DOI: https://doi.org/10.4414/smw.2017.14397
Giant-cell arteritis represents the most common form of large vessel vasculitis in people over the age of 50 years. Giant cell arteritis can affect either the cranial arteries, the thoracoabdominal aorta (large-vessel giant-cell arteritis) or both [1]. Data on annual incidences report 6 to 32 cases per 100 000 people worldwide [2, 3]. Cranial giant-cell arteritis, also called temporal arteritis, typically presents with malaise, temporal headache and claudication of the masseter muscle, as well as visual impairment and serological signs of systemic inflammation (erythrocyte sedimentation rates [ ESR] >50 mm within the first hour and/or elevated values for C-reactive protein [CRP]). Polymyalgic symptoms often precede or accompany giant-cell arteritis. Cranial giant-cell arteritis is present in approximately 20% of classical cases of polymyalgia rheumatica.
The vasculitis counterpart in patients younger than 45 years of age is called Takayasu arteritis. This form of large-vessel vasculitis typically affects branches of the aortic arch. As a consequence, patients present with claudication of the upper limbs accompanied by pulselessness and differences in blood pressure between the two arms.
It is important to note that these summarised symptoms may be absent in large vessel vasculitis. Therefore, large-vessel vasculitis is an important differential diagnosis in systemic inflammatory response syndrome (SIRS) of unknown origin. The established classification criteria of the American College of Rheumatology (ACR) will fail in such cases, in long-standing disease or after premedication with immunosuppressants [4, 5].
Temporal artery biopsy is still regarded as gold standard. Of note, segmental vasculitis can be missed if resected arteries are too short or if biopsies are not meticulously analysed. Colour-coded ultrasound of extracranial arteries yields good specificity and sensitivity when compared with 18fluorodeoxy-glucose positron emission tomography (FDG-PET) [6], Even so, large vessel inflammation can be missed owing to technical limitations of ultrasound transducer devices [7].Other imaging techniques, such as contrast-guided computed tomography angiography (CTA), have shown good results but carry the risk of contrast and radiation exposure, and might miss early inflammation [8]. PET, despite being cost-intensive, is regarded as an upcoming option, but is as yet neither routinely nor immediately available [9].
Contrast-enhanced magnetic resonance imaging of arteries (MRA) can demonstrate early inflammation of vessel walls. An excellent performance in diagnosing temporal artery vasculitis was recently shown [10]. Additionally, MRA provides structural information, for example regarding differential diagnoses. So far, however, MRA for diagnosing thoracoabdominal aortitis has been reported in a few patients only [11]. Preceding immunosuppression, mostly consisting of glucocorticoids, can not only suppress clinical symptoms but also reduce the possibility to detect inflammatory signals in diagnostic tests [12, 13].
The objective of our study was to define the diagnostic value of contrast-enhanced MRA in patients with clinical suspicion of large-vessel vasculitis at our university centre and to define the impact of glucocorticoid treatment on inflammatory signals.
The radiological database was searched for patients referred for MRA with the clinical suspicion of large-vessel vasculitis. Patients with an incidental finding of large-vessel vasculitis on MRA were excluded. Patients were referred for MRA if the case history and/or clinical and serological work-up could not clearly identify or rule out any form of underlying large-vessel vasculitis. All referrals were matched with clinical records to yield this cohort. ESR and CRP values at the time of MRA, prior and/or current glucocorticoid medication, and histology of temporal artery biopsies were retrieved. Our standard of care is bitemporal arterial biopsies [14].
Clinical diagnosis was regarded as the gold standard, and was established by consultant rheumatologists with long-standing experience (SA, FW, PV). MRA was evaluated by the radiologist who initiated the protocol (HB) and independently by a second MRI-specialised radiologist (TK). Both radiologists had experience in the routine clinical assessment of vascular disease for more than 10 years, and had worked on the same team for 2 years.
As all radiological evaluations were part of a routine diagnostic work-up, patients’ consent for data evaluation was not needed. At the time of study conception, retrospective analyses of routine data were not bound to be judged by the local ethics committee.
All examinations were performed using an advanced 3 Tesla MR Scanner (Skyra, Siemens, Erlangen, Germany). The protocol included coronal fat suppressed T2 half-fourier acquisition single-shot turbo sequence (HASTE), axial T2 fast low angle shot (FLASH) axial true fast imaging with steady state precession (TRUFISP), axial turbo inversion recovery magnitude (TIRM) in pre-contrast and axial 2D FLASH and volume interpolated breathhold examination (VIBE) sequences in post MRA series. MRA images were presented in source and subtraction images and multiplanar reconstruction (MPR) and maximum intensity projection (MIP) reconstructions.
