DOI: https://doi.org/10.4414/smw.2020.20246
The relationship between immunological response to coronaviruses and the severity of the disease has been a conundrum since the first severe acute respiratory syndrome (SARS) corona virus outbreak in 2002−2003 [1]. In the discussion of their paper on T cell responses to whole SARS corona virus in humans, Ka-Fai Li et al. [2] wrote: “It has been unclear whether the adaptive immune response contributes to recovery or disease. The development of severe disease as the viremia declines suggests the latter as do some studies with other coronaviruses…” [3, 4].
In a recent study, Gralinsky et al. [6] demonstrated that complement activation is related to more severe respiratory consequences in SARS coronavirus infections, another hint of the importance of understanding the cascade of events that enhance damage to the host in infections with novel corona viruses.
A report by Mehta in The Lancet [7] showed that acute respiratory distress syndrome (ARDS) is the main cause of death with COVID-19 and that ARDS is the common immunopathological event for SARS-CoV-2, SARS-CoV and MERS-CoV infections. One of the main mechanisms for ARDS is the cytokine storm [8], the deadly uncontrolled systemic inflammatory response resulting from the release of large amounts of pro-inflammatory cytokines − interferon (IFN)-α, IFN-γ, interleukin (IL)-1β, IL-6, IL-12, IL-18, IL-33, tumour necrosis factor-α, transforming growth factor-β, etc. − and chemokines − CC-chemokine ligand (CCL)2, CCL3, CCL5, CXC ligand (CXCL)8, CXCL9, CXCL10, etc.).
During the emerging COVID-19 pandemic, various novel pharmacological interventions have been used, in part on an empirical basis [9, 10], but increasingly based on clinical trials [11] too.
Lu et al. [12], in an early overview of possible options for COVID-19 treatment, mentioned lopinavir/ritonavir, nucleoside analogues, neuraminidase inhibitors, remdesivir [13], peptide EK1 [14]), arbidol [15], RNA synthesis inhibitors (such as tenofovir disoproxil fumarate, lamivudine), anti-inflammatory drugs (such as hormones and other molecules), along with Chinese traditional medicines, such as ShuFengJieDu [16] and Lianhuaqingwen [17].
One substance group that has emerged as an interesting candidate is chloroquine [18] and hydroxychloroquine. Dan Zhou [19] recommended examining the multiple sites of action of both substances for the prevention of both infection with and progression of COVID-19. Hydroxychloroquine was used in the treatment of the patients presented here, along with darunavir and cobicistat [20].
Another substance, the non-halogenated inhalable corticosteroid ciclesonide, could qualify as a candidate – with a double target. According to a report by Matsuyama [21], in addition to its known anti-inflammatory properties it seems to be able to block coronavirus RNA replication.
The patients gave informed consent to the diagnostic and therapeutic strategies chosen and to the use of their biological data in anonymous form for this report.
A 60-year-old female Caucasian, living in northern Italy with her husband (patient 2) and a son, 28: occupation employee, height 1.68 m, weight 79 kg, body mass index 29 kg/m2.
Fever up to 38.5°C, cough, dyspnoea.
She was brought by ambulance to the emergency room on the request of her family physician. She was accompanied by her husband (patient 2) and their son, 28 years of age. (The son tested positive for COVID-19 on 10 March 2020, was asymptomatic at that time and sent home into quarantine. Reportedly he eventually became symptomatic later and was not fully recovered on 24 March 2020.)
Nonsmoker, history of angiodysplasia of the descending colon, bicuspid aortic valve with slight insufficiency, varicosis of lower extremities.
Seven years previously she was diagnosed with breast cancer. On 3 December 2013 she underwent a quadrantectomy of the left breast, followed on 19 December 2013 by an axillary lymph node dissection for a ductal infiltrative carcinoma G3, probably(?) luminal B-HER2 negative: pT2 pN1a (2/11) Mx, stage IIB. She received adjuvant chemotherapy with adriamycin 60 mg/m2 and cyclophosphamide 600 mg/m2 every 21 days for four cycles, plus a single dose of docitaxel, which was stopped because of a serious allergic reaction, as well as radiotherapy. Hormone therapy with anastrozole was planned for 5 years (and was eventually suspended after the diagnosis of lymph node recurrence described below).
