DOI: https://doi.org/https://doi.org/10.57187/s.3513
Immune checkpoint inhibitors have revolutionised the treatment of many cancers in the last decades. They bind to programmed death-1 (PD-1), programmed death ligand-1 (PD-L1) or cytotoxic T-lymphocyte antigen 4, thereby releasing the brakes that hamper the immune system’s response against tumours. However, immune checkpoint inhibitor treatment is frequently associated with the development of autoimmune toxicities, known as immune-related adverse events, which are classified according to the Common Terminology Criteria for Adverse Events (CTCAE) severity scale [1]. Skin and muscle are most frequently involved, although almost any organ can be affected [2]. Pembrolizumab is an anti-PD-1 monoclonal antibody indicated as first-line treatment for patients with advanced non-small cell lung cancer whose tumours express PD-L1 with at least a 50% tumour proportion score [3]. We report a case of anti-melanoma differentiation-associated gene 5 (MDA5)-positive dermatomyositis in a patient receiving pembrolizumab for advanced lung cancer. Although dermatomyositis without autoantibody specificity has been reported sporadically following treatment with immune checkpoint inhibitors [4, 5], to our knowledge, this case is the first in the literature to report anti-MDA5-positive dermatomyositis associated with this monoclonal antibody.
In May 2021, a 64-year-old man was diagnosed with stage IV squamous cell lung cancer, with 90% of neoplastic cells expressing PD-L1. The patient’s medical history included chronic allergic contact dermatitis since young adulthood and arterial hypertension, which was diagnosed in 2017 and treated with an angiotensin-converting enzyme inhibitor (ramipril 10 mg once daily). Neither severe acute respiratory syndrome coronavirus 2 nor other recent respiratory infections were reported. The patient was vaccinated against coronavirus disease 2019 (COVID-19) with ChAdOx1-S (Vaxzevria) in May 2021, followed by a booster dose 3 months later. He was an active smoker (4–5 cigarettes per day) with long smoking exposure (65 pack-years).
The patient started first-line immunotherapy with pembrolizumab (Keytruda®) 200 mg every three weeks on June 21, 2021. After the fourth pembrolizumab dose (800 mg cumulative dose), the patient had an optimal antitumour response (figures 1 and 2) but developed hypothyroidism (thyroid-stimulating hormone levels 30.04 mIU/l; normal values [n.v.] 0.5–5.0 mIU/l). Replacement therapy with levothyroxine 75 mcg per day was prescribed. Concurrently, the patient reported upper limb myalgia and muscle weakness, exacerbation of his chronic eczema with new areas of skin involvement, and moderate dyspnoea on exertion.

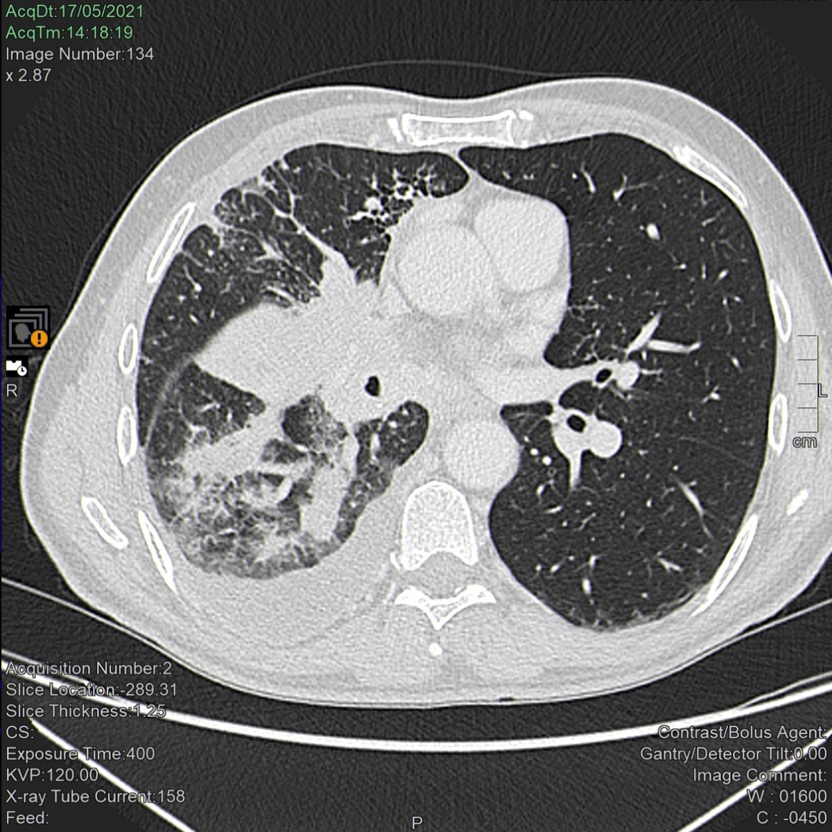
