DOI: https://doi.org/10.4414/smw.2019.20081
During recent decades, progress in innovative medical technology, such as radiological or genetic investigations, has helped to detect previously unnoticed asymptomatic diseases. Paediatricians are increasingly faced with children who have various types of pathology, including some with a genetic signature or a prenatal diagnosis, but without declared symptoms.
Currently, paediatric chronic lung diseases can arbitrarily be classified in two groups (fig. 1). However, this list is incomplete and does not consider all lung pathologies. For instance, diseases with multifactorial causes, such as asthma, are not included in this classification.

Figure 1 Schematic classification of paediatric chronic lung diseases. Italic text represents diseases where genetic mutations have been reported, sometimes only for a subgroup of these lung diseases.
The first group includes lung diseases secondary to other underlying illnesses, such as bronchiolitis obliterans (caused by previous postnatal viral infections), bronchopulmonary dysplasia (caused by prematurity and early neonatal insults), lung hypoplasia (as a consequence of congenital renal disease or diaphragmatic hernia) and interstitial lung diseases (secondary to glycogenosis or neuroendocrine cell hyperplasia of infancy). In this category, paediatricians treat the initial symptoms in order to reduce secondary pulmonary complications. For these patients, there is a lack of genetic or clinical markers that could help in adapting further management and follow-up.
The second group includes two different subgroups: first, congenital lung diseases that are primary pathologies diagnosed in symptomatic or asymptomatic children. A genetic cause is present in many of these diseases, such as cystic fibrosis, α1-antitrypsin deficiency, primary ciliary dyskinesia, several interstitial lung diseases, primary lung hypoplasia or primary pulmonary hypertension. If suspected, they can often be diagnosed through genetic analysis or other specific investigations during the first year of life. Their early identification enables paediatricians to be more proactive in adjusting clinical follow-up.
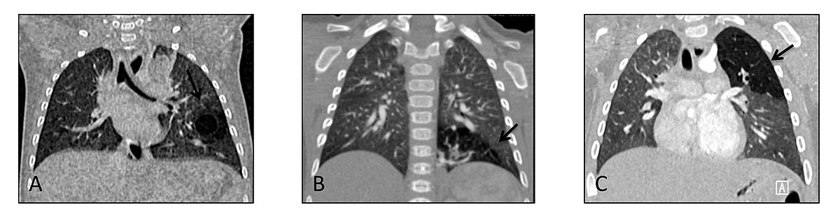
Finally, congenital anatomical lung anomalies are a continuum of lung malformations that depend on factors such as foregut, vascularisation, pulmonary parenchyma or airway components, and that are all related to abnormal embryological development (fig. 2) [1]. In the spectrum of these rare malformations, the most frequent are: congenital pulmonary airway malformations (CPAMs) (previously named congenital cystic adenomatoid malformations, CCAM) (fig. 3A); bronchopulmonary sequestrations (fig 3B); and congenital lobar or segmental hyperinflation (previously named emphysema) (fig 3C) [2]. As a result of ongoing improvements in ultrasound technology, these malformations are often diagnosed prenatally and 80% of them are asymptomatic at birth [3]. The CPAM classification described by Stocker includes five different types of focal lesion (0 to 4) [1], based on a macroscopic anatomical description of the lesion and a histological description of the cells with haematoxylin and eosin staining after surgical resection [4]. The CPAM types are differentiated by the size of the cystic lesion and cell types present in the cystic lesion (columnar, cuboidal or ciliated). However, this phenotype description is not of much help in patient management, except for detecting a possible diagnosis of malignant transformation. From a research perspective, the pathophysiological mechanisms leading to CPAM remain unclear. Dysregulation of several genes that modify cell proliferation and/or apoptosis has been suggested [5]. Interestingly, even if congenital lung diseases can often be linked to genetic mutations, congenital lung anomalies often lack a known genetic footprint [6, 7]. In the majority, Mendelian transmissions are not present and localised malformations are most likely related to defects in cellular interaction during lung formation [8].

Figure 2 Spectrum of paediatric congenital lung anomalies.