In October 2019, 6 years after initial diagnosis, she developed lymphoedema of the left upper extremity plus a supraclavicular adenopathy. A whole-body computed tomography (CT) scan plus an echographic assessment of the lymph nodes was ordered.
On 29 November 2019, The CT scan revealed several intrapulmonary and mediastinal lymph nodes >6 mm in diameter and moderate bilateral pleural effusions, plus the presence of multiple submandibular and cervical lymph nodes of >1.5 cm diameter. There was no intrahepatic irregularity, but a suspect lesion was seen in the head of the pancreas. No cerebral lesions were detected. A bronchoscopy did not produce evidence of neoplastic cells. Biliary-pancreatic endoscopy confirmed the presence of an IPMN (intraductal papillary mucinous neoplasm of the pancreas). Echocardiography confirmed of the number and dimensions of the cervical lymph nodes and the absence of axillary nodes. A positron emission tomography (PET) scan revealed several skeletal focal lesions.
On 23 January 2020 a left supraclavicular lymphadenectomy was performed. At this point, the patient was diagnosed with lymphatic and osseous metastases, CD ER (Cd estrogen receptor) 98%, PGR (progesterone receptor) 55%, MIB1 (proliferation marker) 12%, c-erbB2 (human epidermal growth factor receptor 2) score 1+.
On 17 February 2020 treatment with fulvestrant 500 fl intramuscularly was initiated and repeated once on 3 March 2020. Abemaciclib orally 150 mg twice daily was started on 19 February 2020.
On 20 February 2020, a check-up CT confirmed that the pulmonary lesions previously detected were not progressing and showed regression of the pleural effusions.
On 3 March 2020, chemotherapy was suspended after the appearance of fever. On 10 March 2020 she was admitted to the emergency room.
December 2013: Diagnosis of left sided breast cancer, surgery, irradiation, adjuvant chemotherapy.
December 2019: Lymphoedema, detection of cervical and axillary lymph node metastases, involvement of lung and mediastinum, suspicion of osseous metastases.
17 February 2020: Start of chemotherapy with fulvestrant and abemaciclib.
3 March 2020: Suspension of chemotherapy after appearance of fever.
On admission to the ER, the patient was tested positive for COVID-19.
The diagnostic workup, consisting of measurement of arterial gases, haematogram, a chest x-ray, and blood, urine and stool cultures, revealed the following:
Normocapnic hypoxaemia: pH 7.44, pO2 47 mm Hg (6.3 kPa), pCO2 40 mm Hg (5.3 kPa).
Moderate anaemia (haemoglobin 107 g/l) and marked leucocytopenia (white blood cell count 1300/l, neutrophils 600/l, lymphocytes 600/l) with platelets <90 × 109/l and CRP 1.3 mg/l.
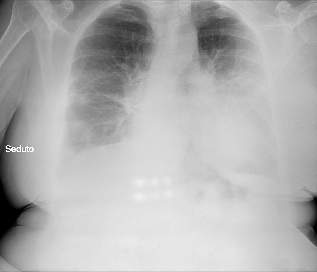
An anteroposterior chest x-ray with the patient in bed and in the supine position, showed “asymmetric” and bilateral diffuse “patchy” parenchymal opacities [22], more marked in the left hemithorax where they were present from the apex to the base (fig. 1). The opacities were predominantly supleural and with a mantellar distribution. They were accompanied by a veil of moderate bilateral pleural effusions, once again more prominent in the left hemithorax.

Figure 1 Chest x-ray of patient 1 on admission, 10 March 2020. Courtesy Ospedale di Sassuolo. In addition to the morphological abnormalities due to the past medical history of the patient and the more recent alterations described in the CT scans performed on 20 February 2020, this image shows opacities strongly suspicious of SARS Cov-2 pneumonia (see description by the radiologist in the text).
The results of bacteriological checks including blood, stool and urine cultures were eventually negative.