All patients received Dotarem® (gadoteric acid) as intravenous contrast medium. Additional late series 4 to 5 minutes after contrast were taken to present prominently arterial wall enhancement. Vessel wall contrast enhancement was evaluated in congruence with data from cerebral vasculitis [11]. Aortic wall thickness was evaluated to define atherosclerosis as described elsewhere [15].
MRAs were evaluated by TK and HB, who were unaware of the serological parameters and diagnosis, in independent reading sessions. Image quality suitable for reporting was decided separately by each reader. Concomitant arterial wall pathologies obscuring large-vessel vasculitis, such as dissection, were excluded.
MRA positivity was defined as an increased signal in late gadolinium-enhanced series within the aortic wall detected on axial TIRM imaging showing intramural oedema [16, 17]. Wall oedema itself and/or extraluminal aortic soft tissue enlargement were not counted as large-vessel vasculitis as such.
Wall thickness and stenosis were evaluated in a search for atherosclerosis. To distinguish atherosclerotic findings, typical MR features of atherosclerosis were also focused on and evaluated for all patients [18]. Finally, radiological diagnostic confidence in the diagnosis of vasculitis was rated for all patients.
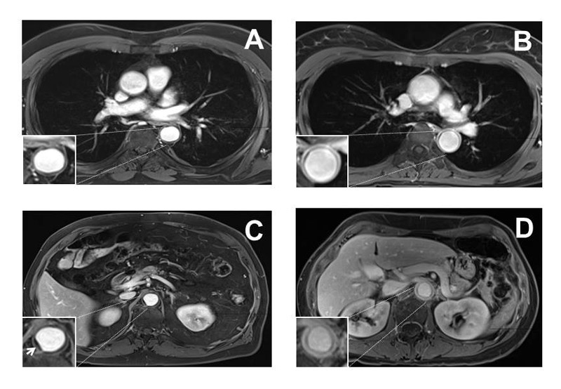
MRA examples are given in figure 1.

Figure 1 Examples of negative and positive magnetic resonance angiography (MRA) findings in the thorax and abdomen, each T-1 weighted images 10 minutes after administration of gadolinium-containing contrast medium. (A) Thoracic MRA without signs of vasculitis. (B) Thoracic MRA demonstrating vasculitis. (C) Abdominal MRA without signs of vasculitis, arrowhead pointing to atherosclerotic plaque. (D) Abdominal MRA demonstrating vasculitis.
Data were presented as descriptive statistics using Stata Version 13.1. Chi square and Fisher's exact tests were used for sensitivity and specificity analysis. The Mann-Whitney test was used for group comparisons as nonnormal distribution was assumed. A p-value <0.05 was considered statistically significant.
Between January 2005 and September 2012, we identified 75 patients (for characteristics see table 1). Seven out of 75 patients were <50 years old. Of these, one patient was evaluated for Takayasu’s arteritis and the remaining patients had suspicion of large-vessel vasculitis of any other kind. All MR angiograms were of diagnostic quality. No patient had signs of aortic dissection that might have obscured potential signs of large-vessel vasculitis. A minor aortic dissection in one patient was short and left the major thoracoabdominal part unaltered.
Table 1 Overview of patient characteristics: laboratory, histological and radiographic parameters.
| Total n = 75 |
MRA positive
n = 24 |
MRA negative
n = 51 |
Significance |
|---|---|---|---|
| Age (years), median (range) | 65 (18–82) | 61 (16–82) | n.s. |
| Female (%) | 60.8 | 54.2 | n.s. |
| Laboratory parameters at time of MRA | |||
| ESR (mm/h), median (range) | 80 (5–120) (2 missing) |
19.5 (3–100) (1 missing) |
p = 0.007 |
| CRP (mg/l), median (range) | 27 (3–218) (1 missing) |
9 (3–145) | p = 0.0005 |
| Immunosuppression prior to MRA | |||
| GC >5 days prior to MRA | 2/23 (1%) (1 missing) |
29/50 (58%) (1 missing) |
|
| Histology prior to MRA | |||
| Histology positive | 7/10 | 5/12 | |
| Histology negative | 3/10 | 7/12 | |
| Radiographic parameters of MRA | |||
| Intramural vessel wall oedema in late contrast series | 17/24 (29%) | 2/51 (4%) | |
| Vessel wall thickening | 21/24 (88%) | 5/51 (1%) | |
| Extraluminal soft tissue involvement | 16/24 (67%) | 0/51 (0%) | |
| Atherosclerosis | 17/24 (71%) | 25/51 (49%) | |
| Dissection | 1 | 0 | |
| Stenotic changes | 6/24 (25%) | 2/51 (4%) |
CRP = C-reactive protein; ESR = erythrocyte sedimentation rate; GC = Glucocorticoids; MRA = magnetic resonance angiography; n.s. = not significant
Thoracic MRA only was performed in 32/75 patients, abdominal MRA only in 7/75, and both thoracic and abdominal MRA in 36/75.