CPAM = congenital pulmonary airways malformation; AVM = arteriovenous malformation

Figure 3 Thoracic computed tomography (CT) scans of paediatric patients with congenital lung anomalies. Coronal cuts of thoracic CT scans performed between the ages of 4 and 6 months. Black arrows point at the lesion on each picture. A. Congenital pulmonary airway malformation. B. Bronchopulmonary sequestration. C. Congenital lobar segmental emphysema.
In Western Europe, the prevalence of congenital lung anomalies is estimated to be 0.81 to 1.32/10,000 live births (EUROCAT network 2010–2014). At birth, less than 20% [9, 10] of new-borns with congenital lung anomalies have symptoms, such as neonatal respiratory distress that could require surgical intervention. The acute surgical intervention usually consists of a pulmonary lobectomy, with removal of an expansive and non-functional lung section. The vast majority of new-borns do not present any respiratory symptoms [3]. In these cases, congenital lung anomalies can only be diagnosed by means of prenatal ultrasound screening. Undetected malformations may be responsible for respiratory and/or vascular complications, infections and, in rare cases, malignancy during later life [11]. In asymptomatic children, postnatal computed tomography (CT) scans can help to confirm persistent abnormalities that are often subtle or not apparent on plain radiographs. Until recently, the majority of multidisciplinary medical teams managing asymptomatic children with a confirmed diagnosis of congenital lung anomaly have proposed prophylactic surgical intervention. The main argument backing surgical treatment is a decreased risk of complications. In the literature, the risk of complications associated with conservative disease management varies from 20 to 60%, and they can occur any time between early infancy and adulthood [12, 13]. In particular, data speak in favour of prophylactic surgery in the first year of life, since the complications of this are considered to be less than those otherwise caused by the natural course of the lung malformation.
Lately, the prophylactic surgical approach has been challenged. Several major medical centres and surgeon associations have suggested a nonoperative follow-up, reserving surgery only for children who become symptomatic, developing complications, or have a known risk of additional malignancy, such as patients with the DICER1 mutation who have an increased risk of pleuropulmonary blastoma [12, 14–17]. Unfortunately, the modalities of clinical follow-up of patients with conservative treatment are not well defined. They vary from radiological examinations (chest X-ray and/or thoracic CT scan) only if clinical symptoms are present [15], with a risk of diagnostic delay in malignancies, to regular radiological follow-up (thoracic CT scan every 5 years, until at least 15 years of age) [17]. In the second option, patients would be exposed to frequent, maybe unnecessary, irradiation until adulthood. Interestingly, reported complications are not more frequent during the first years of life regardless of which clinical, nonoperative follow-up is chosen [17].
These still unanswered questions as to which is the best course of treatment to follow for congenital lung anomaly patients led to the creation of a Swiss national database and an associated biobank in 2016, with the aim of collecting surgically resected abnormal lung specimens. This project aims to promote collaboration between all the main paediatric pulmonology centres and to acquire a clearer overview of congenital lung anomalies in Switzerland.
In Switzerland, several patient databases already exist. The oldest one, focusing on cancer, was founded in 1970, and has contributed to numerous scientific publications [18] concerning adults as well as paediatric patients (https://www.childhoodcancerregistry.ch). Its main goal is to better understand malignant diseases, improve treatments and avoid or minimise late side effects.
Treatment of rare diseases is often based on a poor level of evidence because of the low prevalence of these pathologies. Collaborative networks improve medical knowledge, help to provide the best primary care while preserving patient safety, and lead to better documentation of outcomes [19]. The availability of a platform accessible to all researchers in a specific field and the promotion of data sharing are fundamental [20]. A Swiss rare disease genetic database already exists (SRDR) and collects data from adults and children only in order to better characterise the epidemiology of rare diseases in Switzerland. The goals of the Swiss congenital lung anomaly database are to enable a longitudinal follow-up of patients with direct improvement in their long-term management.