Community acquired SARS CoV-2 pneumonia in an immunocompromised woman.
Patient 1 was transferred to the pneumology department and treated with triple antibiotic therapy [23] (levofloxacin, piperacillin plus tazobactam) combined with the antiviral combination of darunavir/cobicistat [20] To this combination, hydroxychloroquine [24] was added. Leucopenia was corrected by filgrastim.
Within 24 hours after admission, her clinical status was stable, the white blood cell count restored to 4900/l, with neutrophils 4050/l, lymphocytes 710/l and platelets 96 × 109/l. Within 5 days after admission, patient 1 was afebrile.
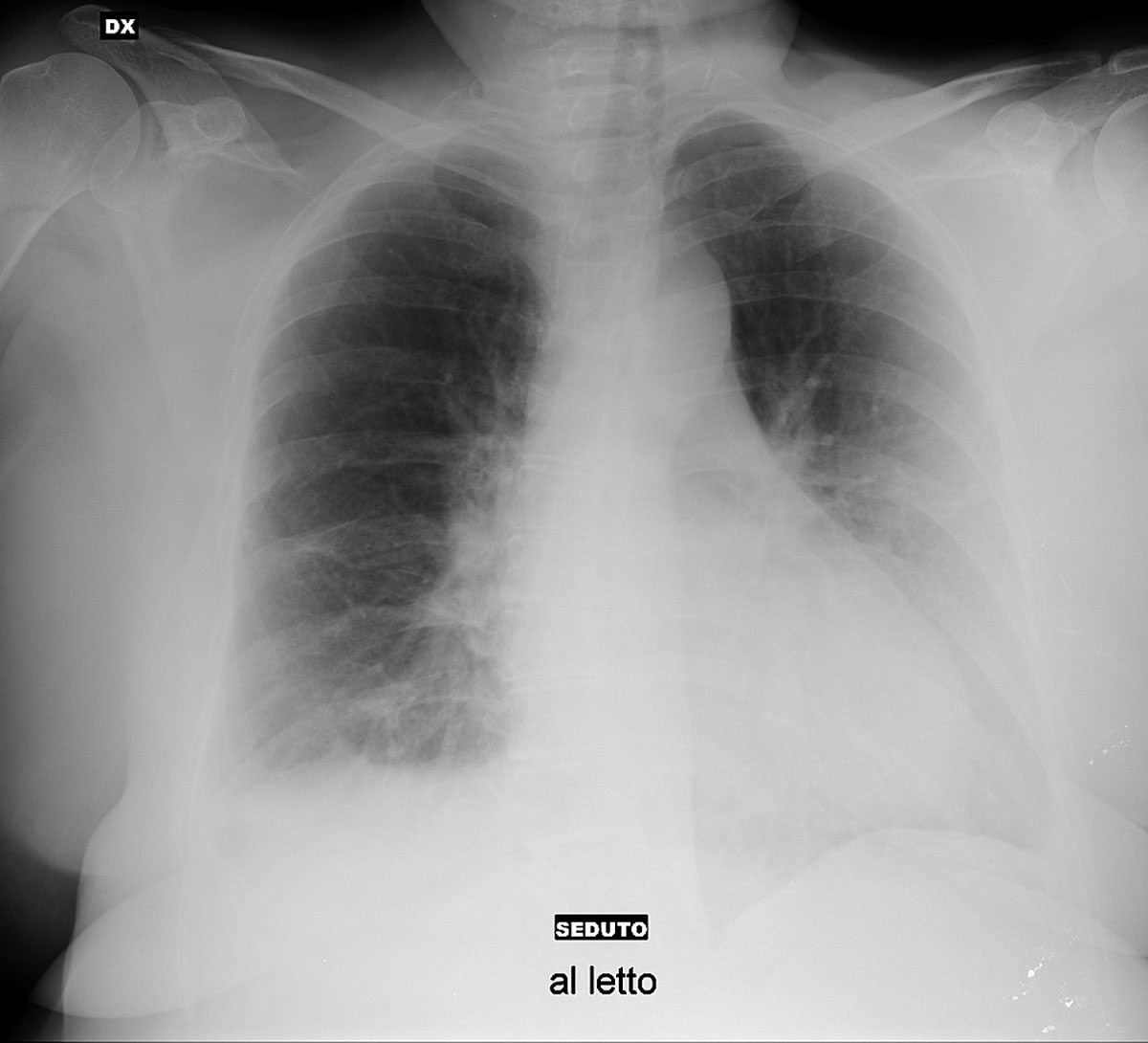
On 16 March 2020, analysis of arterial gases showed a pH of 7.41, a pO2 of 73 mm Hg (9.73 kPa) and a pCO2 of 38.9 mm Hg (5.1 kPa). The second anteroposterior chest x-ray (fig. 2), taken with the patient sitting in bed, showed a reduction of the density and extent of the parenchymal opacities seen on admission at the right base and the left hemithorax in the previous image. Patient 1 left the hospital the same day.

