DOI: https://doi.org/10.4414/smw.2019.20142
Whenever illness or injury occurs, the question arises: could it have been prevented?
The identification of factors that predict future risk in order to manage and eventually reduce this risk are the subject of extensive ongoing research. The INTERHEART study showed that major independent cardiovascular risk factors contribute to 90% of cardiovascular events [1]. According to the Swiss Federal Statistical Office, cardiovascular and cancer diseases remained the leading causes of mortality in Switzerland in 2015. The National Health Accounts were highest for cardiovascular disease (15.6%), which together with cancer accounted for 22% of healthcare expenditure in Switzerland [2].
Prevention of diseases associated with atherosclerosis is therefore a primary healthcare issue. Traditionally, primary care physicians assess atherosclerosis risk by examining patients for the presence of traditional risk factors. The modification of only seven risk factors (smoking, blood pressure, cholesterol, obesity, sedentary lifestyle, malnutrition, diabetes mellitus) has great potential to prevent premature all-cause morbidity and mortality in the population [3, 4]. However, many patients reaching hospital with a first ischaemic event are classified as low-risk subjects by risk calculators [5, 6] such as PROCAM [7] or SCORE [8].
Direct visualisation of atherosclerosis may therefore be warranted in order to reclassify subjects according to their individual risk. Indeed, we have shown for two populations from the Olten (Switzerland) and Koblenz (Germany) areas that the sensitivity of global risk calculators such as PROCAM and SCORE is low for the detection of advanced carotid atherosclerosis assessed as the total carotid plaque area [9] and the agreement between PROCAM and SCORE with respect to risk category appears to be limited [10]. The rationale for the addition of ultrasound to atherosclerosis management is the topic of this review.
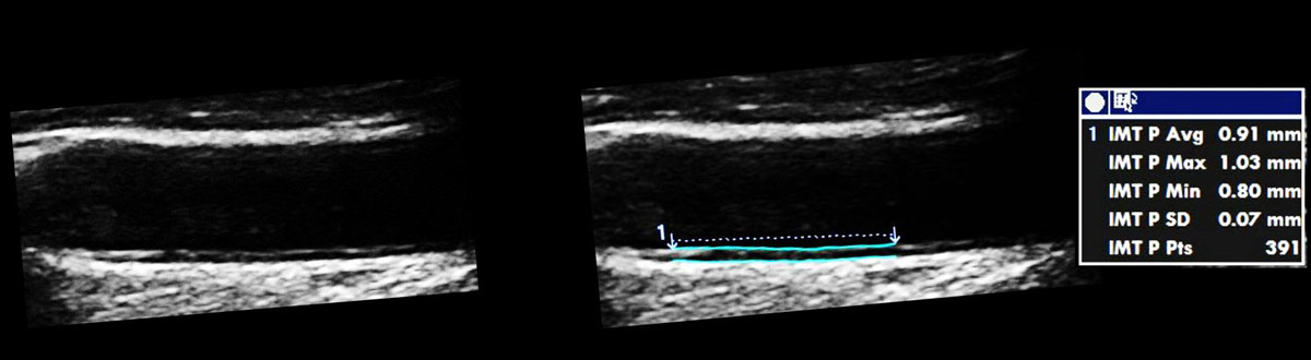
Carotid ultrasound is performed with a linear array probe (fig. 1) with a high frequency of at least 7 MHz in order to obtain sufficient resolution to image small structures [11]. The image resolution depends on the depth and the frequency used [12, 13] and is usually around 0.3 mm [14]. The anatomical region of interest is the tunica intima, which is assessed with 2D imaging without Doppler. Intima-media thickness (IMT) is the distance between the endothelium and the tunica adventitia (fig. 2). According to the Mannheim consensus, IMT is preferably measured in the far wall segment of the last 10 mm of the common carotid artery [15] (fig. 3). One major problem with carotid IMT measurements lies in the diversity of methods used, as described extensively elsewhere [16]. The variability of carotid IMT measurements is lowest in the far wall of the common carotid artery with the exclusion of carotid plaque (figs 3 and 4 ), but this increase in reproducibility goes with a loss in prediction of cardiovascular events [20, 21].

Figure 1 A linear ultrasound probe.

Figure 2 Anatomy of the carotid artery wall. The image represents the far wall of the common carotid artery showing the intima and media, defined by the distance between the endothelium and the external elastic membrane. For clinical purposes, the distance between the endothelium and the tunica adventitia is measured to obtain the intima-media thickness (IMT).

Figure 3 Intima-media thickness (IMT measurement) according to the Mannheim consensus [ 15 ]. The carotid artery IMT should be parallel to the ultrasound beam and the measurement should be performed in the distal part of the common artery using a diastolic frame and excluding carotid plaque defined by (1) thickness >1.5 mm; (2) lumen encroaching >0.5 mm; (3, 4) >50% of the surrounding IMT value. The IMT value should be derived from a length of 10 mm with 150 measures.

Figure 4 Schematic view of the carotid artery, displaying fields of view and types of measurements. Principle measurements of atherosclerosis in the carotid artery are either intima media thickness (IMT; far wall of the distal part of the common carotid artery perpendicular to the ultrasound beam in diastole according to the Mannheim Consensus [15, 17]); 3D plaque volume encompassing a field of view (FOV) of 3.8 cm using the Philips iU 22 ultrasound system [18], providing the a total plaque volume (TPV), which however may exclude plaque e.g. proximal or distal to the FOV of 3.8 cm; total plaque area (TPA), which measures all longitudinal plaque (in mm2) visible from the subclavian artery to the most distal parts of the common and internal carotid arteries, usually over a FOV of 8.5 cm or more. The most information on the total plaque burden is therefore provided by the TPA, followed by TPV and IMT. However, TPV can include plaques that are located laterally in the vessel and not visible with the TPA method. Therefore, TPA should include also lateral plaque from transversal images. The correlation coefficient between TPA and TPV is r2 = 0.921 (p <0.0001) [19].
The sum of the longitudinal area of all plaques in the carotid wall is termed total plaque area (TPA) and is measured from the clavicles to the jaws using multiple angles to obtain the longitudinal circumference of all plaques in the carotid tree, with inclusion of the proximal brachial artery if possible [22] (fig. 4). Recently, carotid plaque volume has been made available by use of the Philips iU 22 ultrasound system equipped with a single sweep volumetric transducer (fig. 5), which covers 3.8 cm of the carotid artery and visualises the distal part of the common carotid artery, the bulb and the proximal parts of the internal carotid artery [23] (and personal communication Philips AG, Zurich, Switzerland). Off-line software calculates the plaque areas from all obtained transversal images in order to calculate the total plaque volume (TPV). Since the field of view is only 3.8 cm, some plaques proximal or distal to the transducer are missed and these plaques are included in the total plaque area derived from longitudinal carotid images (fig. 4). The advantage of the longitudinal plaque imaging (TPA technique) is its high reproducibility [24], vendor independence (no additional costs for surface tracings) and the possibility to obtain the results without additional software [14]. The definition of atherosclerotic plaque versus non-atherosclerotic intimal thickening has not been used uniformly in the literature (table 1). For clinical purposes, an IMT increase of >1.5 mm or a focal thickening of >50% when compared with adjacent structures is the most commonly used approach [15].

Figure 5 Semiautomatic measurements of transversal plaque areas obtained from a Philips iU 22 ultrasound system equipped with the single sweep volumetric transducer vL 13-5. Analysis was performed offline with software provided by the manufacturer. The software calculates the total plaque volume from all transversal carotid plaque areas obtained by the single sweep volumetric transducer over a field of view of 3.8 cm.
Table 1 Parameters frequently used for the quantification of carotid plaques.
| Plaque characteristic | Measurements | Reference |
|---|---|---|
| Increase of IMT | >1.0 mm | Spence 1991 [25] |
| Doubling of IMT | Spence 1991 [25] | |
| Doubling of IMT | Mannheim Consensus [15] | |
| Thickening of IMT | >1.2 mm | Handa [26] |
| Subjective assessment | Polak [27] | |
| Encroaching into the lumen | 0.5 mm | Mannheim Consensus [15] |
| Increase of IMT | ≥1.5 mm | Mannheim Consensus [15], Spence [28] |
| Texture changes | Singh [29] | |
| Plaque yes or no | Nambi [30] | |
| Subjective assessment | Plaque burden none to severe | Peters [31] |
| Plaque presence | Number of plaques | Plichart [32] |
| Plaque thickness | In mm | Rundek [33] |
| Plaque area | In mm2 | Spence [28] |
| Plaque volume | In mm3 | Baber [34] |
| Echo lucency | Gray scale | Stein [35] |
| Contrast agent | Plaque vascularity | Coli [36, 37] |
| IMT = intima-media thickness | ||
Outcome studies assessing the relationship between the amount of carotid atherosclerosis and the incidence of ischaemic events in the heart and the brain are numerous. Tables 2a–c summarise the largest ones, which included at least 4000 subjects in cohort studies (table 2a). For comparison, outcome studies considering coronary calcification are represented in table 2b and direct comparison studies in table 2c.
