent surgery with an initial diagnosis of very probable cholangiocarcinoma. Histopathological examination of the surgical specimen, followed by specific serology, led to the diagnosis of alveolar echinococcosis. The patient with primary splenic alveolar echinococcosis underwent curative splenectomy (figure 5).
Instrumental treatments: Interventional radiology and/or biliary endoscopy procedures were performed in 4 (16%) patients: percutaneous drainage of dilated bile ducts or centro-parasitic abscesses, and endoscopic placement of biliary stents.
Antiparasitic treatment: Treatment with albendazole was initiated in all 25 patients. However, in 6 cases, surgical resection of the lesion was performed without concomitant use of albendazole (due to prior albendazole intolerance in 5 cases and an initial diagnosis of cholangiocarcinoma in 1 case). One patient intolerant to benzimidazoles was operated on under liposomal amphotericin B administration after obtaining informed consent because of the off-label status of this indication. Pharmacological monitoring was established for the 24 patients followed at HUG (plasma measurement of the active metabolite, albendazole sulphoxide).
Patients who underwent a curative surgical intervention received albendazole treatment for an intended duration of 2 years. Eight patients completed the 2 years, and two patients discontinued treatment after 3 and 12 months respectively due to the occurrence of side effects. One patient continued albendazole beyond the postoperative 2 years due to signs of persistent parasitic activity (celiac lymph nodes). One patient did not receive postoperative albendazole due to preoperative drug-induced hepatitis.
Inoperable patients were directed towards lifelong treatment. One asymptomatic patient, however, was able to stop treatment after 3 years. She had several small alveolar echinococcosis foci. Serological (negativation) and morphological data (especially PET-CT negativation) allowed treatment discontinuation while continuing close surveillance.
Adverse effects under albendazole occurred in 7 (28%) patients, the most common (n = 5) being hepatic cytolysis with an increase in alanine aminotransferase (ALT) of more than five times the normal value. Two of the 5 patients switched to mebendazole, which could not be continued due to hepatic intolerance as well. One patient could resume albendazole in a different galenic form (syrup instead of tablets) without tolerance problems. One case of haematological toxicity (agranulocytosis) and one case of alopecia were reported.
Three deaths occurred, two directly related to alveolar echinococcosis. These two patients were diagnosed at an advanced stage (stage IV).
This study reports an annual incidence of 0.24 new cases of alveolar echinococcosis per 100,000 inhabitants in the canton of Geneva for the period 2010–2021, which is similar to the nationwide incidence of 0.26 cases per 100,000 person-years reported by Schweiger et al. for the period 2001–2005 [9]. The latter thus showed a significantly increased annual incidence compared with the period 1956–1992 (0.10 per 100,000). This trend observed in our country may be linked to an increase in fox populations (due to control of rabies and lack of natural enemies), their increasingly frequent presence in urban and peri-urban areas noted since the late 1990s, and their infestation rates by Echinococcus multilocularis. In the same time period, we note a rise in the number of immunosuppressed patients, which may also contribute to this progression [9, 12]. The most recent data on alveolar echinococcosis incidence in Switzerland was published by the Swiss echinococcosis network initiated in 2020 [13]. It was based on an exploratory survey of 9 clinical centres (from 8 Swiss cantons) and the three main microbiology laboratories involved in alveolar echinococcosis diagnosis in Switzerland. The network collected 102 incident cases for the years 2020 and 2021, with 94 and 138 new positive alveolar echinococcosis serologies respectively [13]. The cantons of Zurich and Bern reported the majority of cases. While these are still very preliminary results, the latest data suggests a continued increase in alveolar echinococcosis incidence in Switzerland in recent years, with an estimated annual incidence currently ranging from 0.58 to 1.33 per 100,000 inhabitants, making Switzerland one of the most at-risk countries in Europe for this parasitic disease.
In our study, the majority of patients (n = 24) were followed at Geneva University Hospitals (HUG). Only one patient was diagnosed and treated in the private sector. Most patients were referred to HUG by their general practitioners. For patients followed at HUG, therapeutic decisions were always made in multidisciplinary meetings, following WHO recommendations [11]. The female-to-male ratio is 1.03, with a slightly higher representation of women (56%) than men. This is consistent with previous findings in other European countries, such as France (54%) [13], as well as Canada (52%) [14]. In Germany, a recent study suggested that the sex ratio was higher (1.4) in the period 1992–2000 than in the period 2000–2011 (1.25) [15]. In China, the region most heavily endemic for alveolar echinococcosis, a meta-analysis published in 2020 [16], focusing only on alveolar echinococcosis articles in that country, indicated that alveolar echinococcosis prevalence was higher in women, suggesting that female sex was a risk factor for alveolar echinococcosis (multiplied by 1.6). One explanation could be related to specific lifestyle habits in that region of the world, particularly regarding the distribution of domestic tasks. In at-risk areas, especially Tibet, only women are responsible for taking care of dogs, including feeding them [16].