Figure 2 chest x-ray of patient 1 on day 6 after admission, 16 March 2020. Courtesy Ospedale di Sassuolo. It shows a marked reduction of the opacities noted in figure.1 (see detailed radiological description in the text).
On 24 March 2020, she tested negative for COVID-19 and was reported to be at home, afebrile, in good general status.
60-year-old man, Caucasian, living in Italy, husband of patient 1.
Arterial hypertension, controlled with losartan and hydrochlorothiazide.
Nausea, vomiting, diarrhoea for 7 days prior to admission, eventually fever and dyspnoea.
On admission to the ER, the patient was conscious, febrile, dyspnoeic. At pulmonary auscultation no rales were found.
A swab for COVID-19 was positive. The haematogram showed normal haemoglobin and white blood cell count, with thrombocytopenia. Initial arterial pO2 was 69 mm Hg (kPa 9.2 kPa).
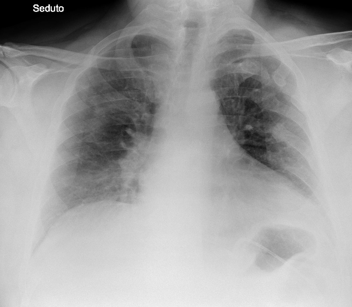
A chest x-ray in anteroposterior projection, with the patient in a sitting position, showed moderate bilateral parenchymal opacities, mostly subpleural and with a mantellar distribution, accompanied by discrete basal pleural effusions (fig. 3).

Figure 3 Chest x-ray of patient 2 on admission, 10 March 2020. Courtesy Ospedale di Sassuolo. Subpleural opacities dominate (see detailed description in the text).
Antiviral therapy with darunavir/cobicistat and hydrochloroquine 200 mg 2 twice daily. and antibiotic treatment with ceftriaxone were started.
Despite these measures, fever up to 40.5 °C developed, with a respiratory rate of 35/min and worsening hypoxaemia with an arterial pO2 of 60 mm Hg (7.9 kPa) despite oxygen 2 l/min. The patient remained lucid (Modified Early Warning Score 6) but suffering. In consequence, he was transferred to the intensive care unit of the hospital, intubated and ventilated. Azithromycin was added to the antibiotic treatment with ceftriaxone.
Despite a complicated course, which had necessitated intensive care, patient 2 survived, was weaned from artificial ventilation on 21 March 2020 and stayed in standard hospital care for CoVID-19 patients until 2 April when he was able to return to his home. A swab for SARS CoV-2 was negative at discharge.
Respiratory insufficiency secondary to community acquired SARS CoV-2 pneumonia in a previously healthy man.
The cases described here are an example for the diversity of clinical courses in COVID-19 and for the role of the immunocompetence of the host at the time of infection.
We observed:
The recent history of patient 1, with metastatic breast cancer and recent exposure to antineoplastic chemotherapy that had produced leucopenia at admission to the hospital were indicative of a state of immunosuppression, whereas there was no hint of a significant immunosuppression of patient 2. However, the clinical course was strikingly different, as described above.