Overall, 24/75 (32%) MR angiograms were positive for large-vessel vasculitis. The manifestations and final diagnoses of patients with either negative or positive MRA are shown in tables 2 and 3 .
Table 2 Final diagnosis in patients with negative MRA.
| Findings | Final diagnosis | |||||
|---|---|---|---|---|---|---|
|
MRA negative
n = 51 |
Histology negative
n = 7 |
Histology positive
n = 5 |
PMR | cGCA | Other | |
| Thoracic only n = 32 |
25 | 5 | 1 | 10 | 3 | 12* |
| Abdominal only n = 7 |
2 | 0 | 0 | 2 | 0 | 0 |
| Thoracic plus abdominal n = 36 |
24 | 2 | 4 | 10 | 4 | 10† |
cGCA = cranial giant-cell arteritis; MRA = magnetic resonance angiography; PMR = polymyalgia rheumatica * 1 patient each diagnosed as Sjögren’s syndrome, bronchial carcinoma, undefined vasculopathy, pachymeningitis, spondyloarthritis, chorioretinitis, recurrent thrombosis of unknown origin and aortic ectasia. † 11 patients diagnosed as inflammatory syndrome of unknown origin, 1 as Behçet’s disease, 1 as unclear cephalgia and 1 as oligoarthritis.
Table 3 Final diagnosis in patients with positive MRA.
| Findings | Final diagnosis | |||||||
|---|---|---|---|---|---|---|---|---|
|
MRA positive
n = 24 |
Histology negative
n = 3 |
Histology positive
n = 7 |
cGCA with LVV | LVV only | TAK | Retro-peritoneal fibrosis | Other | |
| Thoracic only n = 32 |
7 | 1 | 2 | 2 | 3 | 0 | 0 | 2* |
| Abdominal only n = 7 |
5 | 0 | 1 | 1 | 1 | 0 | 3 | 0 |
| Thoracic plus abdominal n = 36 |
12 | 2 | 4 | 3 | 6 | 1 | 1 | 1† |
cGCA = cranial giant-cell arteritis; LVV = large-vessel vasculitis; MRA = magnetic resonance angiography; TAK = Takayasu arteritis * One patient each diagnosed as Behçet’s vasculitis and polyarthritis † One patient diagnosed as non-Langhans cell histiocytosis
In 6/51 MRA-negative patients receiving glucocorticoids for >5 days, we clinically diagnosed vasculitis and treated them as such (with 5/6 showing positive histology).
Sensitivity of MRA for large-vessel vasculitis was 79%, specificity 96%. The positive predictive value for MRA was 92% and the negative predictive value 88%. MRA gave false positive results in 4% and false negatives in 21% of patients.
ESR and CRP were significantly higher in patients with positive MRA than in those with negative MRA: ESR 80 vs 19.5 mm/h (p = 0.007) and CRP 27 vs 9 mg/l (p = 0.0005). Among patients with positive MRA, two had both normal ESR and normal CRP, and another two showed normal values for either ESR or CRP.
Temporal artery biopsies of 12/51 MRA-negative patients were examined histologically, 5/12 being positive and 7/12 negative. Patients with positive histology were counted as having vasculitis despite a negative MRA. For patients with positive MRA, 7/10 biopsies showed positive histology and 3/10 biopsies were classified as negative.
The most striking results were the presence or absence of intramural vessel wall oedema in late gadolinium-enhanced series for MRA-positive compared with MRA-negative patients (number of patients with vessel wall oedema 17/24 MRA positive vs 2/51 MRA negative). Patients without intramural vessel wall oedema presented a combination of stenosis, wall thickening and enhancement not directly on intraluminal sections and not clearly counted as atherosclerosis, and were therefore judged as vasculitis. In the two patients classified as MRA negative despite vessel wall oedema, gadolinium enhancement was only marginally detectable, but atherosclerosis clearly prevailed. Vessel wall thickening was present in 21/24 MRA-positive versus 5/51 MRA-negative patients.
