DOI: https://doi.org/10.4414/smw.2020.20302
Coronavirus disease-19 (COVID-19), also known as novel coronavirus pneumonia, first appeared in the Wuhan province of China in early December 2019 and spread to the whole world in two months, causing a pandemic [1]. As of 1 May 2020, 3,267,867 confirmed infections and 233,560 fatal cases have been reported [2]. COVID-19 is caused by the severe acute respiratory syndrome coronavirus 2 (SARS-CoV-2). Although the overall mortality rate of the disease is around 2%, in some populations this rate can increase to 50% and the most important reason for this is the pneumonia caused by the virus [3]. Pneumonia is a common pulmonary complication after lung cancer resection. It is known that the rate of pneumonia seen after pneumonectomy, especially the surgical treatment of central lung tumours, is 2–15%, and the mortality rate is 25% [4].
Although there are several studies in the literature that report on the perioperative clinical course of COVID-19 in patients who underwent lung cancer resection (such as lobectomy) [5, 6], there is no study related to the perioperative clinical course in patients who underwent pneumonectomy. Additionally, although there are several studies describing the general clinical features and radiological findings of COVID-19 [1, 3, 7], the number of studies on pathological findings is still small. Invasive procedures for diagnosis were more in the background and histopathological studies based on autopsies have not been reported yet owing to the sudden emergence of the outbreak, intense patient load in hospitals, insufficient health personnel and high transmission rate of the disease [8, 9]. Although there are post-mortem biopsy studies showing late pathological features of the disease in patients who developed adult respiratory distress syndrome (ARDS) and died from COVID-19, there are only two studies, as far as we know, showing the pathological findings during the incubation period [6, 10].
We present the postoperative clinical course of a patient who underwent right pneumonectomy for lung cancer and was later found to be infected with SARS-CoV-2 in the preoperative period, and the pathology findings during the incubation period of COVID-19 pneumonia.
In a 69-year-old male patient, a lung mass with a central localisation and 6 cm in diameter, extending from the right parahilar area to the lower lobe, was detected during routine check-up (fig. 1A). In addition to the mass lesion defined on confirmatory thoracic computed tomography (CT), pleural thickening in both lungs and infiltrative opacifications in the right lung base in the subpleural area and close to the tumour were seen. There were no suspicious findings suggesting viral pneumonia. Positron emission tomography (PET)-CT and brain magnetic resonance imaging (MRI) did not show metastasis. The patient was in a good general condition at the time of admission and did not have any comorbidities except for type II diabetes mellitus. An exploratory thoracotomy was planned for the patient when preoperative preparations were completed. One week later, because of squamous cell lung cancer a right pneumonectomy and mediastinal lymph node dissection were performed in the same session, after cervical mediastinoscopy and without any complications. The right lung specimen removed surgically was processed under routine biosafety standards, and sections stained with haematoxylin and eosin were examined by a pathologist. The summary of patient’s clinical features, radiological findings and treatment are presented in table 1.

Figure 1 Chest x-ray findings in the perioperative period. (A) Normal chest x-ray in terms of pneumonia 7 days before surgery. (B) Postoperative day 1, non-homogeneous, non-specific minimal opacity in lower zones in the left lung. (C) Third postoperative day, non-homogeneous density increase in almost all of the left lung. (D) Sixteenth postoperative day, almost complete resolution was seen on the chest x-ray.
Table 1 Summary of the patient’s clinical features, radiological findings and treatment.
| Incubation perıod | Symptomatic period | Postsymptomatic period | ||||||
|---|---|---|---|---|---|---|---|---|
| 1 week before the operation | Postoperative day 1 | Postoperative day 3 | Postoperative day 4 | Postoperative day 5 | Postoperative day 10 | Postoperative day 15 | Postoperative day 17 | |
| Clinical Features | No symptoms | No symptoms | Postoperative non-specific symptoms | Fever (38.7°C) dyspnoea, dry cough, muscle pain | Swab positive | Regression in symptoms | No symptoms, swab negative | No symptoms, discharged |
| Radiological findings | No suspected radiological findings | Minimal change on x-ray | Progression in opacity on x-ray | HRCT: viral pneumonia? | Non- homogeneous opacity in the whole left lung | Regression of non-homogeneous opacity on x-ray | Minimal change on x- ray | No abnormal findings in x-ray |
| Treatment | No treatment | Prophylactic cefuroxime axetil | Treatment for pulmonary oedema | Sputum, blood, urine culture taken + empirical meropenem and linezolid + isolation ICU + NIMV | (+) hydroxychloroquine, favipiravir, azithromycin, methylprednisolone, enoxaparin, acetylcysteine | Nasal oxygen + supportive treatment + cefixime | Home-based treatment | |
| ICU = intensive care unit; HRCT = high-resolution computed tomography; NIMV = non-invasive mechanical ventilation | ||||||||
On postoperative day 1, the patient was in good general condition, and had no complaints other than pain. A non-homogeneous, non-specific minimal opaque area was detected in the lower zones of the left lung on chest x-ray (fig. 1B). White blood cell (WBC) and lymphocyte counts were normal (table 2). On physical examination, there was a slight wheezing on auscultation of the left hemithorax.