Few national congenital lung anomaly patient cohorts exist and they often have limited periods of observation [21]. In France, several studies on congenital lung anomalies have been performed using the French database created in 2008 (Respirare) and dedicated to rare pulmonary diseases. One of these studies accurately reported the various complications at birth and the need for delivery to occur in a tertiary care centre [3]. Another study performed on the French database showed how prenatal ultrasound analyses of congenital pulmonary malformations made it possible to predict lung compression and evolution of the malformation using the congenital lung volume ratio [22].
A study using an English congenital lung anomaly database analysed the follow-up of 119 patients managed either with prophylactic surgery or a conservative follow-up, between 1996 and 2009 [17]. Cook et al. suggested the possibility of avoiding surgery by frequent clinical and radiological follow-ups until the age of 16 years. However, this study did not take into account potential infectious risks and malignant transformation beyond childhood.
A national Japanese congenital lung anomaly database provided data on postnatal evolution with and without prophylactic surgery, including 428 patients diagnosed between 1992 and 2012 [23]. Kuroda et al. reported compensatory lung growth in patients with malformation resection before the age of 2 years, and normal vital capacity in subsequent lung function tests. Their results also suggested the need to follow up patients with an early lung resection, based on the 10–15% risk of postoperative complications (such as thoracic deformities or persistent lung cysts).
A large Chinese retrospective study on congenital lung anomalies highlighted frequently incorrectly diagnosed cases, and an increased risk of selection bias, such as asymptomatic patients not being included in the study [24].
Thus, only a limited number of congenital lung anomaly databases exist, and most of them are not shared, except for the published results. Moreover, data are not collected in a standardized way and are lacking in access for external users [25]. Information on the number of patients included in a register is rarely available and only a few websites, such as Clinicaltrial.gov, provide such details.
In Switzerland, approximately 35 new congenital lung anomaly cases are diagnosed each year and are predominantly treated in the larger hospitals. Surgical resection remains the preferred treatment in the majority of Swiss centres. However, the timing of surgery, and the clinical and radiological follow up are not standardised.
Swiss paediatric experts believed that a national multicentre database pooling all these patients could provide a comprehensive view of this small population, which would help to reach consensus among the Swiss centres, despite diverging clinical approaches and the number of medical specialities involved in the management of these patients. The opportunity to generate round table discussions and the sharing of perspectives should result in improved expertise, as previously described by Chung [26]. There is also the incentive to define more standardised management guidelines through a participatory and cooperative consensus. This challenging, multidisciplinary, multicentre approach is expected to bring real progress in the management of congenital lung anomalies.
Briefly, in 2012 paediatric pulmonologists and surgeons of the University Hospitals of Geneva initiated a prospective database for this population. Nowadays congenital lung malformations are mostly discovered prenatally, with postnatal investigations and management. For this reason, the prospective cohort study involves multiple specialists such as obstetricians, neonatologists, radiologists, pulmonologists, paediatric surgeons and pathologists.
In 2016 and 2017, the project was extended to other Swiss university hospitals (Basel, Bern, Lausanne, Zurich) and large clinics offering the management of children with congenital lung anomalies (Lucerne; St Gallen). All patients with a prenatal diagnosis are included in the database, no matter which form of management was chosen (operative or conservative). Informed consent is obtained from all the patients’ parents. Inclusion is planned to take place for at least 10 more years, and if the first results are encouraging the study could be extended for a longer period.
The Swiss congenital lung anomaly database contains the following data (fig. 4): results of prenatal ultrasounds, status at birth that includes information about respiratory support, clinical data obtained at each scheduled consultation, radiological data, long-term respiratory follow-up with lung function tests, and histological results if surgery is performed.

Figure 4 Data recorded at different stages of a congenital lung anomaly patient’s follow-up during childhood.
All data are handled in collaboration with SwissPedNet, the national paediatric research platform [27]. SwissPedNet supports data collection and management. In addition, the SwissPedNet infrastructures are already available in all participating centres.
In 2017, all participating centres were invited to share their ideas and questions for scientific research related to this national database. The aim of this brainstorming was to define projects that could be feasible for every participating team, and to discuss authorship. In the case of publication, it was agreed that authorship would depend on individual contributions and the time spent on it, as described in recent guidelines [28].