Atherosclerosis was present in 42/75 patients (17/24 MRA-positive and 25/51 MRA-negative patients
Extraluminal aortic soft tissue enlargement was detected in none of the MRA-negative patients and in 16 of the MRA positive patients, being mild in 11, moderate in 3 and severe in 2. Aortic dissection was present in 1/24 MRA positive and 0/51 MRA negative patients. Aortic stenosis was seen in 6/24 MRA positive and 2/51 MRA negative patients.
Interobserver agreement was 98.7%. After discussion, consensus was achieved in 100% of cases.
Assuming decreasing sensitivity of MRA after more than 5 days of glucocorticoid intake, as demonstrated in cranial arteritis patients, we differentiated between glucocorticoid intake for either more or less than 5 days [10]. Glucocorticoids >5 days prior to MRA were given to 32/75 patients (unknown in 2), with significantly more glucocorticoid patients in the MRA-negative group (29/50 patients, 1 missing) than in MRA-positive patients (3/23, 1 missing).
The probability of positive MRA after glucocorticoid intake for more than 5 days before MRA was reduced by 89.3%. Overall, glucocorticoids significantly reduced the incidence of positive MRAs (29 vs 3, p <0.005).
ESR and CRP levels were significantly lower in glucocorticoid-treated patients (median ESR 18 vs 57 mm/h, p <0.05; median CRP 8.5 vs 26.5 mg/l, p <0.005). There was no valid cut-off of ESR/CRP values for diagnosis or exclusion of large-vessel vasculitis, independent of glucocorticoid intake.
Histology was positive during glucocorticoid application in six patients (five MRA negative and one MRA positive).
The most striking finding was the vessel wall oedema in the vast majority of MRA-positive but in only two of the MRA-negative patients. This is a recently published observation in temporal arteritis [10], active Takayasu arteritis [19] and thoracic aortitis [11], but has rarely been described in giant-cell arteritis. The excellent interobserver agreement points to only few questionable cases that were resolvable after discussion and/or within the clinical context. In summary, MRA read by experienced radiologists is able to provide reliable results.
We found a marked loss of valid MRA results after more than 5 days of glucocorticoid therapy, congruent with the reduced diagnostic accuracy of MRA in temporal arterial vasculitis [10]. Furthermore, Hauenstein et al. reported a marked loss of MRI sensitivity to 56% after more than 4 days of glucocorticoid treatment [20]. These findings contrast with the histology of temporal artery biopsies. As described earlier, cell infiltrates remain detectable for 2 to 4 weeks after the start of glucocorticoid therapy [21]. Collectively, these data suggest that MRA should be before the start of glucocorticoid treatment or very shortly thereafter. If results are clearly positive, additional temporal artery biopsy may be unnecessary. However, in negative MRA, biopsies are recommended.
CRP values rapidly declined after glucocorticoid treatment initiation, and the decline correlated with the loss of inflammatory MRA signals. ESR/CRP could not predefine or exclude large-vessel vasculitis regardless of glucocorticoid intake. This is probably explained by the nonspecificity of the acute phase response.
FDG-PET in suspected large-vessel vasculitis provided similar values of sensitivity and specificity [12]. In contrast to MRA, luminal and atherosclerotic changes are not detected by PET. As in our cohort, atherosclerotic and stenotic changes on MRA represent a long-standing inflammatory process. This is worth detecting for future risk management. Additionally, PET scans are expensive, mostly require health-insurance permission in advance and are available in large hospitals only.
False positive results were rare, but 21% false negative MR angiograms warrant further explanation. In our study, most patients with negative MRA had glucocorticoid therapy of more than 5 days prior to MR investigation. Of the polymyalgia rheumatica patients with negative MRA, glucocorticoids had been prescribed for more than half (15 with glucocorticoids vs 7 without glucocorticoids).
A recent study of 150 large-vessel vasculitis patients demonstrated positive ACR criteria for giant cell arteritis in 39% only [1]. In our cohort, negative histology of temporal arterial biopsies might have missed large-vessel vasculitis. It has been shown earlier that in cases of suspicion of large-vessel vasculitis and negative histology, thoracoabdominal arteries should be searched for vasculitis.
Diagnostic algorithms are about to change. The two recent randomised controlled trials evaluating the efficacy of the biologic agent tocilizumab both included patients with signs and symptoms of giant cell arteritis, with positive histological findings in temporal artery specimens or positive findings on MRA [22, 23].