Table 2 Summary of the patient’s laboratory findings.
| Reference range | 1 week before operation | Postop. day 1 | Postop. day 3 | Postop. day 4 | Postop. day 5 | Postop. day 10 | Postop. day 15 | Postop. day 17 | |
|---|---|---|---|---|---|---|---|---|---|
| Complete blood count | |||||||||
| White cell count (×103/µl) | 4–10 | 5.28 | 8.76 | 7.06 | 13.10 ↑ | 7.47 | 6.50 | 10.0 | 9.77 |
| Absolute neutrophil count (×103/µl) | 2–8 | 2.85 | 7.11 | 5.92 | 11.40 ↑ | 6.15 | 4.72 | 7.79 | 6.91 |
| Absolute lymphocyte count (×103/µl) | 1–5 | 1.85 | 1.09 | 0.56 ↓ | 0.66 ↓ | 0.41 ↓ | 0.73 ↓ | 1.79 | 1.77 |
| Absolute monocyte count (×103/µl) | 0.1–1 | 0.40 | 0.36 | 0.41 | 0.57 | 0.53 | 0.39 | 0.43 | 0.78 |
| Red cell count (×106/µl) | 4.5–6.5 | 4.52 | 4.15 ↓ | 3.62 ↓ | 3.74 ↓ | 3.43 ↓ | 3.69 ↓ | 3.57 ↓ | 3.63 ↓ |
| Platelet count (×103/µl) | 150–450 | 179 | 157 | 144 ↓ | 190 | 182 | 175 | 249 | 341 |
| Haemoglobin (mg/dl) | 13–17 | 13.2 | 11.5 ↓ | 10.6 ↓ | 9.9 ↓ | 9.0 ↓ | 9.6 ↓ | 9.4 ↓ | 9.6 ↓ |
| Biochemical tests | |||||||||
| Total protein (g/dl) | 6.2–8.2 | 6.5 | 5.5 ↓ | 6 | 6.3 | ||||
| Albumin (g/dl) | 3.5–5.5 | 3.7 | 3.7 | 3.2 ↓ | 2.8 ↓ | 2.8 ↓ | 2.8 ↓ | 3 ↓ | 3.2 ↓ |
| Alanine aminotransferase (U/l) | 0–50 | 14 | 11 | 12 | 17 | 16 | 20 | 24 | 22 |
| Aspartate aminotransferase (U/l) | 0–37 | 17 | 23 | 21 | 14 | 13 | 18 | 15 | 16 |
| Lactate dehydrogenase (U/l) | 100–246 | 316 ↑ | 338 ↑ | 303 ↑ | |||||
| Urea (mg/dl) | 5–26 | 24 | 21 | 26 | 33 ↑ | 28 ↑ | 20 | 24 | 26 |
| Creatinine (mg/dl) | 0.5–1.2 | 0.81 | 0.93 | 0.98 | 0.95 | 0.79 | 0.78 | 0.82 | 1.13 |
| Sodium (mmol/l) | 130–148 | 145 | 145 | 135 | 133 | 134 | 133 | 140 | 141 |
| Potassium (mmol/l) | 3.5–5.5 | 4.5 | 5.2 | 4.8 | 5.1 | 4.4 | 4.5 | 4.9 | 4.8 |
| Chloride (mmol/l) | 90–115 | 104 | 101 | 105 | |||||
| Arterial blood gas | |||||||||
| pH | 7.35–7.45 | 7.39 | 7.38 | 7.33 | 7.27 | 7.34 | 7.48 | 7.48 | 7.43 |
| Pressure of oxygen in arterial blood (mm Hg) | 80–100 | 99.5 | 125.6 | 88.5 | 72.7 | 77.3 | 140.7 | 140.3 | 126.2 |
| Pressure of carbon dioxide in arterial blood (mm Hg) | 35–45 | 36.8 | 37.7 | 33.4 | 51.7 | 59.1 | 38.9 | 50.8 | 44.8 |
| Base excess (mmol/l) | −2 – +2 | −2 | −3 | −4 | −11 | −4 | 3 | 3 | 4 |
| PaO2/FiO2 ratio | >300 | 244 | 256 | 280 | |||||
| Coagulation profile | |||||||||
| Prothrombin time (sec) | 10.9–15.4 | 12.4 | 12.2 | 13.4 | |||||
| International normalised ratio | 0.8–1.2 | 0.92 | 1.0 | 1.1 | |||||
| D-dimers (ng/ml) | 0–500 | 860 ↑ | 1129 ↑ | 560 ↑ | |||||
| CRP (mg/dl) | 0–0.5 | 0.14 | 0.41 | 3.87 ↑ | 33.24 ↑ | 44.37 ↑ | 19.51 ↑ | 5.62 ↑ | 4.29 ↑ |
| Procalcitonin (ng/ml) | 0–0.5 | 0.18 | 0.44 | 0.24 | 0.12 | 0.08 | |||
| Troponin I - h (ng/ml) | 0–0.026 | 0.522 ↑ | 0.845 ↑ |
CRP = C-reactive protein; Postop.=Postoperative ↓= The value in the patient was below the lower limit of the reference range. ↑= The value in the patient was above upper limit of the reference range.