Among various research projects, two main topics were selected:
A biobank is a systematic collection of biological specimens (blood, human tissue, DNA or proteins) and health information from participants. Ethics committee agreement and patient informed consent are required to create biobank specimens and for data collection. Moreover, a biobank should be sufficiently large to avoid the bias of genetic variants and reduce the impact of phenotype variation. The creation of a biobank depends on the collection of high-quality specimens, allowing long-term use of samples. Variables such as the date/time of the sampling, collection methods and type of final storage constitute important information to be recorded. Best practice guidelines to standardise sample collection have already been published [35].
Together with databases, biobanks are a key instrument for increasing knowledge of rare diseases, especially when they enable the pooling of -omic (genomic/proteomic/transcriptomic) and clinical data. Nowadays, the availability of biomaterials is proving essential for the study of disease aetiology and pathogenesis, paving the way to highly effective targeted therapies [20]. Researchers are currently faced with the paradigm shift in the genomic era, where research has become more data intensive, and huge amounts of -omics data derived from biological samples are generated as a part of personalised medicine research [36].
Various types of biobanks, such as private biobanks set up by the pharmaceutical industry or national biobanks principally dedicated to specific diseases, already exist. Sample collection methods may vary, depending on the type of biobank. Despite recent efforts made to develop viable biobanks, sample pooling is often difficult to achieve, with poor sample sharing between researchers. Protocols of sample collection and storage often differ between centres, with little communication between teams. The creation of general protocols for sample conservation, as proposed by Swissbiobank, may help to minimise collection bias. Additionally, the large amount of paraffin-embedded tissues stored in pathology departments could be a further source of samples ready to share for analysis. -Omics research on fixed tissue could deliver real progress and avoid the difficulty in obtaining fresh tissue samples for research.
In Switzerland, a hospital biobank, the Lausanne Institutional Biobank (BIL), was created in 2013 [37]. The goal of the BIL is to facilitate translational and clinical research for a variety of investigators locally and regionally. Recently, a new project supported by the Swiss National Foundation has enabled the creation of a web-based platform dedicated to biobanks . This platform will help in creating biobanks by adhering to a harmonised process. All five university hospitals have been actively involved in this project since 2015, with one reference person per centre.
Nowadays the vast majority of research relating to congenital lung anomalies is based either on animal models mimicking CPAM or on data retrieved from small patient cohorts. Several studies have principally focused on the risk of malignant transformation in congenital lung anomalies. A first study compared the clinical evolution of ten patients with pleuropneumoblastoma diagnosed on bronchoalveolar sections of patients with a preoperative diagnosis of CPAM [38]. A second study analysed the risk of bronchalveolar carcinoma transformation CPAM type 1 in seven patients with use of molecular analyses [39]. Both studies came up against the difficulty of completely rejecting the oncological risk of CPAM and reiterated the important role of biobank analysis.
Along with the national database, a national congenital lung anomaly biobank was created to store all samples obtained from patients after lung resection. This biobank stores abnormal pulmonary tissue, adjacent healthy parenchyma and blood samples. Its purpose is to improve knowledge of a lesion’s risk of malignant transformation and to increase the understanding of congenital lung anomaly physiopathology. Geneva’s team performed a preliminary study on different CPAM samples, analysing proteomics data and immunohistochemistry. First results have shown significant proteomic profile differences between CPAM forms, suggesting that CPAM might originate at different stages of lung development (unpublished data). Future experiments will enable a deeper understanding of cellular interactions and may also help in finding new biomarkers influencing the long-term clinical management of these patients.
Implementation of databases and biobanks is fundamental to research into all rare congenital diseases, especially during the paediatric period. Pooling data from patients with a rare disease, such as congenital lung anomaly, in a long-term observational cohort study represents an important step to a better understanding of the natural clinical evolution of these patients. Switzerland is a small country where all medical university centres and large cantonal hospitals manage these patients, and it is of utmost importance to create such a database and biobank, first to support research, secondly to determine pertinent questions raised during our daily medical management, and thirdly to harmonise treatment strategies. The creation of a focus group dedicated to congenital lung anomalies is also expected to increase interactions between all paediatric centres in Switzerland and improve the quality of treatment for these patients.