Table 2 a: Major outcome studies using carotid intima media thickness and carotid plaque.
| Author/acronym [ref.] | n | Outcome | Effect |
|---|---|---|---|
| CAFES-CAVE [38] | 10,000 | Mortality | No plaque: events 0.1% Carotid plaque: events 3.0% |
| Rotterdam [39] | 6389 | AMI | Plaque y/n: HR 1.6, 95% CI 1.2–2.2 |
| Rosvall [40] | 5163 | AMI | Plaque y/n: HR 1.8, 95% CI 1.5–2.9 IMT tertile 1/3: HR 1.5, 95% CI 0.8–2.6 |
| Rosvall [41] | 5163 | Stroke | Plaque y/n: HR 1.3, 95% CI 0.8–2.1 IMT tertile 1/3: HR 2.5, 95% CI 1.2–5.4 |
| ARIC men [42] | 5552 | AMI | IMT ≥1.0 mm: HR 1.9, 95% CI 1.3–2.7 |
| ARIC women [42] | 7685 | AMI | IMT ≥1.0 mm: HR 5.1, 95% CI 3.1–8.4 |
| ARIC women [43] | 7685 | Stroke | IMT <0.6/>1.0: HR 8.5, 95% CI 3.5–20.7 |
| ARIC men [43] | 6349 | Stroke | IMT <0.6/>1.0: HR 3.6, 95% CI 1.5–9.2 |
| Tromsø [44] | 6257 | AMI | TPA tertiles: HR 2.5, 95% CI 2.1–3.0 |
| Tromsø men [35] | 6226 | AMI | TPA tertiles: HR 1.6, 95% CI 1.04–2.4 |
| Tromsø women [35] | 6226 | AMI | TPA tertiles: HR 4.0, 95% CI 2.2–7.2 |
| Tromsø men [35] | 6226 | AMI | IMT quartiles: HR 1.7, 95% CI 0.98–3.1 |
| Tromsø women [35] | 6226 | AMI | IMT quartiles: HR 2.9, 95% CI 1.1–7.7 |
| Tromsø men [45] | 6844 | Stroke | TPA tertiles: HR 1.7, 95% CI 1.2–2.5 |
| Tromsø women [45] | 6844 | Stroke | TPA tertiles: HR 1.6, 95% CI 1.04–2.5 |
| Tromsø men [45] | 6844 | Stroke | IMT quartiles: HR 1.4, 95% CI 0.8–2.4 |
| Tromsø women [45] | 6844 | Stroke | IMT quartiles: HR 1.3, 95% CI 0.7–2.3 |
| MESA [46] | 6698 | CVD | IMT quartile HR: 1.7, 95% CI 1.2–2.5 |
| MESA [47] | 4955 | CVD | Carotid score: HR 1.2; 95% CI 1.2-1.4 |
AMI = acute myocardial infarction; ARIC = the Atherosclerosis Risk in Communities study; CI = confidence interval; CAFES-CAVE = carotid-femoral morphology and cardiovascular events; CVD = cardiovascular disease; HR = hazard ratio; IMT = intima media thickness; MESA = the Multi-Ethnic Study of Atherosclerosis; TPA = total plaque area
Table 2b Major outcome studies using coronary artery calcification.
| Author/acronym [ref.] | n | Outcome | AUC | p-value |
|---|---|---|---|---|
| Raggi [48] | 10,377 | Mortality | 0.72–0.78 | 0.001 |
| Detrano [49] | 6772 | MACE | 0.79–0.83 | 0.009 |
| Arad [50] | 4903 | MACE | 0.68–0.79 | 0.001 |
| Erbel [51] | 4129 | MACE | 0.65–0.76 | 0.001 |
| MESA [52] | 6814 | MACE | 0.75–0.80 | 0.001 |
| MESA [46] | 6698 | CVD | Quartile I vs IV: HR 4.4, 95% CI 2.8–6.8 | |
| MESA [47] | 4955 | CVD | HR 1.78, 95% CI 1.16-1.98 | |
| MESA [53] | 6814 | CVD | CAC 0: events 1.3–5.6% CAC >300: events 13.1–25.6% |
|
AUC = area under the curve; CAC = coronary artery calcium score; CI = confidence interval; CVD = cardiovascular disease; HR = hazard ratio; MACE = major adverse cardiovascular events; MESA = the Multi-Ethnic Study of Atherosclerosis
Table 2c Meta-analyses on outcome studies comparing traditional risk factor models with carotid intima media thickness and carotid plaque.
| Study [ref.] | n | Outcome | Effect |
|---|---|---|---|
| Meta-analysis [16] | 45,828 | CVD | Framingham AUC 0.76, 95% CI 0.75–0.76 |
| Meta-analysis [16] | 45,828 | CVD | Carotid IMT AUC 0.76, 95% CI 0.75–0.77 Comparison of AUC: statistically no significant improvement |
| Meta-analysis [54] | 54,366 | CVD | Carotid plaque AUC 0.64, 95% CI 0.61–0.67 |
| Meta-analysis [54] | 54,366 | CVD | Carotid IMT AUC 0.61, 95% CI 0.59–0.64 Relative diagnostic odds ratio 1.4, 95%CI 1.1–1.8 ; p = 0.04 |
AUC = area under the curve; CI = confidence interval; CVD = cardiovascular disease; IMT = intima-media thickness
One of the first studies concerning the prognostic impact on outcome of atherosclerosis imaging using carotid ultrasound was published in 1991 [55]. In 1288 Finnish men, coronary event risk increased when compared with structural changes 2.2-fold for intimal thickening (p = NS), for small carotid plaques 4.2-fold (p <0.01) and 6.7-fold for stenotic plaque (p <0.01). In 1995, Japanese researchers found carotid stenosis and plaque ulcerations to be predictive for ischaemic stroke [56]. In 1996, Belcaro et al. found increases in plaque burden in carotid and femoral arteries to be predictive for cardiovascular events and death in 2322 asymptomatic subjects after a follow-up time of 6 years [57] and in 13,221 low-risk subjects (CAFES-CAVE Study) after 10 years [38]. Spence showed in 2002 that TPA was predictive for cardiovascular events with increasing risk in the higher quartiles of TPA; the analysis included 1686 patients, most of whom had had a previous stroke or transient ischaemic attacks [28]. Of these, 684 were originally primary care patients, for whom it was shown that the addition of posterior test probabilities based on the Bayes theorem (table 3) improved discrimination for predicting future myocardial infarction after 3.3 years of follow-up (area under the curve [AUC] for NCEP III risk 0.68, TPA-posterior test probability 0.75, p = 0.038) [59]. In 2003, Hollander reported on 6913 prospectively followed healthy subjects assessed in the Rotterdam study and found that carotid IMT (with inclusion of regions with carotid plaque) was a stronger predictor for ensuing stroke than carotid plaque alone [60]. In 2004, Van der Meer reported on 6389 subjects from the Rotterdam study with assessments of carotid structural changes (carotid and femoral plaque, carotid IMT with inclusion of plaque, aortic plaque) and found equal predictive power for ensuing myocardial infarction [39]. In 2007, Stein et al. reported on 6226 originally healthy subjects assessed in the Norwegian Tromsø study and found TPA to be a stronger, statistically significant marker for incident myocardial infarction than IMT, especially in women, after correction for several conventional cardiovascular risk factors [35] and this observation remained significant after an extended follow-up of 15 years [44]. In a smaller study from China, Xie et al. reported on 1734 subjects screened for ensuing myocardial infarction and stroke, and found all measures of structural changes in the carotid arteries (IMT measured at six sites, TPA, number of plaques) to be effective for risk prediction after adjustment for conventional cardiovascular risk factors [61]. In 2010, Lorenz reported on the atherosclerosis progression study including 4904 low-risk patients with a follow-up of 10 years and found carotid IMT derived from the common carotid artery, the bulb and the internal carotid artery to be less predictive than the Framingham and SCORE risk models, but only 5% of subjects had carotid plaques [62]. Again in 2010, Chambless published the results from the Atherosclerosis Risk in Communities study (ARIC), in which 13,145 subjects were followed up for 15 years and assessed for traditional risk factors, carotid IMT and presence of carotid plaque [30]. The AUC increased significantly with the addition of carotid IMT or carotid plaque to traditional risk factors. In 2011, Mathiesen et al. reported on 6584 subjects assessed in the Tromsø study and found TPA but not common carotid IMT to be predictive for incident ischaemic stroke after multivariate adjustment [63]. In 2011, Polak reported that in 2965 members of the Framingham Offspring Study cohort evaluated for cardiovascular outcome during a follow-up of 7 years, both internal carotid IMT and internal carotid plaque formation, defined as an IMT thickness of ≥1.5 mm, improved the AUC significantly when compared with the Framingham risk equation [64]. Naqvi gives an excellent and comprehensive overview regarding outcome studies performed with carotid ultrasound [20].
Table 3 Calculation of post-test risk using the Bayes theorem [58].
| PTP positive: (PV × SE) / [PV × SE + (1 – PV) + (1 – SP)] |
| PTP negative: [PV × (1 – SE)] / [PV × (1 – SE) + SP × (1 – PV)] |
PTP positive = post-test probability for a disease if the test is positive [pathological]; PTP negative = post-test probability for a disease if the test is negative [normal]; PV = pretest probability [or prevalence {PV}] for a disease; SE = sensitivity; SP = specificity
Several more recent reviews and meta-analyses have been published in order to put different emerging imaging modalities into perspective with the presence of structural changes and outcome (table 2c). Simons analysed the prognostic impact of carotid IMT compared with carotid plaques using c-statistics (AUC) and found that carotid IMT was not superior to the Framingham risk score for the prediction of ischaemic heart disease [21]. In 2012 Den Ruijter et al. published a meta-analysis on 14 population-based cohorts with data from 45,828 subjects and compared common carotid IMT with the Framingham risk score. They found a modest improvement in reclassification and hazard ratio, but not for AUC [16]. Inaba et al. published a meta-analysis of 11 population-based studies, which included 54,336 patients [54]. Compared with carotid IMT, carotid plaque was a significantly better predictor of future myocardial infarction with AUCs of 0.61 and 0.64, respectively (p = 0.04).
Whereas initial outcome studies with atherosclerosis imaging in the past compared one method with traditional risk factors, two large-scale studies, BioImage [34] and MESA [65], have directly compared coronary calcifications with carotid ultrasound imaging (table 4). The BioImage study, involving 5808 healthy subjects and published in 2015 by Baber et al., directly compared the total volume of carotid plaques acquired with a Philips iU 22 ultrasound system (fig. 5). In a direct comparison of carotid TPV with the presence and amount (score) of coronary calcium (a measure of the total calcified plaque burden in the whole coronary tree), the predictive power for cardiovascular events was noninferior in a low- to intermediate-risk population (table 2b). The MESA study included 6779 healthy subjects and was published by Gepner et al. in 2015 [65]. It compared the presence of coronary calcium with the presence of carotid plaques and carotid IMT above the 75th percentile to predict cardiovascular events and found that only coronary calcium and carotid plaque presence were predictive, whereas carotid IMT was not. For the prediction of stroke / transient ischaemic attack, only the presence of carotid plaques was predictive after 9.5 years of observation time.