On the third postoperative day, the patient developed severe dyspnoea, chest tightness and wheezing. With nasal oxygen, SpO2 was between 85% and 90%. On the chest x-ray, almost all of the left lung had a non-homogeneous increase in density (fig. 1C). The WBC count was normal and the lymphocyte count decreased (table 2). After cardiogenic oedema was excluded, sufficient diuresis (0.5 ml/kg/h) with negative daily fluid balance was achieved through fluid restriction (20 ml/kg) and diuretic infusion (0.5 mg/kg/h), with a preliminary diagnosis of post-pneumonectomy pulmonary oedema.
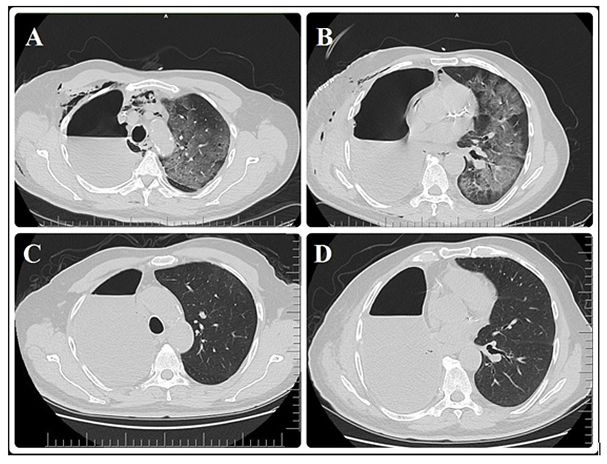
On postoperative day 4, the patient developed fever (38.7°C) and chills. Additionally, the dyspnoea worsened, and a dry cough, diffuse muscle pain and chest pain were present. Despite oxygen treatment with a high-flow nasal cannula, SpO2 was in the range of 70–80% and the heart rate was 110–120 beats/min. On chest x-ray, the non-homogeneous increase in density in almost all of the left lung was more evident. The WBC count and C-reactive protein (CRP) concentration were high; lymphocyte count and procalcitonin values were low (table 2). High-resolution computed tomography (HRCT) detected alveolar opacity and diffuse ground glass opacity in all segments except the left lung apex (fig. 2A,B). Blood, urine and sputum were cultured to determine the aetiology of the fever. Empirically, meropenem 3 × 1 g intravenously and linezolid 2 × 600 mg intravenously were added to the treatment regimen. In addition, a pharyngeal swab test was performed as viral pneumonia was suspected, and the patient was transferred to the special isolation intensive care unit. Non-invasive mechanical ventilation (NIMV) was applied because of hypoxia on arterial blood gas analysis (table 2).

Figure 2 (A,B) Postoperative day 4, images of HRCT from different cross-sectional levels taken after fever. Alveolar opacity, vascular congestion and inter-septal thickening areas in diffuse ground glass density in both lobes of left lung. (C,D) Control HRCT images taken on discharge (17th) day. It was observed that the ground glass opacity in both lobes of the left lung has recovered almost completely.
On the fifth postoperative day, a nucleic acid test for SARS-CoV-2 was reported as positive. Therefore, in accordance with the COVID-19 adult patient management guide [11], oral hydroxychloroquine (2 × 400 mg following loading a dose of 2 × 200 mg), favipiravir (2 × 1600 mg loading dose, 2 × 600 mg maintenance dose), and azithromycin (500 mg on day 1, 250 mg/day for the following four days) were added to the treatment. Given the severe shortness of breath and hypoxaemia, intravenous methylprednisolone (80 mg twice daily) was administered to relieve lung inflammation. Because of an increase in D-dimer levels, enoxaparin sodium 0.6 ml/day subcutaneously 1x1 was started. Because of its antioxidant and mucolytic effect, acetylcysteine 300 mg was administered intravenously three times a day. Nutrition was supplemented with protein-based nutritional solutions three times a day. Under NIMV (continuous positive airway pressure, positive end-expiratory pressure of 5 cm H2O and a peak inspiratory pressure up to a maximum of 12 cm H2O, ventilator tidal volume 6–7 ml/kg, FiO2 0.3–0.4), PaO2/FiO2 was 200–300, SpO2 was 85–90%, the respiratory rate was 30–35/min, dyspnoea was low and tolerance was good. Therefore, invasive mechanical ventilation was not applied.