We observed that owning a vegetable garden was the most frequently reported known risk factor. Additionally, 76.5% of patients who cultivated a vegetable garden had not installed fences. Ownership of dogs and cats was found in over half of the cases. This risk factor for alveolar echinococcosis has been emphasised in many studies [17, 18, 19]. While the involvement of dogs in transmission is well-established, it is more controversial for cats [20]. Indeed, cats are a less favourable definitive host for Echinococcus multilocularis, with the last segment of the tapeworm generally containing few or no eggs [20]. However, an Austrian study identified cat ownership as a potential risk factor [21], and a recent study examining carnivore faeces to identify the presence of Echinococcus multilocularis by polymerase chain reaction (PCR) highlighted its presence in cat faeces, raising questions about its role in transmission to humans [22]. Even though a study assessing the level of alveolar echinococcosis knowledge in the general population indicated that Switzerland performed better than in the other studied countries (Czechia, France and Germany), it performed the worst for the perception of severity of this condition [23]. Therefore, repeated awareness campaigns about the disease and its potential severity, combined with risk awareness by providing prevention advice (e.g. fencing vegetable gardens, isolating composting points, regular deworming of pets), seem warranted.
Regarding professions, most patients did not work in occupations known to be at risk of alveolar echinococcosis (e.g. farmers). We report a high proportion of upper-level executives and individuals with intellectual occupations and employees. These individuals likely became infected during travels, stays in rural areas or in their leisure activities (e.g. gardening, foraging, composting). In France, based on data from the FrancEchino registry, an overrepresentation of agriculture-related professions was observed in the past [13]. This trend has been decreasing since 2010 [24]. This underlines the importance of not limiting information to rural populations.
In our study, the representation of familial forms was significant, accounting for 16% of cases. Piarroux et al. reported 13% familial forms in a study analysing the French registry cases [25]. Sharing risk factors, coupled with genetically related patients with potential predisposing genetic factors can explain the occurrence of alveolar echinococcosis within a family [26, 27]. This emphasises the importance of offering screening (by serology and abdominal echography) to relatives of an index case who have shared or share the same risk factors, particularly to all first-degree relatives.
Nearly half of the patients were asymptomatic at the time of diagnosis, aligning with observations from recent European series [15, 19]. In France, the proportion of asymptomatic patients increased from 24% (1982–1992) to 50.2% (2003–2013), and for the latest years (2014–2018), asymptomatic forms (60.4%) became clearly more frequent than symptomatic forms [19]. In a German series published in 2017, 44% of patients were asymptomatic at diagnosis for the period 2000–2011, compared to 21.3% for the earlier period, 1992–1999 [15]. In our study, jaundice, a classic inaugural symptom of alveolar echinococcosis and a sign of advanced disease, was present in only 4 cases. The most frequent revealing symptom was abdominal pain (53% of cases), leading to imaging studies. Due to the earlier diagnoses during the course of alveolar echinococcosis, low PNM stage (I or II) was reported in nearly 50% of the patients, which is in accordance with recent data reported in Germany [15]. Among these asymptomatic forms, we noted a particular pattern in 3 patients that has been little described to date: multiple small, minimally or non-calcified nodules scattered in the hepatic parenchyma (figure 4D). This could represent an early stage of alveolar echinococcosis, preceding the more typical appearance resulting from the confluence of these lesions, associated with the progressive development of the calcified component [19]. Interestingly, for these 3 patients, the therapeutic orientation was long-term albendazole treatment due to the multifocal nature of alveolar echinococcosis, with a fairly rapid observation of an objective response. This allowed, in one case, an attempt to stop treatment after 3 years.