A biobank is complementary to a database. This powerful combination allows the medical teams to exploit data and samples with new research questions. The Swiss congenital lung anomalies database and biobank is an ambitious project with long-term aspirations. It is expected that it will enable Swiss teams to compare their results and share their expertise with other European and international registers, as well as build the necessary bridges for optimal follow-up patients with congenital lung anomalies.
We thank Aliki Buhayer, Prism Scientific Sàrl (www.prismscientific.ch), for medical writing support.
This work is supported with a Gertrude Von Meissner grant, a Caroline Rigaud foundation grant and the research fund of the Swiss Lung Association, Bern.
No potential conflict of interest relevant to this article was reported.
1 Stocker JT , Madewell JE , Drake RM . Congenital cystic adenomatoid malformation of the lung. Classification and morphologic spectrum. Hum Pathol. 1977;8(2):155–71. doi:.https://doi.org/10.1016/S0046-8177(77)80078-6
2 Stanton M , Njere I , Ade-Ajayi N , Patel S , Davenport M . Systematic review and meta-analysis of the postnatal management of congenital cystic lung lesions. J Pediatr Surg. 2009;44(5):1027–33. doi:.https://doi.org/10.1016/j.jpedsurg.2008.10.118
3 Ruchonnet-Metrailler I , Leroy-Terquem E , Stirnemann J , Cros P , Ducoin H , Hadchouel A , et al. Neonatal outcomes of prenatally diagnosed congenital pulmonary malformations. Pediatrics. 2014;133(5):e1285–91. doi:.https://doi.org/10.1542/peds.2013-2986
4 Langston C . New concepts in the pathology of congenital lung malformations. Semin Pediatr Surg. 2003;12(1):17–37. doi:.https://doi.org/10.1016/S1055-8586(03)70004-3
5 Di Prima FA , Bellia A , Inclimona G , Grasso F , Teresa M , Cassaro MN . Antenatally diagnosed congenital cystic adenomatoid malformations (CCAM): Research Review. J Prenat Med. 2012;6(2):22–30.
6 DeBoer EM , Keene S , Winkler AM , Shehata BM . Identical twins with lethal congenital pulmonary airway malformation type 0 (acinar dysplasia): further evidence of familial tendency. Fetal Pediatr Pathol. 2012;31(4):217–24. doi:.https://doi.org/10.3109/15513815.2011.650284
7 Watanabe Y , Bruellman RJ , Ebrhim RS , et al. Congenital Hypothyroidism due to Oligogenic Mutations in Two Sudanese Families. Thyroid. 2019;29(2):302–4.
8 Watarai F , Takahashi M , Hosoya T , Murata K . Congenital lung abnormalities: a pictorial review of imaging findings. Jpn J Radiol. 2012;30(10):787–97. doi:.https://doi.org/10.1007/s11604-012-0132-1
9 Davenport M , Eber E . Long term respiratory outcomes of congenital thoracic malformations. Semin Fetal Neonatal Med. 2012;17(2):99–104. doi:.https://doi.org/10.1016/j.siny.2012.01.011
10 Costanzo S , Filisetti C , Vella C , Rustico M , Fontana P , Lista G , et al. Pulmonary Malformations: Predictors of Neonatal Respiratory Distress and Early Surgery. J Neonatal Surg. 2016;5(3):27. doi:.https://doi.org/10.21699/jns.v5i3.375