Table 4 Direct comparison of coronary calcium scores with either carotid total plaque / carotid plaque volume or carotid intima media thickness in the BioImage [34] and MESA [65] studies.
| BioImage | |||||||||
| n | Age (years) | Risk Fram. 10 y | FU | CVD* | Modality | CVD† | |||
| 5808 | 68.9 | 9.20% | 2.7 | 216 (4.2%) | TRF | 1.00 | |||
| CCS | 2.87 (1.73–4.74) | ||||||||
| CPV | 2.97 (1.92–4.60) | ||||||||
| MESA | |||||||||
| n | Age (years) | Risk 9.5 y | FU | CVD‡ | Modality | CVD | Stroke/TIA | AUC CVD | AUC stroke |
| 6779 | 62.2 | 7.90% | 9.5 | 7.90% | TRF | 1.00 | 1.00 | 0.756 | 0.782 |
| CCS | 3.12 (2.44–3.99) | 1.54 (1.09–2.18) | 0.776 (p <0.001) | 0.785 (p = NS) | |||||
| CP§ | 1.61 (1.17–2.21) | 1.40 (1.35–1.45) | 0.760 (p = 0.03) | 0.787 (p = 0.045) | |||||
| CIMT 75% | 1.20 (0.94–1.52) | 1.01 (0.70–1.47) | 0.757 (p = NS) | 0.783 (p = NS) | |||||
In a meta-analysis of 41 randomised trials including 18,307 participants published in 2010, it was shown that active treatment significantly reduced cardiovascular events and all-cause death, but there was no significant relationship between IMT reduction and cardiovascular events [66]. This was later confirmed in a second meta-analysis performed by Goldberger et al. [67]. It was not confirmed in the IMPROVE-IT study, which included 3703 high risk patients (average Framingham risk score 22%): carotid IMT and its progression, but not carotid plaque, led to significant improvements in risk reclassification [68].
Regardless of traditional risk factors, structural arterial changes revealed by atherosclerosis imaging are associated with adverse cardiovascular outcomes. Although screening with atherosclerosis imaging has not received a class I recommended indication in primary care, most cardiovascular events occur in those not at high cardiovascular risk as categorised by traditional risk factors [5] and therefore, by inference, additional testing might be helpful in further cardiovascular risk stratification.
The inclusion of carotid plaque quantification into cardiovascular risk prediction has significantly improved discrimination and reclassification of subjects in primary care [20, 21]. Carotid plaque is caused by atherosclerosis with the presence of foam cells, smooth muscle cells, calcifications, macrophages, lipid cores and a fibrous cap [69]. However, the definition of plaque on ultrasound is not uniform (for details refer to table 1).
Several aspects might influence the choice of one test rather than another. Expertise and availability are inevitable requirements, but cost, radiation burden, validity, reproducibility, feasibility, test rapidity and the possibility to track atherosclerosis in order to observe treatment effects are all also important. In our opinion, the use of carotid TPA is probably the most suited for clinical practice, followed by a search for femoral bifurcation plaque and aortic plaque, the use of the ankle-arm index or measurement of plaque height with ultrasound in various vascular beds.
More sophisticated tests are often time consuming and costly or involve exposure to radiation, though it has recently been shown that the latter can be reduced. The acquisition of IMT is technically demanding, and requires an ECG signal for images during diastole and a room temperature of 22–25°C; plaque should not be excluded from measurements in order to improve predictive accuracy for cardiovascular events [17] (fig. 3).
Laclaustra reported a comparative study in which presence (score >0) and extent (score >300) of coronary calcium was taken as the golden standard and compared with the ability of traditional risk factors, 3D carotid and 3D femoral plaque volumes to correctly detect coronary calcium within the same subject using AUC [70]. According to this study, both carotid and femoral plaque were better markers for the presence and extent of coronary calcifications than traditional risk factors and there was a tendency toward a better performance of femoral over carotid plaque, especially in smokers.
Cardiovascular risk increases with the carotid plaque burden quantified as TPA. Spence performed a study with a 5-year observation time on the outcome of myocardial infarction, stroke or vascular-related death [28]: the unadjusted risk was 13.5% and risk adjusted for various coronary risk factors was 13.9% for the third quartile (TPA range 46–118 mm2, average 78 ± 21 mm2). By linear extrapolation, over a 10-year period a risk of 27.8% for myocardial infarction, stroke or vascular-related death is expected. In a study by Xie et al. in China with a 4-year follow-up, risk of stroke or myocardial infarction for the third tertile of TPA (TPA above 30 mm2) was 10%, which by linear extrapolation is 25% over 10 years. In the Tromsø study with a 6-year outcome in over 6226 men and women, with TPA >50 mm2 the event rate for the third tertile was 23% in 10 years (by extrapolation) in men and with TPA >37 mm2 the event rate for the third tertile was 16% (by extrapolation to 10 years) in women [35]. In a second Tromsø study with a median observation time of 15 years, 894 myocardial infarctions were observed. The TPA third tertile was 80 ± 44 mm2 and was associated with a 10-year risk of 24% [44]. Plaque growth occurs more in a longitudinal than a transverse direction, so that measures of TPA capture changes in plaque growth more reliably than plaque thickness or IMT [25].
Given the excellent predictive accuracy for cardiovascular events of carotid TPV, which is indeed comparable to presence [65] and extent of coronary calcifications [34], it might be argued that carotid TPV should be used instead of carotid TPA. The correlation between carotid TPV and TPA was tested by the core laboratory in Ontario, Canada, which showed an extremely good correlation: r2 = 0.921 (p <0.0001) [19]. TPA has been shown to change by about 10 mm2 per year, which makes it suitable for observing therapeutic effects over time [20, 71]. In order to avoid the problem of missed plaques situated in the lateral wall with TPA, plaque area may be measured from transverse images (fig. 6).

Figure 6 Large carotid plaque in the carotid bulb, which contains plaque formation not visible in the longitudinal image.
The American College of Cardiology Foundation (ACCF) / American Heart Association (AHA) 2010 guidelines for assessment of cardiovascular risk in asymptomatic adults issued a class IIa recommendation for coronary calcium assessment in subjects at intermediate risk, a IIa recommendation for carotid IMT if carotid plaques are present, a class IIb recommendation for coronary calcium in low-risk subjects and a class III recommendation for ankle-brachial index, pulse wave velocity and other measures of arterial abnormalities such as arterial stiffness [72].
In 2013 the American College of Cardiology (ACC) / AHA guidelines on cardiovascular risk assessment recommended not using carotid IMT in clinical practice for cardiovascular risk assessment, but carotid plaque retained a Class IIa indication (“should be considered”) [73].
According to the latest Joint European Society of Cardiology (ESC) guidelines, socioeconomic status, social isolation or lack of social support, family history of premature cardiovascular disease, elevated body mass index and central obesity, computed tomography coronary calcium score, atherosclerotic plaques determined by carotid artery scanning and the ankle-brachial index should all be considered as important factors for adjusting the level of risk [74]. In this paper, carotid plaque but not carotid IMT was categorised as a very high-risk finding. The final recommendation for coronary calcium scanning, ankle-brachial index and carotid plaque imaging received a “may be considered” (class IIb) recommendation, whereas carotid IMT measurements are not recommended (class III indication) in the latest Joint ESC guidelines [74].
According to US guidelines of 2018, coronary calcium measurements may be indicated in intermediate risk patients (IIa recommendation), whereas carotid plaque was not specifically addressed, except for the BioImage study (carotid plaque volume) [34].
In order to guide patients in their highly prevalent wish to remain healthy until very old age, clinicians should utilise appropriate tools to adequately predict risk for all-cause morbidity and mortality. Unfortunately, such risk prediction tools are not available. Whether the risk for all-cause morbidity can be calculated by using the Framingham risk equation for cardiovascular disease and a simple multiplication factor if additional modifiable risk markers have to be incorporated into such risk models should therefore be a matter of investigation.
The first study on cardiovascular risk prediction associated with only four modifiable risk factors (smoking, hypertension, total cholesterol, high-density lipoprotein cholesterol), derived from the Framingham cohort study, showed clinically important results [75]. In the Cardiovascular Lifetime Risk Pooling Project, the absence of smoking, hypertension, elevated total cholesterol and diabetes resulted in a life-time gain of 14 years free of any cardiovascular disease [76]. Similarly, all-cause morbidity is significantly influenced by these few risk factors, as was shown in the Chicago Heart Association Detection Project in Industry [3]: favourable cardiovascular health assessed at the age of 40 extended survival by 4 years and postponed the onset of all-cause and cardiovascular morbidity by 4.5 and 7 years, respectively, after an observation period of over 40 years. Favourable risk factors at age 40 resulted in both lower cumulative and annual healthcare costs later in life, supporting the idea of a reduction of costs as well as of morbidity. Inclusion of 20-year trends in the Framingham Offspring study showed that those who maintained ideal cardiovascular health scores had significantly lower rates for cardiovascular diseases and all-cause mortality [4].
Many emerging risk factors have shown additional predictive power, especially regarding markers of inflammation [77], obesity [78] and atherosclerosis quantified via imaging [79], as opposed to risk-reducing factors such as healthful nutrition [23] and physical activity [80]. Importantly, a combination of favourable risk factors is associated with additional benefit, as was shown for the degree of physical fitness and statin use versus no statin use [81] and for the lack of subclinical atherosclerosis [4].
For clinicians, the predictive value of any test not included in the cardiovascular risk charts has to be clearly substantiated in order to avoid unnecessary testing and ensuing preventive activities. In Switzerland, the accuracy of use of risk equations for predicting coronary or cardiovascular risk has not been prospectively tested, and questions regarding appropriate recalibration of PROCAM and SCORE remain to be solved [82]. A cross-sectional observational study of patients admitted to hospital owing to a first cardiovascular event, such as unstable angina or acute myocardial infarction, unexpectedly suggested that most of these patients were at low cardiovascular risk as defined by SCORE or PROCAM [5]. In subjects aged 40 to 54 years, nearly 60% with low risk defined by coronary risk charts had subclinical atherosclerosis [83] and nearly 50% of 1779 subjects without medication or conventional cardiovascular risk factors had subclinical atherosclerosis, which was correlated only with age, male sex and low-density lipoprotein cholesterol [84]. We have shown, in a German and Swiss cross-sectional observation of 5104 healthy subjects, that the sensitivity of SCORE and PROCAM is low in the detection of advanced carotid atherosclerosis (defined as a TPA >80 mm2) in the age group 40 to 65 years [9].