The proportion of immunosuppressed patients (16%) in our cohort appears high but is consistent with literature data [7, 8]. French data from the FrancEchino registry reports a prevalence of 9.8% (1982–2012), but emphasise a clear increase in the most recent period, with 84% of immunosuppressed patients reported during the last decade [7]. Two Swiss teams recently confirmed this observation. Lachenmayer et al. [2] reported a proportion of 30% immunosuppressed patients among alveolar echinococcosis cases diagnosed from 2008 to 2017 at Bern University Hospital; Deibel et al. identified an immunosuppressed condition in 20% of alveolar echinococcosis patients in the Zurich cohort [28]. In these reports, solid cancers treated with chemotherapy and chronic inflammatory diseases treated with various immunosuppressive drugs and/or biotherapies (e.g. anti-TNF antibodies, anti-CD20 antibodies) were the most common situations [2, 7, 28]. In our study, two patients were immunosuppressed due to myelodysplastic syndrome, and one patient had a renal transplant, situations also reported in the literature [7]. In the latter patient, who underwent regular abdominal morphological follow-ups, no suspicious liver lesions were reported 5 years before the diagnosis, confirming the accelerated progression of the metacestode in this context, a finding also observed in the French cohort [7]. The last patient, suffering from spondyloarthritis for several years, had a long history of immunosuppression due to treatment with anti-TNF-alpha antibodies. This patient is one of the two most severe cases in our study. He presented with inaugural jaundice, a sign of severe alveolar echinococcosis. The lesions were diffuse, and death occurred a few months after diagnosis. A recent literature review on this topic confirms the emergence of alveolar echinococcosis in the context of immunosuppression and highlights the diagnostic challenges in this situation, with a high prevalence (48%) of atypical radiological images leading to confusion and delayed diagnosis, and a low sensitivity of first-line serological tests (25%) [8]. A recent small French-Swiss series of solid organ transplant patients who developed alveolar echinococcosis under anti-rejection immunosuppressive treatment confirms this data and emphasises the importance of performing a second-line serological test by Western blot in these situations, when first-line tests are inconclusive [29]. Increased mortality (20% vs 4% in immunocompetent patients) was observed in Autier et al.’s review [8] and in the aforementioned series [29]. Our study aligns with this data since 2 of 4 patients (50%) with alveolar echinococcosis in the context of immunosuppression died compared to 4.7% in immunocompetent patients. All this information underscores the importance of raising awareness among specialists caring for immunosuppressed patients about the risk of opportunistic alveolar echinococcosis. Additionally, repeated prevention advice is essential in this high-risk population.
We report only one primary extrahepatic form (4%) as a splenic location. This result is consistent with those of a large European series (n = 599) [30] and a French series (n = 387) [25], reporting respectively 2% and 4% primary extrahepatic locations, including the spleen. The patient described in our series had a history of superior mesenteric vein thrombosis following laparoscopic resection of the caecum performed 4 years before the diagnosis of splenic alveolar echinococcosis. The mesenteric venous thrombosis likely facilitated redirection of blood flow towards the splenic vein, thereby allowing the primary infection of the spleen by the parasite. A case of primary vertebral alveolar echinococcosis in a patient with liver cirrhosis complicated by portal hypertension has recently been reported, probably involving the same mechanism of portal flow diversion [31].
Albendazole has become a pillar of alveolar echinococcosis therapy, as a complement or alternative to curative surgery. This antiparasitic treatment has considerably improved the prognosis of the disease. However, its long-term administration carries a significant risk of toxicity and therefore requires regular monitoring of the blood level of its active metabolite, albendazole sulphoxide, as well as liver function tests and blood cell counts.
This study has certain limitations that may have influenced the results, potentially leading to an underestimation of the number of patients and the incidence of alveolar echinococcosis. Indeed, only 6.3% of the contacted physicians actively responded to our invitation letter. While it is likely that most non-responses are related to the absence of alveolar echinococcosis patients followed during the study period, we cannot rule out other causes of non-response, such as a refusal to participate. However, since most patients were followed by specialised university teams, the probability of alveolar echinococcosis patients in Geneva who were never followed by HUG is probably low. Moreover, only specialists who were most likely to follow alveolar echinococcosis patients (hepatogastroenterologists, surgeons and infectious disease specialists) were surveyed. Although this hypothesis seems unlikely, we cannot exclude that physicians from other specialties (e.g. general internal medicine) may have followed alveolar echinococcosis patients between 2010 and 2021. It is also likely that some information provided by patients in the epidemiological questionnaire (e.g. dates, locations of previous stays) may have been reported inaccurately or forgotten given the considerable number of years (up to 11 years) covered by this retrospective study (recall bias) [32].
There is currently no primary or secondary prevention strategy for alveolar echinococcosis in the canton of Geneva. Various measures could be implemented, such as (a) veterinary monitoring of infection rates in foxes, (b) public awareness campaigns (e.g. fencing vegetable gardens, deworming dogs) and awareness campaigns for at-risk patients (e.g. immunosuppressed individuals), and (c) information for healthcare professionals (e.g. screening high-risk individuals). The most recent data from the survey carried out by the Swiss echinococcosis network suggests a very marked increase in the incidence of alveolar echinococcosis in Switzerland in recent years, probably one of the highest in Europe [12], as well as an increase in the number of patients with various immunosuppressive conditions. Consequently, we believe that alveolar echinococcosis should become a notifiable disease for the cantonal and federal authorities (FOPH), in order to ensure adequate monitoring of the epidemiological situation in Switzerland. Finally, similar to emerging viral diseases that have been in the news in recent years, a One Health public health approach involving human, animal and environmental dimensions intersectorally appears to be the preferred path forward for this emerging anthropozoonosis.