We conclude that the low degree of immunocompetence in patient 1 did not induce serious complications and that it could even have offered an advantage in the prevention of cytokine storm. However, we can only hypothesise on the mechanisms actively involved in the benign course of patient 1.
Several explanations should be discussed:
Regarding the complications and the slow recovery of patient 2, in sharp contrast to patient 1, a role of his pre-COVID-19 medication in determining his response to SARS CoV-2 cannot be excluded a priori. Both losartan and hydrochlorothiazide have been shown to act on inflammatory pathways [29, [30].
Our motivation for publishing our observations is threefold:
The suggestion by Mehta [7] to consider active immunosuppression as a strategic tool to combat or prevent cytokine storm in COVID-19 has been commented on by Ritchie and Siganayagam [32], with a warning that this might be a “double-edged sword”. Therefore, we conclude that it is imperative to take a closer look into interactions of drugs on the molecular level that can trigger different immune responses and inflammatory processes responsible for the most severe complications of COVID-19.
This could be done, for example, by studying the potential role of P-glycoprotein (Pgp), a transmembrane ABC transporter, in cytokine extrusion by immune cells. The activity of Pgp and thus the extrusion of cytokines can be modulated by inhibitors (as demonstrated for verapamil by Wyska [33]) and by inducers of Pgp (for modulators and inhibitors of Pgp cf. Seelig [34]).
Table 1 Medications taken by the patients before and during COVID-19.
| Treatment period | Patient 1 female | Patient 2 male |
|---|---|---|
| Pre-COVID-19 Starting 17 February 2020 |
Fulvestrant | Losartan |
| Abemaciclid | Hydrochlorothiazide | |
| During COVID-19 Starting 10 March 2020 |
Fligrastim | − |
| Darunavir | Darunavir | |
| Cobicistat | Cobicistat | |
| Hydroxychloroquine | Hydroxychloroquine | |
| Levofloxacin | Cetriaxon | |
| Piperacillin | Azithromycin | |
| Tazobactam | − | |
| Intensive care | No | Yes |
| Dismissed from Hospital | 16 March 2020 | 2 April 2020 |
The patients have indicated an interest in a scientific discussion of their cases and in the conclusions resulting from it.
The chest x-ray images were provided by special permission from Aldo Burani MD, Radiologist, Director of the Department for Imaging Diagnostics of the Sassuolo Hospital, Ospedale di Sassuolo S.p.A.
The authors should like to thank Prof. Adriano Aguzzi, Director of the Institute Neuropathology of the University of Zurich, for his encouragement to produce a paper on the cases reported here, and for his invaluable and continuous help in the editing process. The authors should also like to thank Prof. Anna Seelig, Biozentrum Basel, for her valuable suggestions for the literature search and referencing, and her support in proof reading.
No financial support and no other potential conflict of interest relevant to this article were reported.
1The SARS Epidemic and its Aftermath in China - A Political Perspective. In: Learning from SARS: Preparing for the Next Disease Outbreak. Washington DC: National Academies Press (US); 2004.
2 Li CK Wu H Yan H Ma S Wang L Zhang M T cell responses to whole SARS coronavirus in humans. J Immunol. 2008;181(8):5490–500. doi:.https://doi.org/10.4049/jimmunol.181.8.5490
3 Peiris JS Chu CM Cheng VC Chan KS Hung IF Poon LL HKU/UCH SARS Study Group . Clinical progression and viral load in a community outbreak of coronavirus-associated SARS pneumonia: a prospective study. Lancet. 2003;361(9371):1767–72. doi:.https://doi.org/10.1016/S0140-6736(03)13412-5
4 Dandekar AA Perlman S . Immunopathogenesis of coronavirus infections: implications for SARS. Nat Rev Immunol. 2005;5(12):917–27. doi:.https://doi.org/10.1038/nri1732
5 Frieman M Baric R . Mechanisms of severe acute respiratory syndrome pathogenesis and innate immunomodulation. Microbiol Mol Biol Rev. 2008;72(4):672–85. doi:.https://doi.org/10.1128/MMBR.00015-08
6 Gralinski LE Sheahan TP Morrison TE Menachery VD Jensen K Leist SR Complement Activation Contributes to Severe Acute Respiratory Syndrome Coronavirus Pathogenesis. MBio. 2018;9(5):e01753-18. doi:.https://doi.org/10.1128/mBio.01753-18
7 Mehta P McAuley DF Brown M Sanchez E Tattersall RS Manson JJ HLH Across Speciality Collaboration, UK . COVID-19: consider cytokine storm syndromes and immunosuppression. Lancet. 2020;395(10229):1033–4. doi:.https://doi.org/10.1016/S0140-6736(20)30628-0
8 Ferrara JL Abhyankar S Gilliland DG . Cytokine storm of graft-versus-host disease: a critical effector role for interleukin-1. Transplant Proc. 1993;25(1 Pt 2):1216–7.