11 MacSweeney F , Papagiannopoulos K , Goldstraw P , Sheppard MN , Corrin B , Nicholson AG . An assessment of the expanded classification of congenital cystic adenomatoid malformations and their relationship to malignant transformation. Am J Surg Pathol. 2003;27(8):1139–46. doi:.https://doi.org/10.1097/00000478-200308000-00012
12 Downard CD , Calkins CM , Williams RF , Renaud EJ , Jancelewicz T , Grabowski J , et al. Treatment of congenital pulmonary airway malformations: a systematic review from the APSA outcomes and evidence based practice committee. Pediatr Surg Int. 2017;33(9):939–53. doi:.https://doi.org/10.1007/s00383-017-4098-z
13 Fievet L , Natale C , D’Journo XB , Coze S , Dubus JC , Guys JM , et al. Congenital pulmonary airway malformation and sequestration: Two standpoints for a single condition. J Minim Access Surg. 2015;11(2):129–33. doi:.https://doi.org/10.4103/0972-9941.137759
14 Feinberg A , Hall NJ , Williams GM , Schultz KA , Miniati D , Hill DA , et al. Can congenital pulmonary airway malformation be distinguished from Type I pleuropulmonary blastoma based on clinical and radiological features? J Pediatr Surg. 2016;51(1):33–7. doi:.https://doi.org/10.1016/j.jpedsurg.2015.10.019
15 Makhijani AV , Wong FY . Conservative post-natal management of antenatally diagnosed congenital pulmonary airway malformations. J Paediatr Child Health. 2018;54(3):267–71. doi:.https://doi.org/10.1111/jpc.13727
16 Hall NJ , Chiu PP , Langer JC . Morbidity after elective resection of prenatally diagnosed asymptomatic congenital pulmonary airway malformations. Pediatr Pulmonol. 2016;51(5):525–30. doi:.https://doi.org/10.1002/ppul.23255
17 Cook J , Chitty LS , De Coppi P , Ashworth M , Wallis C . The natural history of prenatally diagnosed congenital cystic lung lesions: long-term follow-up of 119 cases. Arch Dis Child. 2017;102(9):798–803. doi:.https://doi.org/10.1136/archdischild-2016-311233
18 Bouchardy C , Lutz JM , Raymond L . Le registre des tumeurs: un instrument de santé publique et de recherche. Rev Med Suisse. 2002;2:21929. French
19 Lannon CM , Peterson LE . Pediatric collaborative networks for quality improvement and research. Acad Pediatr. 2013;13(6, Suppl):S69–74. doi:.https://doi.org/10.1016/j.acap.2013.07.004
20 Gainotti S , Torreri P , Wang CM , Reihs R , Mueller H , Heslop E , et al. The RD-Connect Registry & Biobank Finder: a tool for sharing aggregated data and metadata among rare disease researchers. Eur J Hum Genet. 2018;26(5):631–43. doi:.https://doi.org/10.1038/s41431-017-0085-z
21 Azizkhan RG , Crombleholme TM . Congenital cystic lung disease: contemporary antenatal and postnatal management. Pediatr Surg Int. 2008;24(6):643–57. doi:.https://doi.org/10.1007/s00383-008-2139-3
22 Delacourt C , Bertille N , Salomon LJ , Benachi A , Henry E , Massardier J , et al.; prenatal MALFPULM study group. Natural prenatal history of congenital pulmonary malformations: the MALFPULM population-based cohort study. Ultrasound Obstet Gynecol. 2018. Accepted Author Manuscript. doi:.https://doi.org/10.1002/uog.20130
23 Kuroda T , Nishijima E , Maeda K , Fuchimoto Y , Hirobe S , Tazuke Y , et al. Clinical Features of Congenital Cystic Lung Diseases: A Report on a Nationwide Multicenter Study in Japan. Eur J Pediatr Surg. 2016;26(1):91–5.