Our sincere thanks to Dr Philippe Zurbuchen, Dr Jean-Marc Schwob, Dr Andre Texeira Antunes, Laurent Brodier, Prof. Gui Stoffels, Prof. Michel Boulvain and Dr Sandrine Vijgen.
This research received no specific grant from any funding agency.
All authors have completed and submitted the International Committee of Medical Journal Editors form for disclosure of potential conflicts of interest. No potential conflict of interest related to the content of this manuscript was disclosed.
1. Fiche thématique sur l’Echinococcose. Office fédéral de la santé alimentaire et des affaires vétérinaires (OSAV), online, 2011 consulted on 12.02.2021 https://www.blv.admin.ch/blv/fr/home/tiere/tierseuchen/uebersicht-seuchen/alle-tierseuchen/echinococcose.html
2. Lachenmayer A, Gebbers D, Gottstein B, Candinas D, Beldi G. Elevated incidence of alveolar echinococcosis in immunocompromised patients. Food Waterborne Parasitol. 2019 May;16:e00060.
3. Torgerson PR, Keller K, Magnotta M, Ragland N. The global burden of alveolar echinococcosis. PLoS Negl Trop Dis. 2010 Jun;4(6):e722.
4. Wen H, Vuitton L, Tuxun T, Li J, Vuitton DA, Zhang W, et al. Echinococcosis: advances in the 21st Century. Clin Microbiol Rev. 2019 Feb;32(2):e00075-18.
5. Polish LB, Pritt B, Barth TFE, Gottstein B, O’Connell EM, Gibson PC. European haplotype of Echinococcus multilocularis in the United States. N Engl J Med. (November 17th); 387;20, 2022. DOI: .
6. Bresson-Hadni S, Spahr L, Chappuis F. Hepatic alveolar echinococcosis. Semin Liver Dis. 2021 Aug;41(3):393–408. doi: https://doi.org/10.1055/s-0041-1730925
7. Chauchet A, Grenouillet F, Knapp J, Richou C, Delabrousse E, Dentan C, et al.; FrancEchino Network. Increased incidence and characteristics of alveolar echinococcosis in patients with immunosuppression-associated conditions. Clin Infect Dis. 2014 Oct;59(8):1095–104.
8. Autier B, Gottstein B, Millon L, Ramharter M, Gruener B, Bresson-Hadni S, et al. Alveolar echinococcosis in immunocompromised hosts. Clin Microbiol Infect. 2023 May;29(5):593–9.
9. Schweiger A, Ammann RW, Candinas D, Clavien PA, Eckert J, Gottstein B, et al. Human alveolar echinococcosis after fox population increase, Switzerland. Emerg Infect Dis. 2007 Jun;13(6):878–82.
10. Kern P, Wen H, Sato N, Vuitton DA, Gruener B, Shao Y, et al. WHO classification of alveolar echinococcosis: principles and application. Parasitol Int. 2006;55 Suppl:S283–7.
11. Brunetti E, Kern P, Vuitton DA; Writing Panel for the WHO-IWGE. Expert consensus for the diagnosis and treatment of cystic and alveolar echinococcosis in humans. Acta Trop. 2010 Apr;114(1):1–16.
12. Bresson-Hadni S; Swiss Echinococcosis Network. Alveolar echinococcosis in Switzerland. Leading Opinions Internal Medicine 2023, Universimed-https://www.universimed.com/ch/epaper
13. Piarroux M, Piarroux R, Knapp J, Bardonnet K, Dumortier J, Watelet J, et al.; FrancEchino Surveillance Network. Populations at risk for alveolar echinococcosis, France. Emerg Infect Dis. 2013 May;19(5):721–8.
14. Houston S, Belga S, Buttenschoen K, Cooper R, Girgis S, Gottstein B, et al. Epidemiological and Clinical Characteristics of Alveolar Echinococcosis: An Emerging Infectious Disease in Alberta, Canada. Am J Trop Med Hyg. 2021 Mar;104(5):1863–9.