9The Johns Hopkins University. Johns Hopkins ABX Guide: Coronavirus COVID-19 (SARS-CoV-2). 2020. Available at: https://www.hopkinsguides.com/hopkins/view/Johns_Hopkins_ABX_Guide/540747/all/Coronavirus_COVID_19__SARS_CoV_2_
10 Colson P Rolain JM Lagier JC Brouqui P Raoult D . Chloroquine and hydroxychloroquine as available weapons to fight COVID-19. Int J Antimicrob Agents. 2020:105932. doi:.https://doi.org/10.1016/j.ijantimicag.2020.105932
11A Randomized, Open, Controlled Trial for Darunavir/Cobicistat or Lopinavir/Ritonavir combined with Thymosin A1 in the Treatment of Novel Coronavirus Pneumonia. 2020.
12 Lu H . Drug treatment options for the 2019-new coronavirus (2019-nCoV). Biosci Trends. 2020;14(1):69–71. doi:.https://doi.org/10.5582/bst.2020.01020
13 Agostini ML Andres EL Sims AC Graham RL Sheahan TP Lu X Coronavirus Susceptibility to the Antiviral Remdesivir (GS-5734) Is Mediated by the Viral Polymerase and the Proofreading Exoribonuclease. MBio. 2018;9(2):e00221-18. doi:.https://doi.org/10.1128/mBio.00221-18
14 Xia S Yan L Xu W Agrawal AS Algaissi A Tseng CK A pan-coronavirus fusion inhibitor targeting the HR1 domain of human coronavirus spike. Sci Adv. 2019;5(4):eaav4580. doi:.https://doi.org/10.1126/sciadv.aav4580
15 Boriskin YS Leneva IA Pécheur EI Polyak SJ . Arbidol: a broad-spectrum antiviral compound that blocks viral fusion. Curr Med Chem. 2008;15(10):997–1005. doi:.https://doi.org/10.2174/092986708784049658
16 Xia J Rong L Sawakami T Inagaki Y Song P Hasegawa K Shufeng Jiedu Capsule and its active ingredients induce apoptosis, inhibit migration and invasion, and enhances doxorubicin therapeutic efficacy in hepatocellular carcinoma. Biomed Pharmacother. 2018;99:921–30. doi:.https://doi.org/10.1016/j.biopha.2018.01.163
17 Wang CH Zhong Y Zhang Y Liu JP Wang YF Jia WN A network analysis of the Chinese medicine Lianhua-Qingwen formula to identify its main effective components. Mol Biosyst. 2016;12(2):606–13. doi:.https://doi.org/10.1039/C5MB00448A
18 Al-Bari MA . Chloroquine analogues in drug discovery: new directions of uses, mechanisms of actions and toxic manifestations from malaria to multifarious diseases. J Antimicrob Chemother. 2015;70(6):1608–21. doi:.https://doi.org/10.1093/jac/dkv018
19 Zhou D Dai S-M Tong Q . COVID-19: a recommendation to examine of hydrochloroquine in preventing infection and progression. J Antimicrob Chemother. 2020;dkaa114. doi:.https://doi.org/10.1093/jac/dkaa114
20Efficacy and Safety of Darunavir and Cobicistat for Pneumonia Caused by 2019-nCoV (DACO-nCoV). 2020.