With medical treatment, the body temperature started to decrease after the seventh post-operative day. On the 10th postoperative day, the patient’s general condition was stable, and a decrease in cough and shortness of breath was observed. The non-homogeneous infiltration in the left lung regressed in chest x-ray. NIMV support was reduced after arterial blood gas analysis confirmed that there was no hypoxaemia on nasal oxygen support. The anti-viral treatment was discontinued as the patient had a normal WBC count, low lymphocyte count, normal platelet count and procalcitonin concentration, and the CRP levels tended to decrease (table 2). Antibiotic treatment for secondary infection was continued.
As the results of the pharyngeal swab test taken on the 15th and 16th postoperative days were both negative, WBC and lymphocyte counts were normal, the CRP levels continued to regress, there was no important biochemical abnormality and no hypoxaemia (table 2), and there were no additional symptoms other than minimal dyspnoea with effort, the patient was taken to the isolated normal service room. Since the almost complete recovery seen in a chest x-ray (fig. 1D) was confirmed by HRCT (fig. 2C,D), and no additional complications related to the surgery (bronchopleural fistula, haemorrhage, arrhythmia etc.) developed, a home-based treatment plan was created and the patient was discharged on the 17th postoperative day.
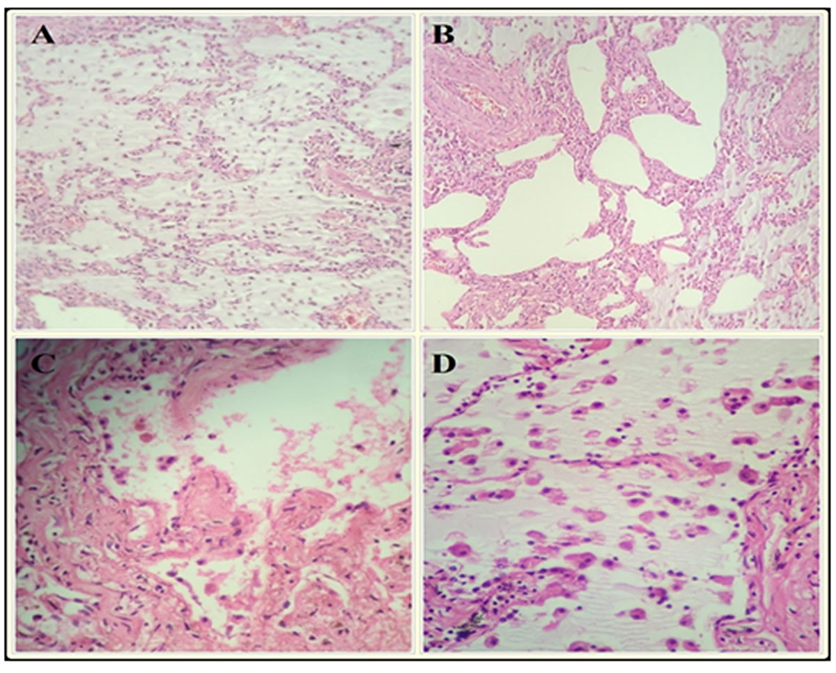
The pathological examination of the patient’s pneumonectomy specimen found a 6 × 5 cm solid, grayish-coloured tumoural formation in the right hilar region. Histopathological diagnosis was squamous cell carcinoma, the bronchial surgical margin was negative and visceral pleural invasion was not observed. Of the 48 dissected lymph nodes, one interlobar lymph node had tumour invasion and the pathological stage was reported as IIIA (T3N1M0). Microscopic examination revealed alveolar oedema, intra-alveolar fibrin, and protein and fibrin exudates, with irregular but marked alveolar damage in the lung parenchyma in areas away from the tumour (fig. 3A). There was widespread expansion in the alveolar wall, which contained proliferated interstitial fibroblasts and type II pneumocytes (fig. 3B). Focal fibroblast plugs showing various degrees of organisation of the fibrin exudate were seen in the interstitium (fig. 3C). In some areas, abundant alveolar macrophages, multi-nucleated cells and a prominent lymphocyte infiltrate were observed with type II pneumocyte hyperplasia (fig. 3D). No significant neutrophil infiltration, pronounced viral inclusion bodies or hyaline membrane was detected. As a result, there was irregular and severe pneumocytic hyperplasia and interstitial thickening, indicating a continuing repair process.