Therefore there is room for improvement in risk prediction. Currently, the Swiss Heart Foundation uses the CARRISMA calculator, which refines risk score results with inclusion of physical activity, number of cigarettes smoked and body mass index [85]. However, CARRISMA is not explicitly recommended by the Swiss National Atherosclerosis Prevention Guidelines (AGLA) and its additive value, the improvement in conjunction with coronary risk prediction tools such as SCORE and PROCAM, remains to be verified. Other risk markers that should be used to assess risk in a given patient are – according to AGLA – the presence of psychosocial stress factors, autoimmune-inflammatory diseases or atherosclerotic disease in arteries evidenced by imaging.
There are several reasons to implement additional tests in primary prevention of cardiovascular disease in order to improve the sensitivity and specificity of risk prediction. Uncertainty about a true risk category, especially in low- to intermediate-risk patients, may represent a trigger for additional tests, since a substantial fraction of patients in these risk categories have advanced atherosclerosis in several vascular beds [83, 84] and in the carotid arteries [9]. However, the criteria for an additional screening test in primary care should fulfil several criteria (table 5).
Table 5 Criteria for additional screening test quality (adapted from [58]).
| 1. Independent comparison with a gold standard |
| 2. Large spectrum of pretest probabilities |
| 3. Ability to change clinical decisions |
| 4. High reproducibility |
| 5. Validation in several populations |
| 6. High accuracy to discriminate individuals with and without disease discrimination |
In view of the expansion of morbidity in populations with increasing life expectancies, only an early optimisation of risk factors is required for disease reduction [3, 4, 76, 86]. Therefore, the mission in primary care should be to reach the well-defined goals of favourable risk factors in every patient.
Despite numerous efforts of primary care physicians to achieve such goals, the motivation of patients to achieve them was rather poor in surveys of the control of cardiovascular risk factors in Switzerland [87]. Moreover, a formal randomised trial designed to study the effect of atherosclerosis imaging on smoking cessation rate showed disappointing results [88] and a meta-analysis on this topic had mixed results without showing significant effects of such interventions [89]. Similarly, results from genetic testing had no apparent effect on the motivation to improve risk factors [90] at the patient level, for example with respect to smoking abstinence rates or weight reduction in the overweight. However, in diabetic patients, knowledge of carotid atherosclerosis was helpful in improving cardiovascular risk management in an observational multicentre study [91] and recently a large randomised prospective study involving 3175 patients, showed that the patient’s knowledge of their arterial age – derived from carotid atherosclerosis – significantly improved adherence to lifestyle modifications and medication [92].
The conclusion that additional testing does not help in risk factor improvement is only true for the methods evaluated so far. The opposite was shown for the visualisation of silent atherosclerosis [92]. Changing the emphasis from negative aspects of cardiovascular risk factors to positive and modifiable increases in healthy life years could be essential in motivating patients and the currently healthy. Since noncalcified atherosclerosis is reversible with intensive risk factor modification, an expected reduction of atherosclerosis with use of atherosclerosis tracking over time may further increase the adherence of patients to preventive therapies.
The reversibility of atherosclerosis with preventive interventions is a clinically relevant factor, as extensively shown for lipid lowering drugs [71, 93–97], and the improved prognosis with regression of coronary [98] and carotid [28] atherosclerosis. Tracking carotid atherosclerosis over time using a test that incorporates TPA was shown to reduce TPA in more than 10,000 intensively statin-treated patients by Spence in Canada [71], by Herder in Norway [99] and by Sturlaugsdottir in Iceland [100]. Since statins reduce cardiovascular risk and more intensive statin use reduces TPA, carotid plaque regression or stabilisation should improve cardiovascular outcome. This is further supported by Spence et al., who found that no progression or a reduction of carotid plaques over time was a statistically significant predictor for fewer cardiovascular events during follow up [28]. Therefore, TPA appears to be a factor that is especially attractive for serial testing over time in order to observe the effects of prevention on subclinical atherosclerosis [71], and possibly to promote compliance in patients and the still healthy.
Attempts to guide the intensity of preventive therapies by using serial coronary calcium scores have yielded partially negative results [101]. The detection of a progression of coronary calcium scores was found to have additional prognostic power [102], but the changes in C-statistics and reclassification were only modest [103]. Further, recent scientific evidence found that – owing to healing processes – statins increase the calcified plaque burden in coronary arteries in terms of calcium density in the plaques but not the calcified plaque volume [104]. In a meta-analysis using TPV assessed with contrast-enhanced computed cardiac tomography (including noncalcified coronary plaques), high-intensity statin users had a significant decrease of TPV by 21%, whereas TPV increased significantly by 15% in non-statin users over a mean follow-up time of only 13 months [105]. A meta-analysis of intravascular coronary ultrasound studies documented a decrease of coronary plaque volume with an increase of calcified plaque volume [106], which was verified in similar studies [107]. Therefore, serial coronary calcium scores may not be clinically useful when compared with serial TPA testing with respect to cost and radiation burden, and should be avoided when a baseline coronary calcium score is above 100. The new US guidelines of 2018 state that in statin-treated patients coronary calcium score follow-up examinations have “no utility” [108].
For a clinician, a search for additional risk modifiers in patients with borderline findings is inconceivable. For example, in a patient with a 9% risk for cardiovascular diseases in 10 years, the presence of coronary or carotid atherosclerosis could trigger more intensive preventive care. According to the National Swiss Guidelines, target risk factors of the 10-year PROCAM risk adapted for Switzerland are excessive values of single cardiovascular risk factors (e.g., low density lipoprotein above 5.0 mmol/l), presence of psychosocial risk factors (e.g., depression), autoimmune inflammatory diseases or carotid plaque, but not carotid IMT.
We addressed the cost efficiency of the addition of carotid plaque imaging as a cardiovascular risk modifier and found high cost efficiency when carotid ultrasound was added to the clinical work-up in low-risk patients [109].
Assessment of cardiovascular or coronary heart disease using risk charts (e.g., SCORE) or risk equations (e.g., Framingham, PROCAM) is currently established. Cut-offs for risk categories are arbitrary and range from low-to-intermediate, to high and very high, and usually apply over a time period of 10 years. When emerging risk factors are found or quantified in clinical practice, the integration of these findings to allow changes in risk categories is not firmly established. According to the Joint ESC guidelines on cardiovascular risk prediction, the simple presence of a carotid plaque defines very high risk [74]. That this is rarely the case can be seen from posterior calculations of risk [110] (table 5): for example, using the sensitivity and specificity of TPA in a man with 8.0% risk, a TPA of 51 mm2 would increase the risk (derived from the Tromsø study [35]) to 18.4 (95% confidence interval [CI] 12.5–26.2); in a women the risk would increase to 26.4 (95% CI 13.6–45.1). Therefore, the same amount of plaque shifts a man to intermediate and a women to intermediate-to-high coronary risk [111] (fig. 7).

Figure 7 Clinical significance of plaque measurements by integration of the Bayes theorem. A plaque area of 23 mm2 (see fig. 6) corresponds to an arterial age of 34 years in men and 43 years in women. An arterial age of 70 years corresponds to a total plaque area (TPA) of 108 mm2 in men and 66 mm2 in women, with increased risk [112]. On the basis of data from the Tromsø study, an arterial age of 70 years corresponds to the 96th percentile in men (sensitivity 9%, specificity 97%) and to the 95th percentile in women (sensitivity 18%, specificity 95%). According to the Bayes theorem, a person with a 4% risk and arterial age of 70 would then be reclassified to intermediate risk (men 11%, women 13%). For a 10-year risk of 10%, an arterial age of 70 would increase the risk to 25% in men and 29% in women.
Recently, the concept of “negative risk markers” was introduced by Mortensen et al., who reported that the absence of coronary artery calcification or the absence of carotid plaque reduced the associated coronary risk defined by risk charts by about 80% and 61%, respectively, in the BioImage study [113].
Another possibility is to replace chronological age by arterial age, in which the amount of the total carotid plaque area defines a sex-specific arterial age that can be used in the risk equation [112].
In clinical cardiology, carotid plaque imaging was described as an additional measure of risk in 580 patients undergoing stress testing for suspected coronary artery disease, with independent and incremental prognostic power with the addition of carotid plaque burden to the results of exercise echocardiography [114]. Further, the presence of obstructive coronary disease may be better predicted with carotid plaque than with carotid IMT [115, 116] or with exercise testing [117]. Therefore, even in the work up of patients with suspected coronary artery disease, the knowledge of the carotid plaque burden may improve prediction of risk and presence of obstructive coronary artery disease.
A stratified analysis of cardiovascular outcome and baseline coronary artery calcium scores in 13,644 patients assessed between 2002 and 2009 showed that, after a follow-up period of 9.4 years, use of a statin therapy was associated with a reduction in major cardiovascular events only in those with baseline coronary artery calcium score >0 and the benefits from statin therapy correlated with the severity of the score at baseline [118].
According to Nicolaides, the absence of carotid plaques in low-risk patients confirms the low risk, but about 40% have carotid plaques and should be treated as having intermediate or high risk [119]. In subjects at intermediate risk without carotid plaque, a search for femoral plaques in the bifurcation is the next preferred step, because of the good correlation between femoral plaque with calcium scores [70, 83, 119]. However, it has to be acknowledged that the coronary calcium score maintains an excellent discriminatory power to detect subjects at increased risk for ischaemic heart disease [53]. As emphasised by Ahmadi in an accompanying editorial, such powerful, yet simple, imaging biomarkers should not be ignored in the era of more individualised care [120].
In high-risk patients (based on traditional risk factors), monitoring plaque progression or attenuation may be helpful in atherosclerosis management [119]. In general, sequential testing using carotid ultrasound first may be preferable in clinical practice [110]. This approach was also proposed by Ference et al., who found that progression on regular follow-up with noninvasive imaging of atherosclerosis should modify the intensity of current preventive therapies [121]. The incremental clinical and prognostic information from contrast-enhanced carotid ultrasound using microbubbles remains to be determined [36].
The number of years in full health increase substantially only if all major and conditional cardiovascular risk factors are under control. The allocation of more resources to intensified primary prevention is likely to avoid an expansion of disease and healthcare costs in an increasingly aged population, if implemented early in life.
The identification of subjects at increased risk for cardiovascular events using traditional risk factors is established in clinical practice. However, about 40% of low-risk subjects are classified as having low risk, despite the presence of prognostically relevant atherosclerosis, and we have shown recently that the addition of plaque information to medical risk assessment is highly cost effective.