24 Wei Y , Li F . Pulmonary sequestration: a retrospective analysis of 2625 cases in China. Eur J Cardiothorac Surg. 2011;40(1):e39–42. doi:.https://doi.org/10.1016/j.ejcts.2011.01.080
25 Taruscio D , Gainotti S , Mollo E , Vittozzi L , Bianchi F , Ensini M , et al. The current situation and needs of rare disease registries in Europe. Public Health Genomics. 2013;16(6):288–98. doi:.https://doi.org/10.1159/000355934
26 Chung KC , Song JW ; WRIST Study Group. A guide to organizing a multicenter clinical trial. Plast Reconstr Surg. 2010;126(2):515–23. doi:.https://doi.org/10.1097/PRS.0b013e3181df64fa
27 Wenger P , Frey U , Nadal D . Research dedicated to children: SwissPedNet with its international links overcomes key barriers to proper research in paediatrics. Swiss Med Wkly. 2014;144:w14006. doi:.https://doi.org/10.4414/smw.2014.14006
28 Roberts LW . Addressing Authorship Issues Prospectively: A Heuristic Approach. Acad Med. 2017;92(2):143–6. doi:.https://doi.org/10.1097/ACM.0000000000001285
29 Makita S , Kaneko K , Ono Y , Uchida H . Risk factors for thoracic and spinal deformities following lung resection in neonates, infants, and children. Surg Today. 2017;47(7):810–4. doi:.https://doi.org/10.1007/s00595-016-1434-1
30 Panda SS , Agarwala S , Bhatnagar V , Kabra SK , Jayaswal A , Bhalla AS . A survey of musculoskeletal and aesthetic abnormalities after thoracotomy in pediatric patients. J Indian Assoc Pediatr Surg. 2013;18(4):136–42. doi:.https://doi.org/10.4103/0971-9261.121113
31 Barikbin P , Roehr CC , Wilitzki S , Kalache K , Degenhardt P , Bührer C , et al. Postnatal lung function in congenital cystic adenomatoid malformation of the lung. Ann Thorac Surg. 2015;99(4):1164–9. doi:.https://doi.org/10.1016/j.athoracsur.2014.11.018
32 Lau CT , Wong KKY , Tam P . Medium Term Pulmonary Function Test After Thoracoscopic Lobectomy for Congenital Pulmonary Airway Malformation: A Comparative Study with Normal Control. J Laparoendosc Adv Surg Tech A. 2018;28(5):595–8. doi:.https://doi.org/10.1089/lap.2017.0276
33 Keijzer R , Chiu PP , Ratjen F , Langer JC . Pulmonary function after early vs late lobectomy during childhood: a preliminary study. J Pediatr Surg. 2009;44(5):893–5. doi:.https://doi.org/10.1016/j.jpedsurg.2009.01.021
34 Dournes G , Grodzki D , Macey J , Girodet PO , Fayon M , Chateil JF , et al. Quiet Submillimeter MR Imaging of the Lung Is Feasible with a PETRA Sequence at 1.5 T. Radiology. 2015;276(1):258–65. doi:.https://doi.org/10.1148/radiol.15141655
35 Moore HM . The NCI Biospecimen Research Network. Biotech Histochem. 2012;87(1):18–23. doi:.https://doi.org/10.3109/10520295.2011.591833
36 Olson JE , Bielinski SJ , Ryu E , Winkler EM , Takahashi PY , Pathak J , et al. Biobanks and personalized medicine. Clin Genet. 2014;86(1):50–5. doi:.https://doi.org/10.1111/cge.12370
37 Mooser V , Currat C . The Lausanne Institutional Biobank: a new resource to catalyse research in personalised medicine and pharmaceutical sciences. Swiss Med Wkly. 2014;144:w14033. doi:.https://doi.org/10.4414/smw.2014.14033
38 Miniati DN , Chintagumpala M , Langston C , Dishop MK , Olutoye OO , Nuchtern JG , et al. Prenatal presentation and outcome of children with pleuropulmonary blastoma. J Pediatr Surg. 2006;41(1):66–71. doi:.https://doi.org/10.1016/j.jpedsurg.2005.10.074
39 Lantuejoul S , Nicholson AG , Sartori G , Piolat C , Danel C , Brabencova E , et al. Mucinous cells in type 1 pulmonary congenital cystic adenomatoid malformation as mucinous bronchioloalveolar carcinoma precursors. Am J Surg Pathol. 2007;31(6):961–9. doi:.https://doi.org/10.1097/01.pas.0000249444.90594.27
These authors serve as site principal investigator at the centres participating in the Swiss Congenital lung anomalies database and biobank
This work is supported with a Gertrude Von Meissner grant, a Caroline Rigaud foundation grant and the research fund of the Swiss Lung Association, Bern.
No potential conflict of interest relevant to this article was reported.