Limitations of our study are the retrospective design, with missing data, and the fact that no predefined categorical characteristics of large-vessel vasculitis and/or indications for MRA were applied. Nevertheless, the long-standing experience of the consultant rheumatologists helped to correctly detect most of the ill patients, whether large-vessel vasculitis, indication to exclude polymyalgia rheumatica-associated large-vessel vasculitis or other large vessel pathologies. Regular evaluation of thoracic plus abdominal large vessels might have detected locations otherwise missed. Meanwhile, a more patient-friendly protocol allowed for one-session thoracoabdominal MRAs instead of two investigations at different times.
Our cohort represents the largest evaluated for large vessel vasculitis with a standardised, long-standing protocol within the same institution, the same clinical investigators, and radiologists blinded to the diagnosis reading MRAs independently.
Contrast-enhanced MRA reliably identifies large-vessel vasculitis and helps to discriminate it from other large vessel pathologies. In contrast to histology, vasculitic signals on MRA are very sensitive to glucocorticoids, suggesting that MRA should be performed prior to initiation of glucocorticoid treatment.
The study was funded by the research funds of the division of Rheumatology of the Department of Rheumatology, Immunology and Allergology of the University Hospital of Bern, Switzerland.
No other potential conflict of interest relevant to this article was reported.
1 Muratore F , Kermani TA , Crowson CS , Green AB , Salvarani C , Matteson EL , et al. Large-vessel giant cell arteritis: a cohort study. Rheumatology (Oxford). 2015;54(3):463–70. doi:.https://doi.org/10.1093/rheumatology/keu329
2 Hunder GG . Epidemiology of giant-cell arteritis. Cleve Clin J Med. 2002;69(Suppl 2):SII79–82. doi:.https://doi.org/10.3949/ccjm.69.Suppl_2.SII79
3 Nordborg C , Johansson H , Petursdottir V , Nordborg E . The epidemiology of biopsy-positive giant cell arteritis: special reference to changes in the age of the population. Rheumatology (Oxford). 2003;42(4):549–52. doi:.https://doi.org/10.1093/rheumatology/keg172
4 Rao JK , Allen NB , Pincus T . Limitations of the 1990 American College of Rheumatology classification criteria in the diagnosis of vasculitis. Ann Intern Med. 1998;129(5):345–52. doi:.https://doi.org/10.7326/0003-4819-129-5-199809010-00001
5 McAlinden C , Ioannidis P , Roberts S , Skiadaresi E . Giant cell arteritis. Lancet. 2014;383(9923):1182. doi:.https://doi.org/10.1016/S0140-6736(14)60459-1
6 Förster S , Tato F , Weiss M , Czihal M , Rominger A , Bartenstein P , et al. Patterns of extracranial involvement in newly diagnosed giant cell arteritis assessed by physical examination, colour coded duplex sonography and FDG-PET. Vasa. 2011;40(3):219–27. doi:.https://doi.org/10.1024/0301-1526/a000096
7 Schmidt WA . Imaging in vasculitis. Best Pract Res Clin Rheumatol. 2013;27(1):107–18. doi:.https://doi.org/10.1016/j.berh.2013.01.001
8 Agard C , Barrier JH , Dupas B , Ponge T , Mahr A , Fradet G , et al. Aortic involvement in recent-onset giant cell (temporal) arteritis: a case-control prospective study using helical aortic computed tomodensitometric scan. Arthritis Rheum. 2008;59(5):670–6. doi:.https://doi.org/10.1002/art.23577
9 Martínez-Rodríguez I , Martínez-Amador N , Banzo I , Quirce R , Jiménez-Bonilla J , De Arcocha-Torres M , et al. Assessment of aortitis by semiquantitative analysis of 180-min 18F-FDG PET/CT acquisition images. Eur J Nucl Med Mol Imaging. 2014;41(12):2319–24. doi:.https://doi.org/10.1007/s00259-014-2863-y
10 Klink T , Geiger J , Both M , Ness T , Heinzelmann S , Reinhard M , et al. Giant cell arteritis: diagnostic accuracy of MR imaging of superficial cranial arteries in initial diagnosis-results from a multicenter trial. Radiology. 2014;273(3):844–52. doi:.https://doi.org/10.1148/radiol.14140056