Carotid artery intimal thickening is a consequence of atherosclerosis and an approximation of it is used as to detect subjects with a high probability of future cardiovascular events. This information has predictive power beyond traditional risk factors if global plaque burden (area or volume) is assessed as opposed to sampling small regions in the carotid arteries (e.g., intima-media thickness). Whether traditional risk factors should remain the preferred method for cardiovascular risk assessment in subjects who are not at high risk remains to be determined.
In subjects with low or intermediate cardiovascular risk, the search for atherosclerosis may be appropriate and ultrasound of the carotid or the femoral arteries could be the primary method applied (depending on local expertise). Coronary calcium scoring remains a well-established method to accurately measure coronary and, to a lesser extent, cardiovascular risk and may be indicated in selected cases where ultrasound does not yield conclusive results.
Assessment of carotid total plaque presence, progression, stability and regression over time may be a valuable clinical tool for optimising the intensity of preventive therapies, and may improve adherence to a healthier lifestyle and preventive medication.
No financial support and no other potential conflict of interest relevant to this article was reported.
1 Yusuf S , Hawken S , Ôunpuu S , Dans T , Avezum A , Lanas F , et al.; INTERHEART Study Investigators. Effect of potentially modifiable risk factors associated with myocardial infarction in 52 countries (the INTERHEART study): case-control study. Lancet. 2004;364(9438):937–52. doi:.https://doi.org/10.1016/S0140-6736(04)17018-9
2 Wieser S , Riguzzi M , Pletscher M , Huber CA , Telser H , Schwenkglenks M . How much does the treatment of each major disease cost? A decomposition of Swiss National Health Accounts. Eur J Health Econ. 2018;19(8):1149–61. doi:.https://doi.org/10.1007/s10198-018-0963-5
3 Allen NB , Zhao L , Liu L , Daviglus M , Liu K , Fries J , et al. Favorable Cardiovascular Health, Compression of Morbidity, and Healthcare Costs: Forty-Year Follow-Up of the CHA Study (Chicago Heart Association Detection Project in Industry). Circulation. 2017;135(18):1693–701. doi:.https://doi.org/10.1161/CIRCULATIONAHA.116.026252
4 Enserro DM , Vasan RS , Xanthakis V . Twenty-Year Trends in the American Heart Association Cardiovascular Health Score and Impact on Subclinical and Clinical Cardiovascular Disease: The Framingham Offspring Study. J Am Heart Assoc. 2018;7(11):e008741. doi:.https://doi.org/10.1161/JAHA.118.008741
5 Selby K , Nanchen D , Auer R , Gencer B , Räber L , Klingenberg R , et al. Low statin use in adults hospitalized with acute coronary syndrome. Prev Med. 2015;77:131–6. doi:.https://doi.org/10.1016/j.ypmed.2015.05.012
6 Mortensen MB , Falk E . Real-life evaluation of European and American high-risk strategies for primary prevention of cardiovascular disease in patients with first myocardial infarction. BMJ Open. 2014;4(10):e005991. doi:.https://doi.org/10.1136/bmjopen-2014-005991
7 Assmann G , Schulte H , Cullen P , Seedorf U . Assessing risk of myocardial infarction and stroke: new data from the Prospective Cardiovascular Münster (PROCAM) study. Eur J Clin Invest. 2007;37(12):925–32. doi:.https://doi.org/10.1111/j.1365-2362.2007.01888.x
8 Conroy RM , Pyörälä K , Fitzgerald AP , Sans S , Menotti A , De Backer G , et al.; SCORE project group. Estimation of ten-year risk of fatal cardiovascular disease in Europe: the SCORE project. Eur Heart J. 2003;24(11):987–1003. doi:.https://doi.org/10.1016/S0195-668X(03)00114-3
9 Romanens M , Mortensen MB , Sudano I , Szucs T , Adams A . Extensive carotid atherosclerosis and the diagnostic accuracy of coronary risk calculators. Prev Med Rep. 2017;6:182–6. doi:.https://doi.org/10.1016/j.pmedr.2017.03.006
10 Romanens M , Szucs T , Sudano I , Adams A . Agreement of PROCAM and SCORE to assess cardiovascular risk in two different low risk European populations. Prev Med Rep. 2019;13:113–7. doi:.https://doi.org/10.1016/j.pmedr.2018.11.019
11 Matsuo H , Taniguchi N , Ozaki T , Kaneda S , Ennda E , Nagatsuka K , et al. Standard method for ultrasound evaluation of carotid artery lesions Terminology and Diagnostic Criteria Committee, Japan Society of Ultrasonics in Medicine. J Med Ultrason. 2009;36:501–18.
12 Szabo TL , Lewin PA . Ultrasound transducer selection in clinical imaging practice. J Ultrasound Med. 2013;32(4):573–82. doi:.https://doi.org/10.7863/jum.2013.32.4.573
13 Moran CM , Pye SD , Ellis W , Janeczko A , Morris KD , McNeilly AS , et al. A comparison of the imaging performance of high resolution ultrasound scanners for preclinical imaging. Ultrasound Med Biol. 2011;37(3):493–501. doi:.https://doi.org/10.1016/j.ultrasmedbio.2010.11.010
14 David Spence J . The importance of distinguishing between diffuse carotid intima-media thickening and focal plaque. Can J Cardiol. 2008;24:61C–4C. doi:.https://doi.org/10.1016/S0828-282X(08)71041-9
15 Touboul PJ , Hennerici MG , Meairs S , Adams H , Amarenco P , Bornstein N , et al. Mannheim carotid intima-media thickness and plaque consensus (2004-2006-2011). Cerebrovasc Dis. 2012;34(4):290–6. doi:.https://doi.org/10.1159/000343145
16 Den Ruijter HM , Peters SA , Anderson TJ , Britton AR , Dekker JM , Eijkemans MJ , et al. Common carotid intima-media thickness measurements in cardiovascular risk prediction: a meta-analysis. JAMA. 2012;308(8):796–803. doi:.https://doi.org/10.1001/jama.2012.9630
17 Bauer M , Caviezel S , Teynor A , Erbel R , Mahabadi AA , Schmidt-Trucksäss A . Carotid intima-media thickness as a biomarker of subclinical atherosclerosis. Swiss Med Wkly. 2012;142:w13705. doi:.https://doi.org/10.4414/smw.2012.13705
18 Kalashyan H , Shuaib A , Gibson PH , Romanchuk H , Saqqur M , Khan K , et al. Single sweep three-dimensional carotid ultrasound: reproducibility in plaque and artery volume measurements. Atherosclerosis. 2014;232(2):397–402. doi:.https://doi.org/10.1016/j.atherosclerosis.2013.11.079
19 Pollex RL , Spence JD , House AA , Fenster A , Hanley AJG , Zinman B , et al. A comparison of ultrasound measurements to assess carotid atherosclerosis development in subjects with and without type 2 diabetes. Cardiovasc Ultrasound. 2005;3(1):15. doi:.https://doi.org/10.1186/1476-7120-3-15
20 Naqvi TZ , Lee MS . Carotid intima-media thickness and plaque in cardiovascular risk assessment. JACC Cardiovasc Imaging. 2014;7(10):1025–38. doi:.https://doi.org/10.1016/j.jcmg.2013.11.014
21 Simon A , Megnien JL , Chironi G . The value of carotid intima-media thickness for predicting cardiovascular risk. Arterioscler Thromb Vasc Biol. 2010;30(2):182–5. doi:.https://doi.org/10.1161/ATVBAHA.109.196980
22 Spence JD , Eliasziw M , DiCicco M , Hackam DG , Galil R , Lohmann T . Carotid plaque area: a tool for targeting and evaluating vascular preventive therapy. Stroke. 2002;33(12):2916–22. doi:.https://doi.org/10.1161/01.STR.0000042207.16156.B9
23Riordan MO, Lie D. Adherence to Mediterranean diet reduces risk of major chronic diseases. Medscape [Internet]. 2008. Available at: https://www.medscape.org/viewarticle/580506
24 Spence JD . Polypill: for Pollyanna. Int J Stroke. 2008;3(2):92–7. doi:.https://doi.org/10.1111/j.1747-4949.2008.00169.x
25 Barnett PA , Spence JD , Manuck SB , Jennings JR . Psychological stress and the progression of carotid artery disease. J Hypertens. 1997;15(1):49–55. doi:.https://doi.org/10.1097/00004872-199715010-00004
26 Handa N , Matsumoto M , Maeda H , Hougaku H , Ogawa S , Fukunaga R , et al. Ultrasonic evaluation of early carotid atherosclerosis. Stroke. 1990;21(11):1567–72. doi:.https://doi.org/10.1161/01.STR.21.11.1567
27 Polak JF , O’Leary DH , Kronmal RA , Wolfson SK , Bond MG , Tracy RP , et al. Sonographic evaluation of carotid artery atherosclerosis in the elderly: relationship of disease severity to stroke and transient ischemic attack. Radiology. 1993;188(2):363–70. doi:.https://doi.org/10.1148/radiology.188.2.8327679
28 Spence JD , Eliasziw M , DiCicco M , Hackam DG , Galil R , Lohmann T . Carotid plaque area: a tool for targeting and evaluating vascular preventive therapy. Stroke. 2002;33(12):2916–22. doi:.https://doi.org/10.1161/01.STR.0000042207.16156.B9
29 Prabhakaran S , Singh R , Zhou X , Ramas R , Sacco RL , Rundek T . Presence of calcified carotid plaque predicts vascular events: the Northern Manhattan Study. Atherosclerosis. 2007;195(1):e197–201. doi:.https://doi.org/10.1016/j.atherosclerosis.2007.03.044