21 Matsuyama S The inhaled corticosteroid ciclesonide blocks coronavirus RNA replication by targeting viral NSP15. bioRxiv. 2020.
22 Rodrigues JCL Hare SS Edey A Devaraj A Jacob J Johnstone A An update on COVID-19 for the radiologist - A British society of Thoracic Imaging statement. Clin Radiol. 2020;75(5):323–5. doi:.https://doi.org/10.1016/j.crad.2020.03.003
23 Kaysin A Viera AJ . Community-Acquired Pneumonia in Adults: Diagnosis and Management. Am Fam Physician. 2016;94(9):698–706.
24 Gautret P Lagier J-C Parola P Hoang VT Meddeb L Mailhe M Hydrochloroquine and Azithromycin as a Treatment of COVID-19: Results of an Open-Label Non-Randomized Clinical Trial. Int J Antimicrob Agents. 2020;105949. doi:.https://doi.org/10.1016/j.ijantimicag.2020.105949
25 Pandya PH Murray ME Pollok KE Renbarger JL . The Immune System in Cancer Pathogenesis: Potential Therapeutic Approaches. J Immunol Res. 2016;2016:4273943. doi:.https://doi.org/10.1155/2016/4273943
26 Joffroy CM Buck MB Stope MB Popp SL Pfizenmaier K Knabbe C . Antiestrogens induce transforming growth factor beta-mediated immunosuppression in breast cancer. Cancer Res. 2010;70(4):1314–22. doi:.https://doi.org/10.1158/0008-5472.CAN-09-3292
27 Schaer DA Beckmann RP Dempsey JA Huber L Forest A Amaladas N The CDK4/6 Inhibitor Abemaciclib Induces a T Cell Inflamed Tumor Microenvironment and Enhances the Efficacy of PD-L1 Checkpoint Blockade. Cell Rep. 2018;22(11):2978–94. doi:.https://doi.org/10.1016/j.celrep.2018.02.053
28 Xiao BG Lu CZ Link H . Cell biology and clinical promise of G-CSF: immunomodulation and neuroprotection. J Cell Mol Med. 2007;11(6):1272–90. doi:.https://doi.org/10.1111/j.1582-4934.2007.00101.x
29 Cardoso PRG Matias KA Dantas AT Marques CDL Pereira MC Duarte ALBP Losartan, but not Enalapril and Valsartan, Inhibits the Expression of IFN-γ, IL-6, IL-17F and IL-22 in PBMCs from Rheumatoid Arthritis Patients. Open Rheumatol J. 2018;12(1):160–70. doi:.https://doi.org/10.2174/1874312901812010160
30 Nemati F Rahbar-Roshandel N Hosseini F Mahmoudian M Shafiei M . Anti-inflammatory effects of anti-hypertensive agents: influence on interleukin-1β secretion by peripheral blood polymorphonuclear leukocytes from patients with essential hypertension. Clin Exp Hypertens. 2011;33(2):66–76. doi:.https://doi.org/10.3109/10641963.2010.496521
31 Zhu L Xu X Ma K Yang J Guan H Chen S Successful recovery of COVID-19 pneumonia in a renal transplant recipient with long-term immunosuppression. Am J Transplant. 2020;ajt.15869. doi:.https://doi.org/10.1111/ajt.15869
32 Ritchie AI Singanayagam A . Immunosuppression for hyperinflammation in COVID-19: a double-edged sword? Lancet. 2020;395(10230):1111. doi:.https://doi.org/10.1016/S0140-6736(20)30691-7
33 Wyska E . Pretreatment with R(+)-verapamil significantly reduces mortality and cytokine expression in murine model of septic shock. Int Immunopharmacol. 2009;9(4):478–90. doi:.https://doi.org/10.1016/j.intimp.2009.01.013
34 Seelig A . A general pattern for substrate recognition by P-glycoprotein. Eur J Biochem. 1998;251(1-2):252–61. doi:.https://doi.org/10.1046/j.1432-1327.1998.2510252.x
No financial support and no other potential conflict of interest relevant to this article were reported.