11 Bley TA , Wieben O , Uhl M , Miehle N , Langer M , Hennig J , et al. Integrated head-thoracic vascular MRI at 3 T: assessment of cranial, cervical and thoracic involvement of giant cell arteritis. MAGMA. 2005;18(4):193–200. doi:.https://doi.org/10.1007/s10334-005-0119-3
12 Fuchs M , Briel M , Daikeler T , Walker UA , Rasch H , Berg S , et al. The impact of 18F-FDG PET on the management of patients with suspected large vessel vasculitis. Eur J Nucl Med Mol Imaging. 2012;39(2):344–53. doi:.https://doi.org/10.1007/s00259-011-1967-x
13 Prieto-González S , García-Martínez A , Tavera-Bahillo I , Hernández-Rodríguez J , Gutiérrez-Chacoff J , Alba MA , et al. Effect of glucocorticoid treatment on computed tomography angiography detected large-vessel inflammation in giant-cell arteritis. A prospective, longitudinal study. Medicine (Baltimore). 2015;94(5):e486. doi:.https://doi.org/10.1097/MD.0000000000000486
14 Durling B , Toren A , Patel V , Gilberg S , Weis E , Jordan D . Incidence of discordant temporal artery biopsy in the diagnosis of giant cell arteritis. Can J Ophthalmol. 2014;49(2):157–61. doi:.https://doi.org/10.1016/j.jcjo.2013.12.008
15 Buhk JH , Finck-Wedel AK , Buchert R , Bannas P , Schnackenburg B , Beil FU , et al. Screening for atherosclerotic plaques in the abdominal aorta in high-risk patients with multicontrast-weighted MRI: a prospective study at 3.0 and 1.5 tesla. Br J Radiol. 2011;84(1006):883–9. doi:.https://doi.org/10.1259/bjr/16555263
16 Blockmans D , Bley T , Schmidt W . Imaging for large-vessel vasculitis. Curr Opin Rheumatol. 2009;21(1):19–28. doi:.https://doi.org/10.1097/BOR.0b013e32831cec7b
17 Czihal M , Förster S , Hoffmann U . Bildgebende Diagnostik der Großgefäßvaskulitis. [Imaging diagnostics of large vessel vasculitis.] Radiologe. 2010;50(10):855–60. doi:.https://doi.org/10.1007/s00117-010-2001-1
18 Li AE , Kamel I , Rando F , Anderson M , Kumbasar B , Lima JA , et al. Using MRI to assess aortic wall thickness in the multiethnic study of atherosclerosis: distribution by race, sex, and age. AJR Am J Roentgenol. 2004;182(3):593–7. doi:.https://doi.org/10.2214/ajr.182.3.1820593
19 Papa M , De Cobelli F , Baldissera E , Dagna L , Schiani E , Sabbadini M , et al. Takayasu arteritis: intravascular contrast medium for MR angiography in the evaluation of disease activity. AJR Am J Roentgenol. 2012;198(3):W279–84. doi:.https://doi.org/10.2214/AJR.11.7360
20 Hauenstein C , Reinhard M , Geiger J , Markl M , Hetzel A , Treszl A , et al. Effects of early corticosteroid treatment on magnetic resonance imaging and ultrasonography findings in giant cell arteritis. Rheumatology (Oxford). 2012;51(11):1999–2003. doi:.https://doi.org/10.1093/rheumatology/kes153
21 Narváez J , Bernad B , Roig-Vilaseca D , García-Gómez C , Gómez-Vaquero C , Juanola X , et al. Influence of previous corticosteroid therapy on temporal artery biopsy yield in giant cell arteritis. Semin Arthritis Rheum. 2007;37(1):13–9. doi:.https://doi.org/10.1016/j.semarthrit.2006.12.005
22 Unizony SH , Dasgupta B , Fisheleva E , Rowell L , Schett G , Spiera R , et al. Design of the tocilizumab in giant cell arteritis trial. Int J Rheumatol. 2013;2013:912562. doi:.https://doi.org/10.1155/2013/912562
23 Villiger PM , Adler S , Kuchen S , Wermelinger F , Dan D , Fiege V , et al. Tocilizumab for induction and maintenance of remission in giant cell arteritis: a phase 2, randomised, double-blind, placebo-controlled trial. Lancet. 2016;387(10031):1921–7. doi:.https://doi.org/10.1016/S0140-6736(16)00560-2
Sabine Adler and Marco Sprecher contributed equally to this work
The study was funded by the research funds of the division of Rheumatology of the Department of Rheumatology, Immunology and Allergology of the University Hospital of Bern, Switzerland.
No other potential conflict of interest relevant to this article was reported.