30 Nambi V , Chambless L , Folsom AR , He M , Hu Y , Mosley T , et al. Carotid intima-media thickness and presence or absence of plaque improves prediction of coronary heart disease risk: the ARIC (Atherosclerosis Risk In Communities) study. J Am Coll Cardiol. 2010;55(15):1600–7. doi:.https://doi.org/10.1016/j.jacc.2009.11.075
31 Peters SAE , Dogan S , Meijer R , Palmer MK , Grobbee DE , Crouse JR, 3rd , et al. The use of plaque score measurements to assess changes in atherosclerotic plaque burden induced by lipid-lowering therapy over time: the METEOR study. J Atheroscler Thromb. 2011;18(9):784–95. doi:.https://doi.org/10.5551/jat.8169
32 Plichart M , Celermajer DS , Zureik M , Helmer C , Jouven X , Ritchie K , et al. Carotid intima-media thickness in plaque-free site, carotid plaques and coronary heart disease risk prediction in older adults. The Three-City Study. Atherosclerosis. 2011;219(2):917–24. doi:.https://doi.org/10.1016/j.atherosclerosis.2011.09.024
33 Rundek T , Arif H , Boden-Albala B , Elkind MS , Paik MC , Sacco RL . Carotid plaque, a subclinical precursor of vascular events: the Northern Manhattan Study. Neurology. 2008;70(14):1200–7. doi:.https://doi.org/10.1212/01.wnl.0000303969.63165.34
34 Baber U , Mehran R , Sartori S , Schoos MM , Sillesen H , Muntendam P , et al. Prevalence, impact, and predictive value of detecting subclinical coronary and carotid atherosclerosis in asymptomatic adults: the BioImage study. J Am Coll Cardiol. 2015;65(11):1065–74. doi:.https://doi.org/10.1016/j.jacc.2015.01.017
35 Johnsen SH , Mathiesen EB , Joakimsen O , Stensland E , Wilsgaard T , Løchen M-LL , et al. Carotid atherosclerosis is a stronger predictor of myocardial infarction in women than in men: a 6-year follow-up study of 6226 persons: the Tromsø Study. Stroke. 2007;38(11):2873–80. doi:.https://doi.org/10.1161/STROKEAHA.107.487264
36 Kaspar M , Partovi S , Aschwanden M , Imfeld S , Baldi T , Uthoff H , et al. Assessment of microcirculation by contrast-enhanced ultrasound: a new approach in vascular medicine. Swiss Med Wkly. 2015;145:w14047. doi:.https://doi.org/10.4414/smw.2015.14047
37 Coli S , Magnoni M , Sangiorgi G , Marrocco-Trischitta MM , Melisurgo G , Mauriello A , et al. Contrast-enhanced ultrasound imaging of intraplaque neovascularization in carotid arteries: correlation with histology and plaque echogenicity. J Am Coll Cardiol. 2008;52(3):223–30. doi:.https://doi.org/10.1016/j.jacc.2008.02.082
38 Belcaro G , Nicolaides AN , Ramaswami G , Cesarone MR , De Sanctis M , Incandela L , et al. Carotid and femoral ultrasound morphology screening and cardiovascular events in low risk subjects: a 10-year follow-up study (the CAFES-CAVE study(1)). Atherosclerosis. 2001;156(2):379–87. doi:.https://doi.org/10.1016/S0021-9150(00)00665-1
39 van der Meer IM , Bots ML , Hofman A , Iglesias del Sol A , van der Kuip DAM , Witteman JCM . Predictive value of noninvasive measures of atherosclerosis for incident myocardial infarction: the Rotterdam Study. Circulation. 2004;109(9):1089–94. doi:.https://doi.org/10.1161/01.CIR.0000120708.59903.1B
40 Rosvall M , Janzon L , Berglund G , Engström G , Hedblad B . Incident coronary events and case fatality in relation to common carotid intima-media thickness. J Intern Med. 2005;257(5):430–7. doi:.https://doi.org/10.1111/j.1365-2796.2005.01485.x
41 Rosvall M , Janzon L , Berglund G , Engström G , Hedblad B . Incidence of stroke is related to carotid IMT even in the absence of plaque. Atherosclerosis. 2005;179(2):325–31. doi:.https://doi.org/10.1016/j.atherosclerosis.2004.10.015
42 Chambless LE , Heiss G , Folsom AR , Rosamond W , Szklo M , Sharrett AR , et al. Association of coronary heart disease incidence with carotid arterial wall thickness and major risk factors: the Atherosclerosis Risk in Communities (ARIC) Study, 1987-1993. Am J Epidemiol. 1997;146(6):483–94. doi:.https://doi.org/10.1093/oxfordjournals.aje.a009302
43 Chambless LE , Heiss G , Shahar E , Earp MJ , Toole J . Prediction of ischemic stroke risk in the Atherosclerosis Risk in Communities Study. Am J Epidemiol. 2004;160(3):259–69. doi:.https://doi.org/10.1093/aje/kwh189
44 Hald EM , Lijfering WM , Mathiesen EB , Johnsen SH , Løchen ML , Njølstad I , et al. Carotid atherosclerosis predicts future myocardial infarction but not venous thromboembolism: the Tromso study. Arterioscler Thromb Vasc Biol. 2014;34(1):226–30. doi:.https://doi.org/10.1161/ATVBAHA.113.302162
45 Mathiesen EB , Johnsen SH , Wilsgaard T , Bønaa KH , Løchen M-L , Njølstad I . Carotid plaque area and intima-media thickness in prediction of first-ever ischemic stroke: a 10-year follow-up of 6584 men and women: the Tromsø Study. Stroke. 2011;42(4):972–8. doi:.https://doi.org/10.1161/STROKEAHA.110.589754
46 Folsom AR , Kronmal RA , Detrano RC , O’Leary DH , Bild DE , Bluemke DA , et al. Coronary artery calcification compared with carotid intima-media thickness in the prediction of cardiovascular disease incidence: the Multi-Ethnic Study of Atherosclerosis (MESA). Arch Intern Med. 2008;168(12):1333–9. doi:.https://doi.org/10.1001/archinte.168.12.1333
47 Gepner AD , Young R , Delaney JA , Budoff MJ , Polak JF , Blaha MJ , et al. Comparison of Carotid Plaque Score and Coronary Artery Calcium Score for Predicting Cardiovascular Disease Events: The Multi-Ethnic Study of Atherosclerosis. J Am Heart Assoc. 2017;6(2):e005179. doi:.https://doi.org/10.1161/JAHA.116.005179
48 Raggi P , Shaw LJ , Berman DS , Callister TQ . Prognostic value of coronary artery calcium screening in subjects with and without diabetes. J Am Coll Cardiol. 2004;43(9):1663–9. doi:.https://doi.org/10.1016/j.jacc.2003.09.068
49 Detrano R , Guerci AD , Carr JJ , Bild DE , Burke G , Folsom AR , et al. Coronary calcium as a predictor of coronary events in four racial or ethnic groups. N Engl J Med. 2008;358(13):1336–45. doi:.https://doi.org/10.1056/NEJMoa072100
50 Arad Y , Goodman KJ , Roth M , Newstein D , Guerci AD . Coronary calcification, coronary disease risk factors, C-reactive protein, and atherosclerotic cardiovascular disease events: the St. Francis Heart Study. J Am Coll Cardiol. 2005;46(1):158–65. doi:.https://doi.org/10.1016/j.jacc.2005.02.088
51 Erbel R , Möhlenkamp S , Moebus S , Schmermund A , Lehmann N , Stang A , et al.; Heinz Nixdorf Recall Study Investigative Group. Coronary risk stratification, discrimination, and reclassification improvement based on quantification of subclinical coronary atherosclerosis: the Heinz Nixdorf Recall study. J Am Coll Cardiol. 2010;56(17):1397–406. doi:.https://doi.org/10.1016/j.jacc.2010.06.030
52 McClelland RL , Jorgensen NW , Budoff M , Blaha MJ , Post WS , Kronmal RA , et al. 10-Year Coronary Heart Disease Risk Prediction Using Coronary Artery Calcium and Traditional Risk Factors: Derivation in the MESA (Multi-Ethnic Study of Atherosclerosis) With Validation in the HNR (Heinz Nixdorf Recall) Study and the DHS (Dallas Heart Study). J Am Coll Cardiol. 2015;66(15):1643–53. doi:.https://doi.org/10.1016/j.jacc.2015.08.035
53 Budoff MJ , Young R , Burke G , Jeffrey Carr J , Detrano RC , Folsom AR , et al. Ten-year association of coronary artery calcium with atherosclerotic cardiovascular disease (ASCVD) events: the multi-ethnic study of atherosclerosis (MESA). Eur Heart J. 2018;39(25):2401–8. doi:.https://doi.org/10.1093/eurheartj/ehy217
54 Inaba Y , Chen JA , Bergmann SR . Carotid plaque, compared with carotid intima-media thickness, more accurately predicts coronary artery disease events: a meta-analysis. Atherosclerosis. 2012;220(1):128–33. doi:.https://doi.org/10.1016/j.atherosclerosis.2011.06.044
55 Salonen JT , Salonen R . Ultrasonographically assessed carotid morphology and the risk of coronary heart disease. Arterioscler Thromb. 1991;11(5):1245–9. doi:.https://doi.org/10.1161/01.ATV.11.5.1245
56 Handa N , Matsumoto M , Maeda H , Hougaku H , Kamada T . Ischemic stroke events and carotid atherosclerosis. Results of the Osaka Follow-up Study for Ultrasonographic Assessment of Carotid Atherosclerosis (the OSACA Study). Stroke. 1995;26(10):1781–6. doi:.https://doi.org/10.1161/01.STR.26.10.1781
57 Belcaro G , Nicolaides AN , Laurora G , Cesarone MR , De Sanctis M , Incandela L , et al. Ultrasound morphology classification of the arterial wall and cardiovascular events in a 6-year follow-up study. Arterioscler Thromb Vasc Biol. 1996;16(7):851–6. doi:.https://doi.org/10.1161/01.ATV.16.7.851