Figure 1Computed tomography scan of the lungs before treatment with pembrolizumab. A neoplastic mass occupies the right hilum causing complete stenosis of both the middle lobar bronchus (with complete atelectasis of the middle lobe) and the segmental apical bronchus of the lower right lobe. The lower lobar bronchus is reduced in size, parenchymal localizations are visible in the lower lobe and lymphangitis is apparent in the upper lobe. Pleural effusion is also apparent.

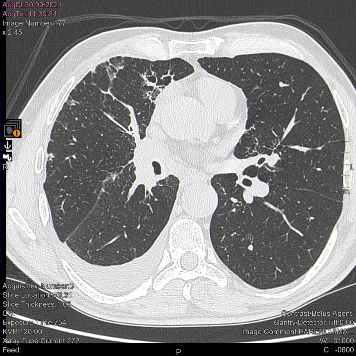
Figure 2Computed tomography scan of the lungs after 3 months of treatment with pembrolizumab. A considerable reduction in the size of the hilar tissue is apparent 3 months after pembrolizumab initiation. The middle lobe has re-expanded and the apical segmental bronchus of the lower lobe is newly patent. Parenchymal localizations have disappeared from the lower lobe and upper lobe lymphangitis has lessened.
Laboratory tests showed positive inflammation indexes with high C-reactive protein (1.14 mg/dl; n.v. <0.5 mg/dl) and fibrinogen (673 mg/dl; n.v. 200–400 mg/dl), and a slight increase in creatine kinase levels (231 U/l; n.v 25–200 U/l). The patient’s serum was tested for antinuclear antibodies using HEp-2 cells (Euroimmun, Lübeck, Germany), and showed a highly positive titre (1/640) with a primary speckled and secondary granular cytoplasmatic pattern. Extractable nuclear antigen screening for connective tissue disease was positive (1.1; n.v. 0–1.0) and a Crithidia luciliae immunofluorescence test (Euroimmun, Lübeck, Germany) was negative for anti-double-stranded DNA autoantibodies. Based on the clinical picture, a line blot assay was performed for myositis-specific and myositis-associated antigens (Euroimmun, Lübeck, Germany) and clear positivity for anti-MDA5 autoantibody was found (34 index). After two months, a second immunoblot assay confirmed this myositis profile (15 index). Cut-off value: negative ≤5.
Electroneuromyography of all four limbs showed mild myogenic findings in the proximal upper limbs without signs of myositis and mild sensory-motor neuropathy in the lower limbs. Skin findings included a heliotrope rash on the eyelids, nasal bridge and cheeks (figure 3), Gottron’s sign on the backs of both hands (figure 4) and the left elbow, and mechanic’s hands (figure 5). Muscle strength was reduced, and manual muscle testing found tenderness on abduction of the upper limbs. Auscultation revealed decreased breath sounds without crepitations. A diagnosis of anti-MDA5-positive pauci-myopathic dermatomyositis was made. Systemic autoimmune diseases that develop following immune checkpoint inhibitor treatment and have potentially life-threatening consequences are classified as grade IV according to the CTCAE scale and require urgent intervention. Respiratory function tests revealed moderate non-reversible severe obstructive disease, alveolar hyperinflation and a moderate reduction of the lungs’ diffusing capacity for carbon monoxide. High-resolution computed tomography of the chest showed very limited signs of smoking-related interstitial fibrosis.