Figure 3 Early phase histological changes of COVID-19 pneumonia. (A) Alveolar oedema, intra-alveolar fibrin, pronounced protein and fibrin exudates. (B) Diffuse expansion in the alveolar wall containing proliferated interstitial fibroblasts and type II pneumocytes. (C) Focal fibroblast plugs in the interstitium. (D) Alveolar macrophage, multi-nucleated cells, prominent lymphocyte infiltrate and type II pneumocyte hyperplasia.
The case we describe represents an “incidental” sampling of a lung infected with SARS-CoV-2, as a result of surgery for lung cancer at a time when the lung infection did not produce symptoms. This gave us the opportunity to examine the pathology of COVID-19 pneumonia during the incubation period. The patient, whose preparations for surgery were completed a week prior to the procedure, remained with family relatives whose infection status was not known until the time of surgery. The patient, who was pre-symptomatic until the operation, became symptomatic as a result of progression of the disease in the remaining lung after the operation and perhaps as a result of the right pneumonectomy. After the pharyngeal swab taken from our patient on the fourth postoperative day was found to be positive, it was accepted after a retrospective examination of radiological and biochemical findings that the case may be compatible with asymptomatic COVID-19 pneumonia.
COVID-19 disease can be asymptomatic or symptomatic [9]. It has been shown that SARS-CoV-2 infection may occur in patients who never develop symptoms (asymptomatic) and patients who have not yet developed symptoms (pre-symptomatic) [8]. Asymptomatic or pre-symptomatic patients cannot be routinely tested, but can be detected during filiation procedures or other physical examinations. It is known that the incubation period until the appearance of symptoms after exposure to SARS-CoV-2 is on average 4–5 days and this period can be extended up to 14 days [12].
Common initial signs of COVID-19 pneumonia are fever, dry cough, shortness of breath, muscle pain, loss of appetite and production of sputum [13]. It is known that the most obvious initial symptom is fever and, even if it is not seen initially, it is seen in approximately 90% of patients at a later time [14]. In addition, it has been reported that initial symptoms may progress over time, dyspnoea and intensive care needs may develop within 3–8 days, and clinicians should be aware of this [1, 14]. In our patient, who was infected with SARS-CoV-2 preoperatively and was operated on during the incubation period, the initial symptoms that appeared after 4 days were fever, dry cough, sputum production, chest pain and then progressive dyspnoea requiring intensive care. As the clinical, radiological and biochemical features of COVID-19 pneumonia have not yet been clearly and precisely described, these nonspecific symptoms can be easily interpreted as postoperative symptoms, especially in patients undergoing thoracic surgery, leading to a missed COVID-19 diagnosis. Therefore, comprehensive epidemiological research, CT scans and nucleic acid testing are recommended for the differential diagnosis of symptomatic COVID-19 disease in suspected cases [9].
Lymphopenia is a common feature in COVID-19 patients and has been reported to be a critical factor in early diagnosis, severity and association with mortality [8]. Some researchers have suggested that lymphopenia is due to the redistribution of lymphocytes to the affected organ tissues. Another possibility is that there may be virus-related suppression of the bone marrow, as described with the original SARS-COV [15]. It has also been reported that the degree of decrease in the number of circulating lymphocytes after lung surgery may be closely related to the progression of COVID-19 [5]. Therefore, it can be said that the rate of decrease in lymphocyte count is more important than the absolute cell count in postoperative patients. In our case, the lymphocyte count decreased by a maximum of 30% compared with the initial lymphocyte count, and remained partially stable during the treatment period, in parallel with the disease progression (table 2).
A study examining patients who underwent lung resection and dies as a result of to COVID-19 reported that the number of WBCs and neutrophils varies from patient to patient, may be normal, high or low at the onset of symptoms, and comorbid diseases are influential in this [6]. It was also shown that there may be sharp ups and downs during the follow-up. In our patient, who did not have serious comorbidity other than diabetes mellitus, the number of WBCs and neutrophils increased suddenly on the day that symptoms started, returned to normal the next day and showed a partially stable course (table 2). Although, the concentration of of CRP, an inflammation marker, increases in the early period, procalcitonin may be normal, and levels of coagulation parameters such as fibrinogen and D-dimers have also been shown to increase in parallel with symptoms [10, 15]. Similarly, in our case procalcitonin values were normal and stable, whereas CRP and D-dimer values followed a course parallel to the symptoms (table 2). However, it should not be forgotten that all these parameters may be affected by surgery and this situation may cause confusion in the follow-up.