58 Romanens M , Ackermann F , Spence JD , Darioli R , Rodondi N , Corti R , et al. Improvement of cardiovascular risk prediction: time to review current knowledge, debates, and fundamentals on how to assess test characteristics. Eur J Cardiovasc Prev Rehabil. 2010;17(1):18–23. doi:.https://doi.org/10.1097/HJR.0b013e3283347059
59 Romanens M , Ackermann F , Schwenkglenks M , Szucs T , Spence JD . Posterior probabilities in sequential testing improve clinical cardiovascular risk prediction using carotid total plaque area and c-statistics. Cardiovasc Med. 2011;14(02):53–7. doi:.https://doi.org/10.4414/cvm.2011.01565
60 Hollander M , Hak AE , Koudstaal PJ , Bots ML , Grobbee DE , Hofman A , et al. Comparison between measures of atherosclerosis and risk of stroke: the Rotterdam Study. Stroke. 2003;34(10):2367–72. doi:.https://doi.org/10.1161/01.STR.0000091393.32060.0E
61 Xie W , Liang L , Zhao L , Shi P , Yang Y , Xie G , et al. Combination of carotid intima-media thickness and plaque for better predicting risk of ischaemic cardiovascular events. Heart. 2011;97(16):1326–31. doi:.https://doi.org/10.1136/hrt.2011.223032
62 Lorenz MW , Schaefer C , Steinmetz H , Sitzer M . Is carotid intima media thickness useful for individual prediction of cardiovascular risk? Ten-year results from the Carotid Atherosclerosis Progression Study (CAPS). Eur Heart J. 2010;31(16):2041–8. doi:.https://doi.org/10.1093/eurheartj/ehq189
63 Mathiesen EB , Johnsen SH , Wilsgaard T , Bønaa KH , Løchen ML , Njølstad I . Carotid plaque area and intima-media thickness in prediction of first-ever ischemic stroke: a 10-year follow-up of 6584 men and women: the Tromsø Study. Stroke. 2011;42(4):972–8. doi:.https://doi.org/10.1161/STROKEAHA.110.589754
64 Polak JF , Pencina MJ , Pencina KM , O’Donnell CJ , Wolf PA , D’Agostino RB, Sr . Carotid-wall intima-media thickness and cardiovascular events. N Engl J Med. 2011;365(3):213–21. doi:.https://doi.org/10.1056/NEJMoa1012592
65 Gepner AD , Young R , Delaney JA , Tattersall MC , Blaha MJ , Post WS , et al. Comparison of coronary artery calcium presence, carotid plaque presence, and carotid intima-media thickness for cardiovascular disease prediction in the Multi-Ethnic Study of Atherosclerosis. Circ Cardiovasc Imaging. 2015;8(1):1–8. doi:.https://doi.org/10.1161/CIRCIMAGING.114.002262
66 Costanzo P , Perrone-Filardi P , Vassallo E , Paolillo S , Cesarano P , Brevetti G , et al. Does carotid intima-media thickness regression predict reduction of cardiovascular events? A meta-analysis of 41 randomized trials. J Am Coll Cardiol. 2010;56(24):2006–20. doi:.https://doi.org/10.1016/j.jacc.2010.05.059
67 Goldberger ZD , Valle JA , Dandekar VK , Chan PS , Ko DT , Nallamothu BK . Are changes in carotid intima-media thickness related to risk of nonfatal myocardial infarction? A critical review and meta-regression analysis. Am Heart J. 2010;160(4):701–14. doi:.https://doi.org/10.1016/j.ahj.2010.06.029
68 Baldassarre D , Hamsten A , Veglia F , de Faire U , Humphries SE , Smit AJ , et al.; IMPROVE Study Group. Measurements of carotid intima-media thickness and of interadventitia common carotid diameter improve prediction of cardiovascular events: results of the IMPROVE (Carotid Intima Media Thickness [IMT] and IMT-Progression as Predictors of Vascular Events in a High Risk European Population) study. J Am Coll Cardiol. 2012;60(16):1489–99. doi:.https://doi.org/10.1016/j.jacc.2012.06.034
69 Finn AV , Kolodgie FD , Virmani R . Correlation between carotid intimal/medial thickness and atherosclerosis: a point of view from pathology. Arterioscler Thromb Vasc Biol. 2010;30(2):177–81. doi:.https://doi.org/10.1161/ATVBAHA.108.173609
70 Laclaustra M , Casasnovas JA , Fernández-Ortiz A , Fuster V , León-Latre M , Jiménez-Borreguero LJ , et al. Femoral and Carotid Subclinical Atherosclerosis Association With Risk Factors and Coronary Calcium: The AWHS Study. J Am Coll Cardiol. 2016;67(11):1263–74. doi:.https://doi.org/10.1016/j.jacc.2015.12.056
71 Spence JD , Hackam DG . Treating arteries instead of risk factors: a paradigm change in management of atherosclerosis. Stroke. 2010;41(6):1193–9. doi:.https://doi.org/10.1161/STROKEAHA.110.577973
72 Greenland P , Alpert JS , Beller GA , Benjamin EJ , Budoff MJ , Fayad ZA , et al.; American College of Cardiology Foundation; American Heart Association. 2010 ACCF/AHA guideline for assessment of cardiovascular risk in asymptomatic adults: a report of the American College of Cardiology Foundation/American Heart Association Task Force on Practice Guidelines. J Am Coll Cardiol. 2010;56(25):e50–103. doi:.https://doi.org/10.1016/j.jacc.2010.09.001
73 Goff DC, Jr , Lloyd-Jones DM , Bennett G , Coady S , D’Agostino RB , Gibbons R , et al.; American College of Cardiology/American Heart Association Task Force on Practice Guidelines. 2013 ACC/AHA guideline on the assessment of cardiovascular risk: a report of the American College of Cardiology/American Heart Association Task Force on Practice Guidelines. Circulation. 2014;129(25, Suppl 2):S49–73. doi:.https://doi.org/10.1161/01.cir.0000437741.48606.98
74 Piepoli MF , Hoes AW , Agewall S , Albus C , Brotons C , Catapano AL , et al.; ESC Scientific Document Group. 2016 European Guidelines on cardiovascular disease prevention in clinical practice. Eur Heart J. 2016;37(29):2315–81. doi:.https://doi.org/10.1093/eurheartj/ehw106
75 D’Agostino RB, Sr , Vasan RS , Pencina MJ , Wolf PA , Cobain M , Massaro JM , et al. General cardiovascular risk profile for use in primary care: the Framingham Heart Study. Circulation. 2008;117(6):743–53. doi:.https://doi.org/10.1161/CIRCULATIONAHA.107.699579
76 Wilkins JT , Ning H , Berry J , Zhao L , Dyer AR , Lloyd-Jones DM . Lifetime risk and years lived free of total cardiovascular disease. JAMA. 2012;308(17):1795–801. doi:.https://doi.org/10.1001/jama.2012.14312
77 Ridker PM . High-sensitivity C-reactive protein: potential adjunct for global risk assessment in the primary prevention of cardiovascular disease. Circulation. 2001;103(13):1813–8. doi:.https://doi.org/10.1161/01.CIR.103.13.1813
78 Pencina MJ , D’Agostino RB, Sr , Larson MG , Massaro JM , Vasan RS . Predicting the 30-year risk of cardiovascular disease: the framingham heart study. Circulation. 2009;119(24):3078–84. doi:.https://doi.org/10.1161/CIRCULATIONAHA.108.816694
79 Peters SA , den Ruijter HM , Bots ML , Moons KG . Improvements in risk stratification for the occurrence of cardiovascular disease by imaging subclinical atherosclerosis: a systematic review. Heart. 2012;98(3):177–84. doi:.https://doi.org/10.1136/heartjnl-2011-300747
80 Humphreys BR , McLeod L , Ruseski JE . Physical activity and health outcomes: evidence from Canada. Health Econ. 2014;23(1):33–54. doi:.https://doi.org/10.1002/hec.2900
81 Kokkinos PF , Faselis C , Myers J , Panagiotakos D , Doumas M . Interactive effects of fitness and statin treatment on mortality risk in veterans with dyslipidaemia: a cohort study. Lancet. 2013;381(9864):394–9. doi:.https://doi.org/10.1016/S0140-6736(12)61426-3
82 Pennells L , Kaptoge S , Wood A , Sweeting M , Zhao X , White I , et al.; Emerging Risk Factors Collaboration. Equalization of four cardiovascular risk algorithms after systematic recalibration: individual-participant meta-analysis of 86 prospective studies. Eur Heart J. 2019;40(7):621–31. doi:.https://doi.org/10.1093/eurheartj/ehy653
83 Fernández-Friera L , Peñalvo JL , Fernández-Ortiz A , Ibañez B , López-Melgar B , Laclaustra M , et al. Prevalence, Vascular Distribution, and Multiterritorial Extent of Subclinical Atherosclerosis in a Middle-Aged Cohort: The PESA (Progression of Early Subclinical Atherosclerosis) Study. Circulation. 2015;131(24):2104–13. doi:.https://doi.org/10.1161/CIRCULATIONAHA.114.014310
84 López-Melgar B , Fernández-Friera L , Oliva B , García-Ruiz JM , Peñalvo JL , Gómez-Talavera S , et al. Subclinical Atherosclerosis Burden by 3D Ultrasound in Mid-Life: The PESA Study. J Am Coll Cardiol. 2017;70(3):301–13. doi:.https://doi.org/10.1016/j.jacc.2017.05.033
85 Gohlke H , Winter M , Karoff M , Held K . CARRISMA: a new tool to improve risk stratification and guidance of patients in cardiovascular risk management in primary prevention. Eur J Cardiovasc Prev Rehabil. 2007;14(1):141–8. doi:.https://doi.org/10.1097/01.hjr.0000244581.30421.69
86 Aidin Rawshani MD , Araz Rawshani MD , Stefan Franzén PD , Naveed Sattar MD , Björn Eliasson MD , Svensson A-M , et al. McGuire, M.D. MHS, Annika Rosengren, M.D. PD, Soffia Gudbjörnsdottir, M.D. P. Risk factors and cardiovascular outcomes in patients with type 2 diabetes mellitus. Diabetologe (Heidelb). 2018;14:499–500.