Figure 3Heliotrope rash: bilateral lilac discolouration of the cheeks and nasal bridge, and telangiectasias on the nose and lower lip.

Figure 4Gottron’s sign: symmetrical erythematous-violaceous macules at the extensor surfaces of the metacarpophalangeal joints and mild digital clubbing along with hyperkeratosis on the ulnar aspect of the thumb and radial aspect of the index fingers of both hands.

Figure 5Mechanic’s hands. A: Hyperkeratosis on the distal and lateral aspects of the index finger of the right hand. B: A fissure on the lateral side of the index finger of the left hand. C: Detail of the hyperkeratosis on the medial aspect of the thumb of the right hand.
Treatment with pembrolizumab was temporarily discontinued after December 6, 2021 (1800 mg cumulative dose) and systemic glucocorticoids (prednisone 0.5 mg/kg daily) were started along with cyclosporin A 3 mg/kg per day, inhaled fluticasone furoate/vilanterol 92/22 µg every 24 hours and daily topical application of mometasone furoate 0.1% cream on the affected skin. The patient was adherent to the recommended treatment and tolerated it well. After clinical improvement, pembrolizumab was restarted. There had been a 5-week interruption since the last dose on January 14, 2022. Subsequently, the patient experienced severe diarrhoea with profound asthenia, severe hypokalaemia and syncope and required oral budesonide. He received systemic corticosteroids and a potassium infusion in the emergency department and anti-PD-1 therapy was discontinued after 9 weeks (March 21, 2022). The cumulative dose of pembrolizumab was 2600 mg. Despite discontinuing pembrolizumab, the patient achieved complete remission as demonstrated by full-body fluorodeoxyglucose-positron emission tomography in May 2022. As of November 2023, the patient’s dermatomyositis is controlled with 5 mg prednisone daily and he receives regular follow-up in both oncology and immunology clinics.
Pembrolizumab-associated immune-mediated severe skin reactions and myositis have been described in clinical studies and post-marketing experience [6], but dermatomyositis has rarely been reported. To date, only 37 cases of pembrolizumab-associated dermatomyositis have been reported in the European database of suspected adverse drug reactions. Among the other frequently used immune checkpoint inhibitors, 34 dermatomyositis cases were reported with nivolumab (Opdivo®), 15 with atezolizumab (Tecentriq®) and seven with ipilimumab (Yervoy®) [7].
Anti-MDA5-positive dermatomyositis is rare in Caucasian populations and has unique clinical features with prevalent skin involvement. It tends to be muscle-sparing (amyopathic) but can lead to rapidly progressive and life-threatening interstitial lung disease, especially in Asian patients [8, 9]. Autoantibodies target the cytosolic RNA helicase MDA5, which is physiologically involved in the antiviral response as it induces type I interferons. This finding has been associated with the unusual seasonality of the disease and the upregulation of interferon signalling, which is more common than in other dermatomyositis variants [10, 11]. More recently, the development of anti-MDA5-positive dermatomyositis, along with an associated interferon signature, has been observed within days after vaccination with mRNA-based COVID-19 vaccines [12, 13]. Although the pathogenic role of anti-MDA5 autoantibodies is unclear, their levels may be related to severity, treatment resistance and relapse [8].
Patients with classical anti-MDA5-positive dermatomyositis typically cluster into three subgroups with prevalent involvement of joints (phenotype 1), skin (phenotype 2), or lung (phenotype 3) [9]. However, our patient did not fit precisely into any of the proposed phenotypes. Despite the prevalent skin involvement, he exhibited features of classical dermatomyositis with heliotrope rash and Gottron’s sign without the palmar papules or necrotic ulcers, which are related to the skin vasculopathy thought to be associated with anti-MDA5 autoantibody positivity. Mechanic’s hands, although not typically present in anti-MDA5 positive dermatomyositis, have also been reported [14,15]. Our patient’s skin and muscle disease appeared a few months after pembrolizumab initiation and it was preceded by hypothyroidism. Thyroid dysfunction is quite common during immune checkpoint inhibitor treatment. However, it rarely involves autoantibody production, which is not typical of other autoimmune adverse events including dermatomyositis as well. Furthermore, despite the rarity of anti-MDA5 positive dermatomyositis, no association between these autoantibodies and malignancy has yet been described. Furthermore, a correlation with COVID-19 vaccination was highly unlikely because of the adenovirus-based platform used and the time interval between vaccination and the appearance of skin disease. Thus, the anti-MDA5 autoantibodies in our patient represent a unique finding temporally connected with anti-PD-1 therapy. Although we did not demonstrate a direct relationship between pembrolizumab and this systemic autoimmunity, the absence of antinuclear autoantibodies before treatment initiation is highly suggestive of a positive correlation.
Anti-MDA5-positive dermatomyositis is treated with high-dose glucocorticoids and calcineurin inhibitors (cyclosporine A, tacrolimus); intravenous cyclophosphamide or mycophenolate are options in patients with aggressive disease or lung involvement [16, 17]. Janus kinase inhibitors like tofacitinib or ruxolitinib, the anti-CD20 monoclonal antibody rituximab, plasmapheresis and intravenous immunoglobulins can also be used [18, 19]. In our patient, a combination of systemic and topical corticosteroids and cyclosporin A together with provisional interruption of pembrolizumab was sufficient to achieve complete remission of clinical, imaging and laboratory signs of anti-MDA5-positive dermatomyositis.
Reinitiating pembrolizumab treatment in our patient resulted in severe diarrhoea. As this is one of the most common and lethal side effects of immune checkpoint inhibitors [20], pembrolizumab was finally discontinued with contrasting findings: a particular sensitivity to immune checkpoint inhibitor therapy on the one hand, and an excellent antitumoral response with persistent stability without additional therapy on the other. This agrees with previous observations that the appearance of immune-related adverse events is usually associated with a positive anti-tumour response.
The adverse reactions in this case have been reported to the Italian Medicines Agency and registered in the National Pharmacovigilance Network (number 951564).
Anti-MDA5 positive dermatomyositis should be considered as a possible new immune-related adverse event associated with immune checkpoint inhibitor treatment.
The authors thank Dr. Chiara Moroni (Division of Radiodiagnostic, Careggi University Hospital, Florence, Italy) for the revision of CT scans.
Informed consent
Patient’s written consent for publication has been obtained and archived.
All authors have completed and submitted the International Committee of Medical Journal Editors form for disclosure of potential conflicts of interest. AMP, LS, AG, LA, PP and FL report no conflicts of interest. FM participated on a data safety monitoring board or advisory board for AstraZeneca, MSD, Sanofi, and Takeda and received support for attending meetings and/or travel by Roche. There is no external financial assistance or influence.
1.Common Terminology Criteria for Adverse Events (CTCAE) Version 5.0; c2017-2023 [cited 2023 November 04]. Available from: https://ctep.cancer.gov/protocoldevelopment/electronic_applications/docs/ctcae_v5_quick_reference_5x7.pdf
2.Postow MA, Sidlow R, Hellmann MD. Immune-Related Adverse Events Associated with Immune Checkpoint Blockade. N Engl J Med. 2018 Jan;378(2):158–68.
3.Reck M, Rodríguez-Abreu D, Robinson AG, Hui R, Csőszi T, Fülöp A, et al.; KEYNOTE-024 Investigators. Pembrolizumab versus Chemotherapy for PD-L1-Positive Non-Small-Cell Lung Cancer. N Engl J Med. 2016 Nov;375(19):1823–33.
4.Takatsuki K, Yanagihara T, Egashira A, Ogo N, Yoshizawa S, Sunami S, et al. A Rare Case of Pembrolizumab-Induced Dermatomyositis in a Patient with Cancer of Unknown Primary Origin. Am J Case Rep. 2021 Apr;22:e930286.
5.Kartolo A, Towheed T, Mates M. A case of successful pembrolizumab rechallenge in a patient with non-small-cell lung cancer and grade 3 dermatomyositis. Immunotherapy. 2021 Apr;13(6):477–81.
6.European Medicines Agency. Keytruda Product Information. Annex I. Summary of product characteristics. [cited 2023 November 04] Available from: https://www.ema.europa.eu/en/documents/product-information/keytruda-epar-product-information_en.pdf
7.European database of suspected adverse drug reactions reports [cited 2023 November 04] Available from: https://www.adrreports.eu/en/index.html
8.Nombel A, Fabien N, Coutant F. Dermatomyositis With Anti-MDA5 Antibodies: Bioclinical Features, Pathogenesis and Emerging Therapies. Front Immunol. 2021 Oct;12:773352.
9.Parronchi P, Radice A, Palterer B, Liotta F, Scaletti C. MDA5-positive dermatomyositis: an uncommon entity in Europe with variable clinical presentations. Clin Mol Allergy. 2015 Nov;13(1):22.
10.So H, So J, Lam TT, Wong VT, Ho R, Li WL, et al. Seasonal Effect on Disease Onset and Presentation in Anti-MDA5 Positive Dermatomyositis. Front Med (Lausanne). 2022 Feb;9:837024.
11.Zhang SH, Zhao Y, Xie QB, Jiang Y, Wu YK, Yan B. Aberrant activation of the type I interferon system may contribute to the pathogenesis of anti-melanoma differentiation-associated gene 5 dermatomyositis. Br J Dermatol. 2019 May;180(5):1090–8.
12.Holzer MT, Krusche M, Ruffer N, Haberstock H, Stephan M, Huber TB, et al. New-onset dermatomyositis following SARS-CoV-2 infection and vaccination: a case-based review. Rheumatol Int. 2022 Dec;42(12):2267–76.
13.Wu M, Karim M, Ashinoff R. COVID-19 vaccine-associated dermatomyositis. JAAD Case Rep. 2022 May;23:58–60.
14.Ganatra K, Aggarwal R, Gupta L. Mechanic’s Hand Heralding Relapse in an Indian Adolescent with Anti-MDA5 Positive Juvenile Dermatomyositis. Mediterr J Rheumatol. 2022 Jun;33(2):268–70.
15.Kawakami N, Eda H, Nishiura M, Chaya A, Saito F, Namkoong H. A decade of Gottron’s papules, inverse Gottron’s papules and mechanic’s hand in anti-MDA5-associated interstitial lung disease with clinically amyopathic dermatomyositis. Oxf Med Case Rep. 2020 Jun;2020(6):omaa039.
16.Tsuji H, Nakashima R, Hosono Y, Imura Y, Yagita M, Yoshifuji H, et al. Multicenter Prospective Study of the Efficacy and Safety of Combined Immunosuppressive Therapy With High-Dose Glucocorticoid, Tacrolimus, and Cyclophosphamide in Interstitial Lung Diseases Accompanied by Anti-Melanoma Differentiation-Associated Gene 5-Positive Dermatomyositis. Arthritis Rheumatol. 2020 Mar;72(3):488–98.
17.Wu W, Guo L, Fu Y, Wang K, Zhang D, Xu W, et al. Interstitial Lung Disease in Anti-MDA5 Positive Dermatomyositis. Clin Rev Allergy Immunol. 2021 Apr;60(2):293–304.
18.Wang LM, Yang QH, Zhang L, Liu SY, Zhang PP, Zhang X, et al. Intravenous immunoglobulin for interstitial lung diseases of anti-melanoma differentiation-associated gene 5-positive dermatomyositis. Rheumatology (Oxford). 2022 Aug;61(9):3704–10.
19.Chen Z, Wang X, Ye S. Tofacitinib in Amyopathic Dermatomyositis-Associated Interstitial Lung Disease. N Engl J Med. 2019 Jul;381(3):291–3.
20.Martins F, Sofiya L, Sykiotis GP, Lamine F, Maillard M, Fraga M, et al. Adverse effects of immune-checkpoint inhibitors: epidemiology, management and surveillance. Nat Rev Clin Oncol. 2019 Sep;16(9):563–80.