The radiological feature of lung lesions in COVID-19 pneumonia is ground glass opacity (GGO), which is an indicator of the early exudative phase [16]. In the case of a progressive disease, consolidation may develop in addition to GGO owing to intra-alveolar organisation. However, it has been shown in CT images following treatment that GGOs and consolidations can be largely cleared from both lungs [6]. Similarly, it was found that the diffuse GGO and consolidations that occurred over time in almost all of the left lung of our patient at postoperative day 4 were almost completely resolved after a successful 13-day period of treatment (figs 1D and 2B,C). In addition, it is known that there may be abnormalities on chest radiology in patients before the onset of symptoms in COVID-19 pneumonia [17]. The reason for the appearance of non-homogeneous opacities on the chest x-ray of our patient – who was radiologically evaluated 1 week earlier – since the postoperative day 1 is an indication that the patient was operated on when he had lung lesions. Therefore, during the pandemic even asymptomatic patients should be evaluated with at least one chest x-ray before surgery as this may be useful in terms of reducing the possibility of neglect. Also, it is important to consider an appropriate serology test and tomographic examination in order to investigate any lung infiltration, to know that radiological changes may occur before the symptoms and to exclude potential COVID-19 infection [16].
There is no specific antiviral therapy or vaccine currently recommended for COVID-19. Treatment is symptomatic and supportive oxygen therapy is the main element in patients with severe infection. In the presence of respiratory failure resistant to oxygen therapy, invasive or non-invasive mechanical ventilation may be required. The World Health Organization recommends supportive high-flow nasal oxygen (HFNO) or NIMV initially if the scenario does not worsen within a short time (1–2 hours) in patients with respiratory failure [18]. For therapeutic purposes, although no antiviral therapy has yet been approved, several molecules have been proposed, such as lopinavir, ritonavir, chloroquine, hydroxychloroquine, alpha-interferon and azithromycin [19]. Although the routine use of corticosteroid therapy is not recommended in SARS-CoV-2 pneumonia [20], it is reported that in the case of severe disease, the timely use of appropriate corticosteroids with ventilator support may prevent the development of ARDS [10]. There are also preclinical studies of an RNA polymerase inhibitor, remdesivir, and an IgG1 monoclonal antibody, tolicizumab [19]. In our case, invasive mechanical ventilation was not required as shortness of breath could be kept under control with the NIMV used for supportive purposes (SpO2 >90). As the clinical status was compatible with the WHO criteria [18] for “severe disease” (dyspnoea, respiratory frequency ≥30/min, blood oxygen saturation (SpO2) ≤93%, PaO2/FiO2 ratio <300, and/or lung infiltrates >50% within 24 to 48 hours), a combination of hydroxychloroquine, favipiravir and azithromycin was administered for therapeutic purposes according to the protocol of “Treatment in patients with definitive COVID-19 with severe pneumonia” in the COVID-19 adult patient treatment guideline [11]. In addition, methylprednisolone and the antibiotics meropenem + linezolid for secondary infections were given to prevent the development of ARDS [10].
Although the disease has mild/moderate symptoms in the vast majority of patients (80%), a severe and critical form requiring respiratory support can be seen in 15–20%. In this group, the average duration of intensive care hospitalisation was reported to vary between 10 and 12 days, and the average duration of hospitalisation among survivors ranged from 10–13 days [1, 14]. It is known that the risk of severe disease increases in cases such as advanced age (most obviously), diabetes, hypertension, cardiovascular disease, chronic respiratory disease, hypertension and cancer [10, 21]. Additionally, lung cancer resection was reported to pose a risk in COVID-19 patients [5]. In contrast, lung cancer patients were also shown to have a lower likelihood of developing COVID-19 than other cancers (20 vs 62%) [22]. It was not surprising to see the serious form of the disease in our patient, who had many of the risk factors listed. However, in a patient who has undergone an operation such as pneumonectomy, the factors affecting the benign course of the disease and the discharge with healing 17 days after the onset of the disease are not yet clear. As the number of future studies increases, more clear interpretation can be made on this subject.
Pathological findings in this patient included pulmonary oedema and prominent protein exudates, vascular congestion, intra-alveolar fibrinoid material and various degrees of organisation (fibroblastic plugs), corresponding to acute pulmonary injury patterns [23]. Diffuse expansion in the alveolar walls, macrophage infiltration, type II pneumocyte hyperplasia and multi-nucleated cells indicated varying degrees of proliferative phase of diffuse alveolar damage [9]. The inflammatory infiltrate was predominantly lymphocytic without significant neutrophil participation, which indicated that there was no bacterial infection. Multi-nucleated cells also showed cytopathic changes as a result of the virus.
In several studies presenting the results of post-mortem lung biopsy of COVID-19 patients with respiratory failure symptoms, diffuse alveolar damage (DAD), which is considered a hallmark of ARDS, and hyaline membrane formation have been identified [6, 10, 24]. In a different study examining the pathological specimens of patients who had lung resection during the asymptomatic period of COVID-19, in line with our results, early phase of DAD (exudative and proliferative) were detected, whereas no hyaline membranes were reported and the development of pathological changes without symptoms of respiratory failure was considered an interesting feature of the early stage of the disease [9]. Despite these pathological changes, the reason for the absence of respiratory symptoms may be associated with the development of alveolar damage in the limited lung parenchyma during the incubation period.
At the time of preparation of the manuscript, there were no published autopsy findings of patients with COVID-19 pneumonia, as there are still strict biosafety measures related to patients who have died from COVID-19. Data on post-mortem lung biopsies for COVID-19 are similarly very limited [6, 10]. As the disease is not fatal in the asymptomatic period, autopsies and post-mortem needle biopsies can only provide information about the late features of the disease unless sampling is incidental, as in our case. In addition, future autopsy studies may also be complicated by post-mortem changes and other superimposed changes of the terminally ill. However, since the specimen examined in our study was taken during the asymptomatic period, during the operation and without being exposed to the superimposition of another disease and post-mortem changes, it can be said that our findings are more valuable than autopsy findings.
We believe that the clinical course in this case will be useful for physicians to create a therapeutic strategy to reduce mortality when COVID-19 pneumonia develops after pneumonectomy. We also think that our pathology findings in this asymptomatic COVID-19 case will contribute to the limited amount of literature containing information from the incubation period of SARS-CoV-2-associated pneumonia. In order to better understand the mechanism by which SARS-CoV-2 causes lung damage, we think that studies involving more patients are needed and it is important to report routine histopathological findings to the world.
No financial support and no other potential conflict of interest relevant to this article was reported.
1 Huang C , Wang Y , Li X , Ren L , Zhao J , Hu Y , et al. Clinical features of patients infected with 2019 novel coronavirus in Wuhan, China. Lancet. 2020;395(10223):497–506. doi:.https://doi.org/10.1016/S0140-6736(20)30183-5
2COVID-19 Dashboard by the Center for Systems Science and Engineering (CSSE) at Johns Hopkins University (JHU). ArcGIS. Johns Hopkins University. Retrieved 2020 May 1.
3 Chen T , Wu D , Chen H , Yan W , Yang D , Chen G , et al. Clinical characteristics of 113 deceased patients with coronavirus disease 2019: retrospective study. BMJ. 2020;368:m1091. doi:.. Correction in: 2020;368:m1295. doi:https://doi.org/10.1136/bmj.m1091
4 Ferdinand B , Shennib H . Postoperative pneumonia. Chest Surg Clin N Am. 1998;8(3):529–39, viii.
5 Cai Y , Hao Z , Gao Y , Ping W , Wang Q , Peng S , et al. Coronavirus Disease 2019 in the Perioperative Period of Lung Resection: A Brief Report From a Single Thoracic Surgery Department in Wuhan, People’s Republic of China. J Thorac Oncol. 2020;15(6):1065–72. doi:. https://doi.org/10.1016/j.jtho.2020.04.003
6 Tian S , Xiong Y , Liu H , Niu L , Guo J , Liao M , et al. Pathological study of the 2019 novel coronavirus disease (COVID-19) through postmortem core biopsies. Mod Pathol. 2020;33(6):1007–14. doi:.https://doi.org/10.1038/s41379-020-0536-x
7 Wang D , Hu B , Hu C , Zhu F , Liu X , Zhang J , et al. Clinical Characteristics of 138 Hospitalized Patients With 2019 Novel Coronavirus-Infected Pneumonia in Wuhan, China. JAMA. 2020;323(11):1061. doi:.https://doi.org/10.1001/jama.2020.1585
8 Chan JF , Yuan S , Kok KH , To KK , Chu H , Yang J , et al. A familial cluster of pneumonia associated with the 2019 novel coronavirus indicating person-to-person transmission: a study of a family cluster. Lancet. 2020;395(10223):514–23. doi:.https://doi.org/10.1016/S0140-6736(20)30154-9
9 Tian S , Hu W , Niu L , Liu H , Xu H , Xiao SY . Pulmonary Pathology of Early-Phase 2019 Novel Coronavirus (COVID-19) Pneumonia in Two Patients With Lung Cancer. J Thorac Oncol. 2020;15(5):700–4. doi:.https://doi.org/10.1016/j.jtho.2020.02.010
10 Xu Z , Shi L , Wang Y , Zhang J , Huang L , Zhang C , et al. Pathological findings of COVID-19 associated with acute respiratory distress syndrome. Lancet Respir Med. 2020;8(4):420–2. doi:.https://doi.org/10.1016/S2213-2600(20)30076-X
11COVID-19 Erişkin Hasta Yönetimi ve Tedavisi. 2020. https://covid19.saglik.gov.tr/depo/tedavi/COVID19-Hasta_Yonetimi_ve_Tedavisi. pdf (Erişim Tarihi: 27.03.2020).
12 Lauer SA , Grantz KH , Bi Q , Jones FK , Zheng Q , Meredith HR , et al. The Incubation Period of Coronavirus Disease 2019 (COVID-19) From Publicly Reported Confirmed Cases: Estimation and Application. Ann Intern Med. 2020;172(9):577–82. doi:.https://doi.org/10.7326/M20-0504
13 Chen N , Zhou M , Dong X , Qu J , Gong F , Han Y , et al. Epidemiological and clinical characteristics of 99 cases of 2019 novel coronavirus pneumonia in Wuhan, China: a descriptive study. Lancet. 2020;395(10223):507–13. Published online January 30, 2020. doi:.https://doi.org/10.1016/S0140-6736(20)30211-7
14 Guan WJ , Ni ZY , Hu Y , Liang WH , Ou CQ , He JX , et al.; China Medical Treatment Expert Group for Covid-19. Clinical Characteristics of Coronavirus Disease 2019 in China. N Engl J Med. 2020;382(18):1708–20. doi:.https://doi.org/10.1056/NEJMoa2002032
15 Hamming I , Timens W , Bulthuis ML , Lely AT , Navis G , van Goor H . Tissue distribution of ACE2 protein, the functional receptor for SARS coronavirus. A first step in understanding SARS pathogenesis. J Pathol. 2004;203(2):631–7. doi:.https://doi.org/10.1002/path.1570
16 Xiao SY , Wu Y , Liu H . Evolving status of the 2019 novel coronavirus infection: Proposal of conventional serologic assays for disease diagnosis and infection monitoring. J Med Virol. 2020;92(5):464–7. doi:.https://doi.org/10.1002/jmv.25702
17 Hu Z , Song C , Xu C , Jin G , Chen Y , Xu X , et al. Clinical characteristics of 24 asymptomatic infections with COVID-19 screened among close contacts in Nanjing, China. Sci China Life Sci. 2020;63(5):706–11. Published online March 4, 2020. doi:.https://doi.org/10.1007/s11427-020-1661-4
18World Health Organization. Clinical management of severe acute respiratory infection (SARI) when COVID-19 disease is suspected. 2020, March 14. https://www.who.int/docs/defau lt-sourc e/coron aviru se/clinical-management -of-novel -cov.pdf?sfvrs n=bc7da 517_10&download=true
19Cascella M, Rajnik M, Cuomo A, Scott C, Dulebohn SC, Di Napoli R. Features, Evaluation and Treatment Coronavirus (COVID-19) [Updated 2020 Apr 6]. In: StatPearls [Internet]. Treasure Island (FL): StatPearls Publishing; 2020 Jan.
20 Wu F , Zhao S , Yu B , Chen YM , Wang W , Song ZG , et al. A new coronavirus associated with human respiratory disease in China. Nature. 2020;579(7798):265–9.. doi:.https://doi.org/10.1038/s41586-020-2008-3
21 Epidemiology Working Group for NCIP Epidemic Response, Chinese Center for Disease Control and Prevention. [The epidemiological characteristics of an outbreak of 2019 novel coronavirus diseases (COVID-19) in China]. Zhonghua Liu Xing Bing Xue Za Zhi. 2020;41(2):145–51. [Epub ahead of print]. doi:.https://doi.org/10.3760/cma.j.issn.0254-6450.2020.02.003
22 Liang W , Guan W , Chen R , Wang W , Li J , Xu K , et al. Cancer patients in SARS-CoV-2 infection: a nationwide analysis in China. Lancet Oncol. 2020;21(3):335–7. doi:.https://doi.org/10.1016/S1470-2045(20)30096-6
23 Pambuccian SE . The COVID-19 pandemic: implications for the cytology laboratory. J Am Soc Cytopathol. 2020;9(3):202–11. doi:.https://doi.org/10.1016/j.jasc.2020.03.001
24 Menter T , Haslbauer JD , Nienhold R , Savic S , Hopfer H , Deigendesch N , et al. Post-mortem examination of COVID19 patients reveals diffuse alveolar damage with severe capillary congestion and variegated findings of lungs and other organs suggesting vascular dysfunction. Histopathology. 2020:his.14134. Epub ahead of print. doi:.https://doi.org/10.1111/his.14134
No financial support and no other potential conflict of interest relevant to this article was reported.