87 Jaussi A , Noll G , Meier B , Darioli R . Current cardiovascular risk management patterns with special focus on lipid lowering in daily practice in Switzerland. Eur J Cardiovasc Prev Rehabil. 2010;17(3):363–72. doi:.https://doi.org/10.1097/HJR.0b013e328333c1d9
88 Rodondi N , Collet T-H , Nanchen D , Locatelli I , Depairon M , Aujesky D , et al. Impact of carotid plaque screening on smoking cessation and other cardiovascular risk factors: a randomized controlled trial. Arch Intern Med. 2012;172(4):344–52. doi:.https://doi.org/10.1001/archinternmed.2011.1326
89 Bize R , Burnand B , Mueller Y , Rège-Walther M , Camain J-Y , Cornuz J . Biomedical risk assessment as an aid for smoking cessation. Cochrane Database Syst Rev. 2012;12:CD004705. doi:.https://doi.org/10.1002/14651858.CD004705.pub4
90 Li SX , Ye Z , Whelan K , Truby H . The effect of communicating the genetic risk of cardiometabolic disorders on motivation and actual engagement in preventative lifestyle modification and clinical outcome: a systematic review and meta-analysis of randomised controlled trials. Br J Nutr. 2016;116(5):924–34. doi:.https://doi.org/10.1017/S0007114516002488
91 Jeong I-K , Kim S-G , Cho DH , Kim CHCS , Kim CS , Lee W-Y , et al. Impact of carotid atherosclerosis detection on physician and patient behavior in the management of type 2 diabetes mellitus: a prospective, observational, multicenter study. BMC Cardiovasc Disord. 2016;16(1):220. doi:.https://doi.org/10.1186/s12872-016-0401-5
92 Näslund U , Ng N , Lundgren A , Fhärm E , Grönlund C , Johansson H , et al.; VIPVIZA trial group. Visualization of asymptomatic atherosclerotic disease for optimum cardiovascular prevention (VIPVIZA): a pragmatic, open-label, randomised controlled trial. Lancet. 2019;393(10167):133–42. doi:.https://doi.org/10.1016/S0140-6736(18)32818-6
93 Rollefstad S , Ikdahl E , Hisdal J , Olsen IC , Holme I , Hammer HB , et al. Rosuvastatin-Induced Carotid Plaque Regression in Patients With Inflammatory Joint Diseases: The Rosuvastatin in Rheumatoid Arthritis, Ankylosing Spondylitis and Other Inflammatory Joint Diseases Study. Arthritis Rheumatol. 2015;67(7):1718–28. doi:.https://doi.org/10.1002/art.39114
94 Kalanuria AA , Nyquist P , Ling G . The prevention and regression of atherosclerotic plaques: emerging treatments. Vasc Health Risk Manag. 2012;8:549–61.
95 Migrino RQ , Bowers M , Harmann L , Prost R , LaDisa JF, Jr . Carotid plaque regression following 6-month statin therapy assessed by 3T cardiovascular magnetic resonance: comparison with ultrasound intima media thickness. J Cardiovasc Magn Reson. 2011;13(1):37. doi:.https://doi.org/10.1186/1532-429X-13-37
96 Bogiatzi C , Spence JD . Ezetimibe and regression of carotid atherosclerosis: importance of measuring plaque burden. Stroke. 2012;43(4):1153–5. doi:.https://doi.org/10.1161/STROKEAHA.111.640789
97 Dave T , Ezhilan J , Vasnawala H , Somani V . Plaque regression and plaque stabilisation in cardiovascular diseases. Indian J Endocrinol Metab. 2013;17(6):983–9. doi:.https://doi.org/10.4103/2230-8210.122604
98 Dohi T , Miyauchi K , Okazaki S , Yokoyama T , Yanagisawa N , Tamura H , et al. Plaque regression determined by intravascular ultrasound predicts long-term outcomes of patients with acute coronary syndrome. J Atheroscler Thromb. 2011;18(3):231–9. doi:.https://doi.org/10.5551/jat.6551
99 Herder M , Arntzen KA , Johnsen SH , Eggen AE , Mathiesen EB . Long-term use of lipid-lowering drugs slows progression of carotid atherosclerosis: the Tromso study 1994 to 2008. Arterioscler Thromb Vasc Biol. 2013;33(4):858–62. doi:.https://doi.org/10.1161/ATVBAHA.112.300767
100 Sturlaugsdottir R , Aspelund T , Bjornsdottir G , Sigurdsson S , Thorsson B , Eiriksdottir G , et al. Predictors of carotid plaque progression over a 4-year follow-up in the Reykjavik REFINE-study. Atherosclerosis. 2018;269:57–62. doi:.https://doi.org/10.1016/j.atherosclerosis.2017.12.005
101 Schmermund A , Achenbach S , Budde T , Buziashvili Y , Förster A , Friedrich G , et al. Effect of intensive versus standard lipid-lowering treatment with atorvastatin on the progression of calcified coronary atherosclerosis over 12 months: a multicenter, randomized, double-blind trial. Circulation. 2006;113(3):427–37. doi:.https://doi.org/10.1161/CIRCULATIONAHA.105.568147
102 Hecht HS . Coronary artery calcium scanning: past, present, and future. JACC Cardiovasc Imaging. 2015;8(5):579–96. doi:.https://doi.org/10.1016/j.jcmg.2015.02.006
103 Khera A , Greenland P . Coronary Artery Calcium: If Measuring Once Is Good, Is Twice Better? Circulation. 2018;137(7):680–3. doi:.https://doi.org/10.1161/CIRCULATIONAHA.117.031951
104 Thomas IC , Forbang NI , Criqui MH . The evolving view of coronary artery calcium and cardiovascular disease risk. Clin Cardiol. 2018;41(1):144–50. doi:.https://doi.org/10.1002/clc.22842
105 Andelius L , Mortensen MB , Nørgaard BL , Abdulla J . Impact of statin therapy on coronary plaque burden and composition assessed by coronary computed tomographic angiography: a systematic review and meta-analysis. Eur Heart J Cardiovasc Imaging. 2018;19(8):850–8. doi:.https://doi.org/10.1093/ehjci/jey012
106 Puri R , Nicholls SJ , Shao M , Kataoka Y , Uno K , Kapadia SR , et al. Impact of statins on serial coronary calcification during atheroma progression and regression. J Am Coll Cardiol. 2015;65(13):1273–82. doi:.https://doi.org/10.1016/j.jacc.2015.01.036
107 Banach M , Serban C , Sahebkar A , Mikhailidis DP , Ursoniu S , Ray KK , et al.; Lipid and Blood Pressure Meta-analysis Collaboration (LBPMC) Group. Impact of statin therapy on coronary plaque composition: a systematic review and meta-analysis of virtual histology intravascular ultrasound studies. BMC Med. 2015;13(1):229–49. doi:.https://doi.org/10.1186/s12916-015-0459-4
108 Grundy SM , Stone NJ , Bailey AL , Beam C , Birtcher KK , Blumenthal RS , et al. 2018 AHA/ACC/AACVPR/AAPA/ABC/ACPM/ADA/AGS/APhA/ASPC/NLA/PCNA Guideline on the Management of Blood Cholesterol. J Am Coll Cardiol. 2019;73(24):3168–209. doi:.https://doi.org/10.1016/j.jacc.2018.11.002
109 Romanens M , Sudano I , Adams A , Warmuth W . Advanced carotid atherosclerosis in middle-aged subjects: comparison with PROCAM and SCORE risk categories, the potential for reclassification and cost-efficiency of carotid ultrasound in the setting of primary care. Swiss Med Wkly. 2019;149:w20006. doi:.https://doi.org/10.4414/smw.2019.20006
110 Romanens M , Ackermann F , Riesen W , Spence JD , Darioli R . Imaging as a cardiovascular risk modifier in primary care patients using predictor models of the European and international atherosclerosis societies. Cardiovasc Med. 2007;10:139–50. doi:
111Ackermann F, Romanens M. Bayes Posttest Risk Calculator [Internet]. 2009. Available from: http://scopri.ch/posttestcalculators1.html
112 Romanens M , Ackermann F , Sudano I , Szucs T , Spence JD . Arterial age as a substitute for chronological age in the AGLA risk function could improve coronary risk prediction. Swiss Med Wkly. 2014;144:w13967. doi:.https://doi.org/10.4414/smw.2014.13967
113 Mortensen MB , Fuster V , Muntendam P , Mehran R , Baber U , Sartori S , et al. Negative Risk Markers for Cardiovascular Events in the Elderly. J Am Coll Cardiol. 2019;74(1):1–11. doi:.https://doi.org/10.1016/j.jacc.2019.04.049
114 Ahmadvazir S , Shah BN , Zacharias K , Senior R . Incremental Prognostic Value of Stress Echocardiography With Carotid Ultrasound for Suspected CAD. JACC Cardiovasc Imaging. 2018;11(2 Pt 1):173–80. doi:.https://doi.org/10.1016/j.jcmg.2016.12.020
115 Adams A , Bojara W , Schunk K . Early Diagnosis and Treatment of Coronary Heart Disease in Asymptomatic Subjects With Advanced Vascular Atherosclerosis of the Carotid Artery (Type III and IV b Findings Using Ultrasound) and Risk Factors. Cardiol Res. 2018;9(1):22–7. doi:.https://doi.org/10.14740/cr667w
116 Adams A , Bojara W . Vorhersage einer stenosierenden KHK durch Bestimmung von Plaque-Fläche und -Dicke vs. IMT an der A. carotis [Prediction of coronary artery stenosis by measurement of total plaque area and thickness versus intima media thickness of the carotid artery]. Herz. 2015;40(5):817–22. doi:.https://doi.org/10.1007/s00059-015-4312-5
117 Adams A , Bojara W , Schunk K . Early Diagnosis and Treatment of Coronary Heart Disease in Symptomatic Subjects With Advanced Vascular Atherosclerosis of the Carotid Artery (Type III and IV b Findings Using Ultrasound). Cardiol Res. 2017;8(1):7–12. doi:.https://doi.org/10.14740/cr516w
118 Mitchell JD , Fergestrom N , Gage BF , Paisley R , Moon P , Novak E , et al. Impact of Statins on Cardiovascular Outcomes Following Coronary Artery Calcium Scoring. J Am Coll Cardiol. 2018;72(25):3233–42. doi:.https://doi.org/10.1016/j.jacc.2018.09.051
119 Nicolaides A , Panayiotou AG . Screening for Atherosclerotic Cardiovascular Risk Using Ultrasound. J Am Coll Cardiol. 2016;67(11):1275–7. doi:.https://doi.org/10.1016/j.jacc.2016.01.016
120 Ahmadi A , Leipsic J . Is it time to move from treating risk factors of the disease to treating the disease? Eur Heart J. 2018;39(25):2409–11. doi:.https://doi.org/10.1093/eurheartj/ehy343
121 Ference BA , Graham I , Tokgozoglu L , Catapano AL . Reprint of: Impact of Lipids on Cardiovascular Health: JACC Health Promotion Series. J Am Coll Cardiol. 2018;72(23 Pt B):2980–95. doi:.https://doi.org/10.1016/j.jacc.2018.10.021
No financial support and no other potential conflict of interest relevant to this article was reported.