15. Grüner B, Kern P, Mayer B, Gräter T, Hillenbrad A, Barth TE, et al. Comprehensive diagnosis and treatment of AE: a single center, long- term observational study of 312 patients in Germany. GMS Infect Dis., 2017, DOI:
16. Wang X, Dai G, Li M, Jia W, Guo Z, Lu J. Prevalence of human alveolar echinococcosis in China: a systematic review and meta-analysis. BMC Public Health. 2020 Jul;20(1):1105.
17. European Food Safety Authority (EFSA),Zancanaro G. Annual assessment of Echinococcus multilocularis surveillance reports submitted in 2020 in the context of Commission Delegated Regulation (EU), 2018/772. EFSA J. 2021. Jan.
18. Baumann S, Shi R, Liu W, Bao H, Schmidberger J, Kratzer W, et al.; interdisciplinary Echinococcosis Working Group Ulm. Worldwide literature on epidemiology of human alveolar echinococcosis: a systematic review of research published in the twenty-first century. Infection. 2019 Oct;47(5):703–27.
19. Bresson-Hadni S, Bellanger AP, Knapp J, Grenouillet F, Blagosklonov O, Millon L, et al. Echinococcose alvéolaire. EMC Hépatol; 2020.
20. Conraths FJ, Probst C, Possenti A, Boufana B, Saulle R, La Torre G, et al. Potential risk factors associated with human alveolar echinococcosis: Systematic review and meta-analysis, PLoS Negl Trop Dis., 2017, DOI: . pntd.0005801
21. Kreidl P, Allerberger F, Judmaier G, Auer H, Aspöck H, Hall AJ. Domestic pets as risk factors for alveolar hydatid disease in Austria. Am J Epidemiol. 1998 May;147(10):978–81.
22. Knapp J, Combes B, Umhang G, Aknouche S, Millon L. Could the domestic cat play a significant role in the transmission of Echinococcus multilocularis? A study based on qPCR analysis of cat feces in a rural area in France. Parasite. 2016;23:42.
23. Hegglin D, Bontadina F, Gloor S, Romig T, Deplazes P, Kern P. Survey of public knowledge about Echinococcus multilocularis in four European countries: need for proactive information. BMC Public Health. 2008 Jul;8(1):247.
24. Knapp J, Demonmerot F, Lallemand S, Richou C, Heyd B, Montange D. Registre français de l’échinococcose alvéolaire : 776 patients et 35 ans de recueil de données épidémiologiques et cliniques. CO31. Congrès annuel de l’Association Française pour l’Etude du Foie. 2021.https://afef.asso.fr
25. Piarroux M, Piarroux R, Giorgi R, Knapp J, Bardonnet K, Sudre B, et al. Clinical features and evolution of alveolar echinococcosis in France from 1982 to 2007: results of a survey in 387 patients. J Hepatol. 2011 Nov;55(5):1025–33.
26. Yang YR, Ellis M, Sun T, Li Z, Liu X, Vuitton DA, et al. Unique family clustering of human echinococcosis cases in a chinese community. Am J Trop Med Hyg. 2006 Mar;74(3):487–94. doi: https://doi.org/10.4269/ajtmh.2006.74.487
27. Vuitton DA, Zhang SL, Yang Y, Godot V, Beurton I, Mantion G, et al. Survival strategy of Echinococcus multilocularis in the human host. Parasitol Int. 2006;55 Suppl:S51–5.
28. Deibel A, Meyer Zu Schwabedissen C, Husmann L, Grimm F, Deplazes P, Reiner CS, et al. Characteristics and Clinical Course of Alveolar Echinococcosis in Patients with Immunosuppression-Associated Conditions: A Retrospective Cohort Study. Pathogens. 2022 Apr;11(4):441. doi: https://doi.org/10.3390/pathogens11040441
29. Marquis B, Demonmerot F, Richou C, Thiéfin G, Millon L, Wallon M, et al.; Swiss Transplant Cohort Study; FrancEchino Network. Alveolar echinococcosis in solid organ transplant recipients: a case series from two national cohorts. Parasite. 2023;30:9.
30. Kern P, Bardonnet K, Renner E, Auer H, Pawlowski Z, Ammann RW, et al. European registry: Human AE, Europe, 1982. Emerg Infect Dis. 2000;2003: 10-3201/eid0903.020341.
31. Faucher JF, Descotes-Genon C, Hoen B, Godard J, Félix S, Aubry S, et al. Hints for control of infection in unique extrahepatic vertebral alveolar echinococcosis. Infection. 2017 Jun;45(3):365–8.
32. Hassan E.S, Recall Bias can be a Threat to Retrospective and Prospective Research Designs, Internet J. Epidemiology, 2005, DOI: