DOI: https://doi.org/10.4414/smw.2015.14139
Abbreviations
AEC II: alveolar epithelial type II cell
BAL: bronchoalveolar lavage
CTGF: connective tissue growth factor
DLCO: diffusion capacity for CO
FGF: fibroblast growth factor
FVC: forced vital capacity
IIP: idiopathic interstitial pneumonia
ILD: interstitial lung disease
IPF: idiopathic pulmonary fibrosis
ILD: interstitial lung disease
LPA: lipophosphatidic acid
OSAS: obstructive sleep apnoea syndrome
PDGF: platelet derived growth factor
TGF-β: transforming growth factor-beta
UIP: usual interstitial pneumonia
VC: vital capacity
VEGF: vascular endothelial growth factor
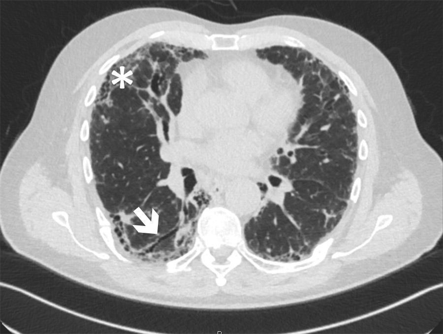
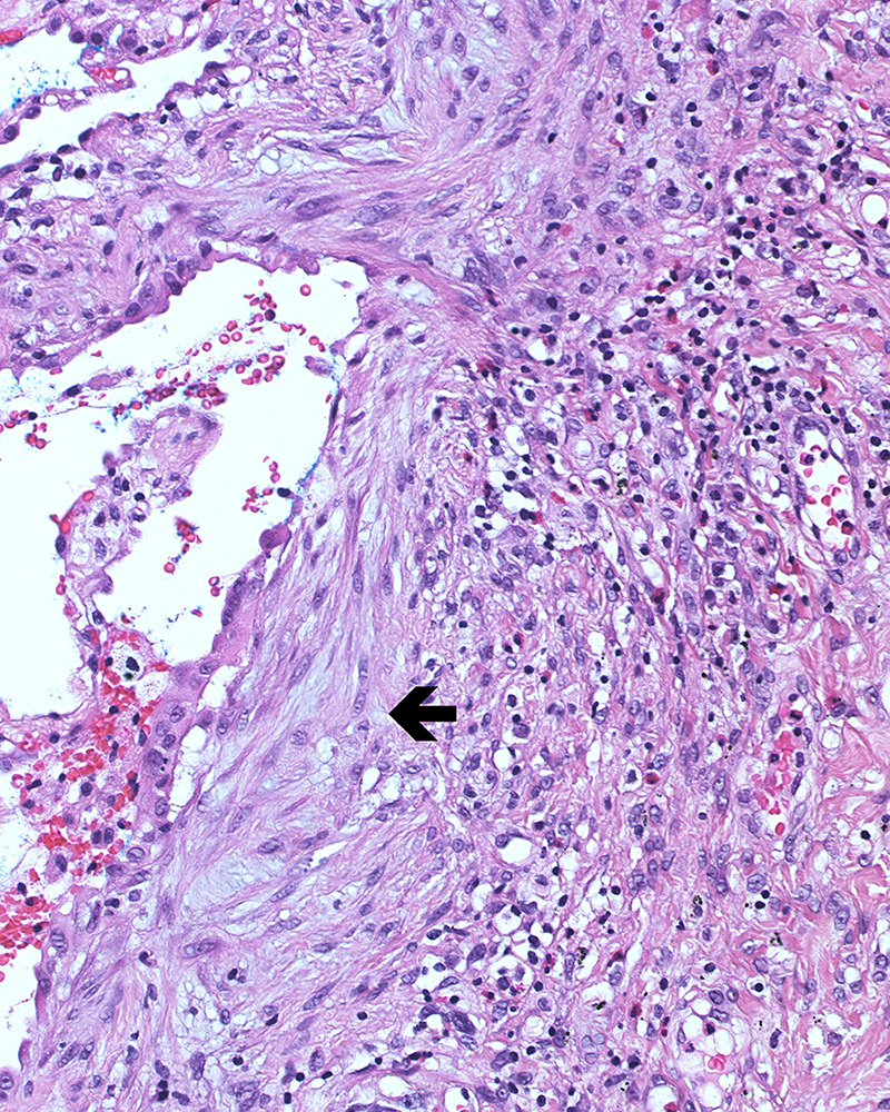
Idiopathic pulmonary fibrosis (IPF) is a devastating, chronic progressive lung disease with a median survival or time to lung transplantation of about 3 years [1–3]. IPF manifests predominantly in older males [4] and has been associated with smoking [1, 5]. Radiological and pathological presentation is characterised by the typical usual interstitial pneumonia (UIP) pattern (figs 1 and 2) [1]. The histopathological hallmark of UIP is the heterogeneous distribution and accumulation of myofibroblasts and extracellular matrix in so-called fibroblast foci (fig. 2). The aetiology and exact pathophysiological mechanism of the disease is still unknown [1]. Until today no cure has been found. Lung transplantation represents an option for selected patients with advanced disease, with a median survival of approximately 4.5 years after transplant [6]. Nevertheless, recent studies improved our understanding of IPF and new discoveries have led to novel treatment options, which now have become available for patients. These treatment options slow down disease progression as documented by a reduced decline in forced vital capacity (FVC). With recent advances and future clinical trials, the fatal diagnosis of IPF will hopefully be turned into a chronic, but treatable disease. In face of the newly available therapies (perfenidone and nintedanib) we present an update on pathophysiology, diagnosis and treatment of IPF.

Figure 1
Chest computed tomography scan of a patient with idiopathic pulmonary fibrosis. Typical radiological pattern of usual interstitial pneumonia with traction bronchiectasis (arrow) and subpleural honeycombing (star) is shown.

Figure 2
Histological usual interstitial pneumonia pattern: A typical fibroblast focus is shown (arrow). (Haematoxylin and eosin staining; magnification 200x.)
Although the exact pathophysiological mechanism for IPF is still not known in detail, intensive experimental and clinical research efforts shed light on cellular and molecular mechanisms that seem to be essential for the development of the disease. Previous views of inflammation as a central force for fibrosis have been replaced by a concept of impaired alveolar wound healing (fig. 3a‒d) [7, 8]. Histological studies not showing extensive signs of inflammation in UIP and the failure of immunosuppressive therapies in IPF supports rejection of the hypothesis of inflammation-driven fibrosis in this disease [9]. Initial alveolar epithelial type II cell damage by microinjuries and interruption of the basal lamina in the alveoli is considered to be one of the key trigger mechanisms (fig. 3b) [10]. Consecutively released profibrotic factors lead to recruitment, proliferation and differentiation of fibroblasts into myofibroblasts [11, 12], with the formation of typical fibroblast foci (fig. 2) [1]. Production of extracellular matrix by myofibroblasts changes the alveolar architecture with thickening of the air-blood barrier and consecutive impairment of blood gas exchange and lung compliance. This results in hypoxaemia on exertion and at later stages also at rest. Multiple profibrotic pathways have been linked to pulmonary fibrosis progression and are now target of new therapeutic approaches reviewed recently [13]. Transforming growth factor-beta (TGF-β) has been acknowledged as one of the main profibrotic cytokines in IPF [14]. The inactive latent form of TGF-β is activated in IPF via integrins, specifically ανβ6. Active TGF-β mediates profibrotic effects, such as epithelial cell apoptosis, epithelial-mesenchymal transition, extracellular matrix production and differentiation of fibroblasts into myofibroblasts [14]. It also regulates inflammation and can suppress tumour growth. Inhibition of TGF-β thus might lead to undesirable side effects and has to be carefully controlled [14]. Currently, specific antibodies against ανβ6 are being tested in IPF patients to prevent activation from latent to active TGF-β, and other anti-TGF-β targets are in development [15].

Figure 3
Hypothesis for pathophysiological mechanisms of idiopathic pulmonary fibrosis development. Normal alveolar epithelium (fig. 3a) is injured by various mechanisms (fig. 3b). Alveolar epithelial cells undergo apoptosis and the resulting gap is filled with a fibrin clot (fig. 3c). Fibroblasts migrate in and proliferate (fig. 3c), and differentiate into myofibroblasts. Extracellular matrix is produced (fig. 3d) and accumulated fibroblasts further infiltrate the interstitium leading to fibrosis.
In addition to TGF-β, several profibrotic markers are related to IPF. We will briefly present a few of them relevant for pharmacological inhibition by new therapeutic drugs. Connective tissue growth factor (CTGF) is considered to be a downstream mediator of TGF-β [14], and also of other profibrotic mediators like thrombin [16]. CTGF has been shown to be relevant in fibrosis development in various animal models [17, 18], and has also been suggested to be a biomarker for fibrosis in IPF [19]. Anti-CTGF antibodies are currently being evaluated in clinical trials [15].
Platelet derived growth factor (PDGF) is another growth factor involved in pulmonary fibrosis, mainly via chemotaxis induction and extracellular matrix stimulation of (myo)fibroblasts [14]. Its antagonism has been tested as therapeutic target in fibrotic disease and was reviewed recently [20]. However, inhibition of PDGF signalling by imatinib was not sufficient to slow down the progression of IPF [21]. Vascular endothelial growth factor (VEGF) stimulates (neo)angiogenesis and is increased in IPF patients [22]. It is speculated that angiogenesis might be part of fibrosis development or even of its endogenous resolution strategy [23]. The potential of VEGF as a biomarker to predict disease course has been discussed [24]. In summary, on the basis of previous studies, individual suppression of growth factors, although crucial in the development of IPF, may not be sufficient to inhibit the development of lung fibrosis. However, an approach that simultaneously inhibits several growth factors involved in the pathogenesis of IPF may be more promising.
Lysophosphatidic acid (LPA) is a bioactive lipid mediator, which is involved in different biological mechanisms, including development (brain) and pathophysiological conditions like neuropathic pain, and renal and pulmonary fibrosis [25]. Among other functions, it is chemoattractant for fibroblasts and contributes to fibrosis [26]. It induces epithelial cell apoptosis and promotes fibroblast survival, which are essential hallmarks in the pathogenesis of pulmonary fibrosis [27]. In IPF patients, LPA levels are elevated in bronchoalveolar lavage (BAL) and exhaled breath condensate [26, 28]. Pharmaceutical antagonism of fibrosis is currently being addressed in IPF in a phase II clinical trial [15, 29].
IPF is more frequently observed in males than females and gender influences survival prediction in currently proposed staging systems [3, 4]. The disease is mainly diagnosed after 50 years of age [1]. As our population is increasingly aging, we will expect higher prevalence and incidence of IPF in the near future.
The prevalence and incidence of IPF varies depending on the country and case definition [30], which changed over the last decade. The annual prevalence in the United States was estimated as 14.9 to 27.9 or 42.7 to 63 per 100,000 population (depending on the respective case definitions).[30]. Based on recent data, the prevalence of IPF was 1.25 to 23.4 per 100,000 population in European studies in Belgium, the Czech Republic, Finland, Greece, Italy or Norway, or multinational studies [30]. In one study, prevalence in patients over 75 years reached more than 170 per 100,000 [4]. The annual incidence in the US was estimated to be 6.8 to 8.8 or 16.3 to 17.4 per 100,000 population (depending on the respective case definitions) [30]. In Europe the incidence is reported to be between 0.22 to 7.94 per 100,000 [30]. No data are available for Switzerland so far. With a current population of approximately 8 million inhabitants [31], the number of patients in Switzerland might vary from 100 to over 5,000 patients (prevalence 1.25–63 cases/100,000) and the annual incidence between 18 and 1,424 patients/year (0.22–17.4 cases/100,000). The differences in prevalence and incidence in available data points to difficulties of data collection between individual national registers, and highlights the importance of globally structured registers, especially for rare diseases such as IPF [32].
IPF is found in familial clusters [33] as well as sporadic forms. Genetic mutations have been observed in both settings [34, 35]. In sporadic IPF, the following mutations were observed: MUC5B (35%), SPC (1%), SPA (1%), TERT and TERC (3%) [35].
Gastro-oesophageal reflux is common in patients with IPF [36]. However, whether gastro-oesophageal reflux represents a risk factor for IPF remains unclear [37]. Smoking has been associated with IPF and is considered a risk factor [1, 38]. Environmental factors are also thought to play a role in the development of IPF [1]. With adjusted for age and smoking, dusty environments were associated with a higher risk for developing IPF [39]. The dusts included were specifically metal dust, and farming, livestock, hairdressing, raising birds, stone cutting, vegetable and animal dust [39].
Although viral infection (e.g. herpes and other viruses such as hepatitis C and B, Epstein Barr virus etc. [40]) has been suggested to contribute to the progression in IPF [1, 41], current literature suggests a possible role for bacteria and change in microbiome in IPF development [40, 42]. Specific bacteria of the lung microbiome from IPF patients are associated with disease progression [43]. However, if alterations in lung microbiome are cause or consequence of fibrosis still needs to be addressed.
Clinical symptoms are nonspecific and consist of exercise-induced dyspnoea and dry cough. Progressive fibrotic replacement of the normal lung architecture impairs gas exchange and goes along with a restrictive ventilatory defect. Lung auscultation reveals characteristic bilateral inspiratory crackles at the lung bases.

Figure 4
Diagnostic algorithm for suspected idiopathic pulmonary fibrosis. In the case of suspicion the patient is evaluated by an experienced pulmonologist. High-resolution computed tomography and bronchoalveolar lavage are performed. If the diagnosis is not clear the patients are discussed at a multidisciplinary interstitial lung disease (ILD) board and further diagnostic steps are taken if indicated (modified from [1].
Since evidence of possible aetiologies of the fibrotic lung disease is not a prerequisite for diagnosis of IPF, an extensive patient history is crucial. In particular, we check for environmental and occupational exposures to particulates, collagen-vascular diseases (e.g. systemic sclerosis, rheumatoid arthritis), intake of lung-toxic medications, family history, and potential disease-triggering comorbidities, such as gastro-oesophageal reflux symptoms. IPF patients often present with asymptomatic reflux and microaspiration, which are difficult to diagnose [44]. In absence of a current agreement, we do not routinely perform 24-hour pH monitoring, only if atypical symptoms are present.
We additionally search for comorbidities such as obstructive sleep apnoea syndrome (OSAS), pulmonary hypertension and lung cancer. OSAS has a high prevalence in IPF patients [45]. Nocturnal respiratory polygraphy is performed if the patient is symptomatic (increased daytime sleepiness). Pulmonary hypertension should be searched for with echocardiography, especially if reduction in diffusion capacity and/or hypoxaemia is discordant with fibrotic changes, as we might consider treatment in patients with pulmonary-arterial hypertension (group 1) according to current recommendations. Vasoactive treatment is actually not recommended in patients with pulmonary hypertension related to lung disease (group 3) and might even be harmful as a result of a worsened ventilation/perfusion ratio and, therefore, impaired gas exchange under treatment in these patients [46]. Coronary artery disease and pulmonary embolism should be sought if suspected [1]. IPF is associated with an increased risk of lung cancer, and influences survival after surgery [47]. Reported cancer types are squamous cell carcinoma and adenocarcinoma, but other histological types can also occur [47]. Computed tomography (CT) scans should be monitored carefully for suspicion lesions, however regular CT screening for cancer is not recommended in IPF patients
Laboratory work-up for IPF patients should include blood sedimentation rate, haematological blood differentiation, C-reactive protein, renal and hepatological parameters. We routinely determine serological markers for systemic rheumatic diseases (e.g. antinuclear antibodies, antineutrophil cytoplasmic antibodies, rheumatic factor, anti-cyclic citrullinated peptide [CCP]) to rule out pulmonary manifestations of a so-far undetected rheumatic disease. General serological screening for rheumatic diseases in ILD may be reasonable since fibrotic lung disease may be present long before rheumatic symptoms. Specific markers are only measured in the case of clinical suspicion (i.e. anti-Jo, SS-A, SS-B, anti-centromeres, anti-topoisomerase, anti-U3–RNA).
For diagnosis of IPF, high-resolution computed tomography (HRCT) of the lung is essential. Radiological criteria for IPF are classified into three categories: UIP pattern, possible UIP and inconsistent with UIP pattern [1]. The diagnosis of a UIP pattern requires subpleural and basal predominance, reticular abnormalities, honeycombing with or without traction bronchiectasis (example see fig. 1) and absence of features inconsistent with UIP pattern, such as upper or mid-lung predominance, peribronchovascular predominance, extensive ground glass shadowing, profuse micronodules, discrete cysts, diffuse mosaic attenuation or air trapping, and consolidation in bronchopulmonary segments or lobes [1]. In addition to HRCT, we perform bronchoscopy and BAL if possible, as lymphocytosis >15% or eosinophilia >1% favours an alternative diagnosis to IPF [48, 49]. In specific cases, transbronchial biopsies and/or cryobiopsies are taken, in particular to rule out differential diagnoses such as sarcoidosis or lymphangiosis carcinomatosa.
Interstitial lung diseases (ILDs) are classified into ILD secondary to an identified cause or of idiopathic origin, called idiopathic interstitial pneumonia (IIP). IPF is considered one of the major IIPs. A recent summary of the new classification gives an overview of the differential diagnosis for IPF [50]. The main emphasis for IPF diagnosis and the gold standard are now laid on multidisciplinary board discussions to improve diagnostic accuracy [1, 51]. These multidisciplinary boards should include a pulmonologist, a radiologist and a pathologist [50]. In a study evaluating the impact of multidisciplinary boards, clinicians identified the diagnosis in 75% and radiologists in 48% of cases before presentation of the histopathological information [51]. The radiologist changed diagnosis after histopathological information to a greater extent than did clinicians [51]. This study illustrates an important challenge in IPF diagnosis: the radiological UIP pattern alone in the correct clinical context is sufficient for the diagnosis of IPF [1], but diagnosis of IPF by a radiologist alone is not accurate, since the differential diagnoses need to be ruled out when a radiological UIP pattern is present. Diagnosis and working out the differential diagnosis for IPF is crucial and can be challenging. Referral to a specialised ILD centre allows the access to multidisciplinary boards and, if possible, inclusion in clinical trials or registries. Moreover, interdisciplinary boards that are open to all treating physicians, both in hospital and out of hospital based, allow optimal patient care by coordination between specialised ILD centres, the treating pulmonologists as well as primary care physicians. A specialised nurse for ILD patients may further support optimal care in patient-related issues (e.g. medication, long-term oxygen therapy, pulmonary rehabilitation, psychosocial support).
A diagnostic algorithm for suspected IPF is presented in figure 4.
IPF can have various disease courses [1]. Whereas some patients remain almost stable over years, some experience rapid progression. Another group presents with repetitive acute worsening that can be secondary to pulmonary embolism, pneumothorax, infection or heart failure. If no cause can be identified the term acute exacerbation is used [1, 52]. Acute exacerbations in IPF are defined in the current guidelines as an unexplained worsening of dyspnoea within 1 month, evidence of hypoxaemia as defined by worsened or severely impaired gas exchange, new radiographic alveolar infiltrates and an absence of an alternative explanation (infection, pulmonary embolism, pneumothorax or heart failure) [1]. Probably many acute exacerbations in IPF have some underlying unrecognised trigger and the requirement of idiopathic genesis of acute exacerbations is currently challenged [53]. This is why clinical treatment includes empirical antibiotic treatment even if no pathogen has been identified [54]. Unfortunately, the clinical course of IPF is unpredictable at diagnosis.
Due to novel insights and treatment possibilities in IPF the international guidelines published in 2011 [1] do not reflect the current standard of treatment. Meanwhile, national updates have been published in Europe [55–57].
Over the last decades many therapeutic concepts proved to be unsuccessful. In particular, immunosuppressive treatment did not show any benefit [9]. In this respect, treatment with corticosteroid monotherapy, colchicine, ciclosporin, corticosteroid and immunomodulation (azathioprine [9], cyclophosphamide, etanercept), N-acetylcyteine [58], Interferon-γ1b [59], bosentan [60] or ambrisentan [61] or imatinib [21] did not show to be of sufficient benefit and were therefore disapproved in recent guidelines [1].
In particular, a placebo-controlled randomised trial had to be stopped early over safety concerns in the arm treated with prednisone, azathioprine and N-acetylcysteine (PANTHER-IPF study) [9]. Immunsuppression should thus not be used in IPF. The placebo arm and the N-acetylcysteine arm of the PANTHER-IPF study were continued to evaluate the effect of N-acetylcysteine alone on IPF [58]. After 60 weeks no difference in FVC was observed between N-acetylcysteine and placebo [58]. Although an initial small study showed a survival benefit in IPF patients under anticoagulation therapy during acute exacerbation,[62] a larger study showed increased mortality with long term warfarin therapy in IPF [63]. Anticoagulation should thus not be used in IPF.
After years of disappointing clinical trials in IPF, there is now light on the horizon regarding treatment of IPF since two agents, pirfenidone and nintedanib, showed positive effects on slowing the progression of the disease and are now available for IPF patients in Switzerland via specific compassionate use program.
Pirfenidone is a new oral antifibrotic agent that inhibits the TGF-β pathway. The exact cellular mechanisms of action are unknown. Two out of three previously conducted phase III trials with pirfenidone showed reduced disease progression, measured as forced vital capacity (FVC) or vital capacity in patients with IPF [64, 65]. Last year a fourth phase III trial was published, which showed reduced disease progression in lung function, exercise tolerance and progression-free survival compared with placebo in a total of 555 patients over 52 weeks [66]. The primary endpoint, reduction in FVC, showed a mean difference in decline of 193 ml between the placebo and treatment groups (235 ml mean decline from baseline in pirfenidone group, 428 ml mean decline from baseline in placebo group). Moreover, the pirfenidone group showed a nonsignificant trend to reduced mortality. Although objective differences in this study were convincing, no difference in perception of dyspnoea could be found [66]. Cough seemed to be reduced in the pirfenidone treated group but has not been analysed objectively. Side effects included gastrointestinal disturbances and phototoxicity, which required specific protective measures such as sun protective clothing and sun screen. In daily practice gastrointestinal and phototoxic side effects can often be managed by temporary dose reduction (intended dose 3 x 3 cps of 267 mg pirfenidone per day) and intake of pirfenidone during meals. In our experience discontinuation of the drug is rarely necessary although real life experiences from other centres reported discontinuation rates up to 20% due to side effects [67]. While pirfenidone has already been approved in Europe [68], Japan, Canada and the USA [69], official approval in Switzerland is pending. However, pirfenidone can be prescribed by ILD specialised centres.
Nintedanib is an intracellular inhibitor of several tyrosine kinases, inhibiting PDGF, VEGF and FGF. Two phase III trials of nintedanib evaluated the efficacy and safety of nintedanib in a total of 1,066 patients over 52 weeks. nintedanib reduced the decline of FVC (100 ml FVC decline in nintedanib treated group vs 220 ml decline in placebo group). It also reduced the occurrence of acute exacerbations. No difference was observed with regard to diffusion capacity for CO (DLCO) measurement or in 6-minute walking distance. Side effects frequently included diarrhoea; however, discontinuation of the drug was only necessary in fewer than 5% of patients [70]. Side effects can generally be managed using antidiarrhoeal medication and/or dose reduction (intended dose 2 x 150 mg nintedanib, reduction to 2 x 100 mg possible). Nintedanib is not approved in Switzerland yet, but has been available through a compassionate use programme in ILD specialised centres since 2014.
Based on the study selection criteria of the respective trials, treatment with pirfenidone is effective with a FVC of 50%–90%, DLCO 30%–90%, FEV1/FVC >0.80 and a 6-minute walking distance of >150 m [66]. Nintedanib was shown to be effective in patients with FVC >50%, DLCO 30%–79% and FEV1/FVC >0.70 [70]. It is probable, but unproven, that more severe forms might also benefit from antifibrotic treatment if side effects are tolerable. Lung transplantation remains the last option. Whether antifibrotics should be discontinued before lung transplantation (possibility of impaired wound healing) should be evaluated with the respective transplantation centre.
Antifibrotic treatment should be started in symptomatic patients with loss of FVC. However, based on the present knowledge it is not clear if antifibrotic treatment should be started in clinically stable patients with mild IPF. In stable and/or unimpaired patients treatment introduction might be evaluated according to lung functional decline over 3 months. Alternatively, an immediate start should always be discussed with the patient, as lost lung function will not recover under treatment.
With currently available data no superiority of either medication can be concluded from the published studies. Choice of antifibrotics should be based on comorbidities, potential side effects considering life style (phototoxicity) and also patients’ preferences. Head to head comparisons will be needed to determine equal efficacy of both treatments.
The combination of pirfenidone and nintedanib has been evaluated with regards to safety and pharmacokinetics, with lower levels of nintedanib when added to pirfenidone [71]. A synergistic effect on outcome has not been studied in a clinical trial so far.
Although there are only few studies investigating the effects of pulmonary rehabilitation in IPF patients [72], pulmonary rehabilitation seems to be beneficial regarding exercise capacity and quality of life [73]. Short-term treatment efficacy for clinical improvement has been proven in a recent study with IPF patients [74]. Pulmonary rehabilitation should thus be offered to patients with IPF, in either the out- or inpatient setting.
Hypoxia at rest and even more during exercise is common in patients with ILD. Long-term-oxygen therapy in hypoxic patients with IPF has not been appropriately studied until today regarding its prognostic benefit in ILD. Retrospective studies suggest a benefit in exercise performance with appropriate flow rates [75]. High oxygen supply and mobility can be guaranteed using liquid oxygen as well as controlled oxygen release upon inspiration. The exact oxygen need should always be titrated at rest, during night as well and in particular during exercise. We usually perform a 6-minute walking test to titrate the optimal oxygen dose under exercise, aiming at a minimal oxygen saturation level of 90% under exercise. Despite the lack of properly designed studies, supplemental oxygen reduces symptoms, specifically dyspnoea on exertion. Therefore, oxygen supplementation is currently recommended in international guidelines [1].
Mechanical ventilation in IPF patients with respiratory failure should be reserved to a minority. Invasive ventilation in IPF patients admitted to the intensive care unit was associated with a high mortality [76]. Invasive mechanical ventilation should be considered only if used as bridge for preplanned lung transplantation. Although large prospective studies are not available, non-invasive ventilation has been suggested for acute exacerbation and acute respiratory failure in IPF patients [77, 78].
IPF accounts for the largest patient group on the transplant list and survival post-transplant is estimated as 4.5 years [6]. With 5-year survival rates of about 50% internationally [6], and even higher in Switzerland [79], and evidence of favourable long-term survival in IPF patients after lung transplantation, current statements recommend early evaluation for lung transplantation of patients with progressive IPF disease with limited diffusion capacity [1].
The initial steps in face of a patient with clinical worsening is the exclusion of treatable causes such as pulmonary infection, lung embolism, pneumothorax, cardiac decompensation, or stenosing lung cancer. If no treatable cause can be identified, the clinical worsening is assumed to be due to an acute exacerbation of the disease. Although high-dose steroid treatment is recommended for acute exacerbations in IPF [1], evidence for efficacy is lacking and prospective clinical trials are needed to determine its role [80]. If the clinical situation allows a bronchoscopy, BAL should be performed to rule out pulmonary infection before starting steroid therapy. Antibiotic treatment depends on the clinical situation and/or the BAL results. Mechanical ventilation may be needed although it needs to be taken into consideration that the weaning process may be challenging.
Pulmonary hypertension occurs in more than 45% of patients suffering from IPF and awaiting lung transplantation [81]. Currently there is no general recommendation for the treatment of pulmonary hypertension in IPF patients [1]. Various treatments have been tested, but failed to show improved outcome [82]. Additional prospective studies are needed to determine the role of specific vasoactive treatment of pulmonary hypertension in IPF.
Gastro-oesophageal reflux has been associated with the development of IPF, and reflux therapy is estimated to be beneficial in symptomatic and asymptomatic IPF patients, although controlled clinical trials are needed [83]. At this time, although current guidelines recommend that both symptomatic and asymptomatic gastro-oesophageal reflux should be treated in patients with IPF [1], there is consensus only that symptomatic IPF patients should be treated with PPI. In asymptomatic patients, treatment indication remains controversial and additional studies need to be performed.
Although palliative care is a major aspect for a devastating disease like IPF, recent international statements did not give detailed recommendations [1]. A nurse specialised for ILD can be very supportive for IPF patients in several aspects including medical treatment, long-term oxygen treatment, and also economical aspects (healthcare). At what time point antifibrotic therapy should be stopped, is undefined. Definitively, medication should be stopped once the palliative stage is entered to avoid unnecessary side effects.
Dyspnoea and cough are the main symptoms in progressive disease, reduce quality of life and are difficult to treat. Pirfenidone might have some effects on cough [84], and is currently studied. Specifically, cough in IPF is often resistant to anticough medications and novel therapeutic approaches are definitively needed.
Treatment of IPF shows a turning point now as two new antifibrotic agents are available which have shown reduction in disease progression in placebo-controlled trials. Although disease improvement or even cure can still not be expected, there is hope that future drugs and combination therapies are able to transform IPF from a lethal to a chronic, but treatable, disease. It is of utmost importance to determine prevalence and incidence in Switzerland to optimise accessibility of new treatments for these patients. A national register will be set up and help to structure and control quality of care for IPF patients. National and international collaborations are crucial to get more insight in IPF and its novel therapies. Collaboration with specialised ILD centres should be achieved for accurate diagnosis and treatment, to collect clinical data in patient registries and include patients in clinical trials, whenever possible.
Acknowledgements: We thank Dr. Sabina Berezowska for the histopathological image of a typical UIP pattern from an IPF patient. We also thank Prof. J.-D. Aubert for sharing swiss transplant data for fibrotic lung diseases from 2007– today.
Disclosure statement: Both authors are advisory board members at Boehringer Ingelheim and Intramune. MF received research support from Boehringer Ingelheim and Intramune.
1 Raghu G, Collard HR, Egan JJ, Martinez FJ, Behr J, Brown KK, et al. An official ATS/ERS/JRS/ALAT statement: idiopathic pulmonary fibrosis: evidence-based guidelines for diagnosis and management. Am J Respir Crit Care Med. 2011;183(6):788–824.
2 Rudd RM, Prescott RJ, Chalmers JC, Johnston ID. British Thoracic Society Study on cryptogenic fibrosing alveolitis: Response to treatment and survival. Thorax. 2007;62(1):62–6.
3 Ley B, Ryerson CJ, Vittinghoff E, Ryu JH, Tomassetti S, Lee JS, et al. A multidimensional index and staging system for idiopathic pulmonary fibrosis. Ann Intern Med. 2012;156(10):684–91.
4 Coultas DB, Zumwalt RE, Black WC, Sobonya RE. The epidemiology of interstitial lung diseases. Am J Respir Crit Care Med. 1994;150(4):967–72.
5 Baumgartner KB, Samet JM, Stidley CA, Colby TV, Waldron JA. Cigarette smoking: a risk factor for idiopathic pulmonary fibrosis. Am J Respir Crit Care Med. 1997;155(1):242–8.
6 Kistler KD, Nalysnyk L, Rotella P, Esser D. Lung transplantation in idiopathic pulmonary fibrosis: a systematic review of the literature. BMC Pulm Med. 2014;14:139.
7 Selman M, King TE, Pardo A. Idiopathic pulmonary fibrosis: prevailing and evolving hypotheses about its pathogenesis and implications for therapy. Ann Intern Med. 2001;134(2):136–51.
8 Geiser T. Idiopathic pulmonary fibrosis – a disorder of alveolar wound repair? Swiss Med Wkly. 2003;133(29–30):405–11.
9 Raghu G, Anstrom KJ, King TE, Jr., Lasky JA, Martinez FJ. Prednisone, azathioprine, and N-acetylcysteine for pulmonary fibrosis. N Engl J Med. 2012;366(21):1968–77.
10 Gunther A, Korfei M, Mahavadi P, von der Beck D, Ruppert C, Markart P. Unravelling the progressive pathophysiology of idiopathic pulmonary fibrosis. Eur Respir Rev. 2012;21(124):152–60.
11 Barkauskas CE, Noble PW. Cellular mechanisms of tissue fibrosis. 7. New insights into the cellular mechanisms of pulmonary fibrosis. Am J Physiol Cell Physiol. 2014;306(11):C987–96.
12 Sakai N, Tager AM. Fibrosis of two: Epithelial cell-fibroblast interactions in pulmonary fibrosis. Biochim Biophys Acta. 2013;1832(7):911–21.
13 Ahluwalia N, Shea BS, Tager AM. New Therapeutic Targets in Idiopathic Pulmonary Fibrosis: Aiming to Rein in Runaway Wound Healing Responses. Am J Respir Crit Care Med. 2014;190(8):867–78.
14 Scotton CJ, Chambers RC. Molecular targets in pulmonary fibrosis: the myofibroblast in focus. Chest. 2007;132(4):1311–21.
15 http://www.clinicaltrial.gov .
16 Chambers RC, Leoni P, Blanc-Brude OP, Wembridge DE, Laurent GJ. Thrombin is a potent inducer of connective tissue growth factor production via proteolytic activation of protease-activated receptor-1. J Biol Chem. 2000;275(45):35584–91.
17 Mori T, Kawara S, Shinozaki M, Hayashi N, Kakinuma T, Igarashi A, et al. Role and interaction of connective tissue growth factor with transforming growth factor-beta in persistent fibrosis: A mouse fibrosis model. J Cell Physiol. 1999;181(1):153–9.
18 Bonniaud P, Martin G, Margetts PJ, Ask K, Robertson J, Gauldie J, et al. Connective tissue growth factor is crucial to inducing a profibrotic environment in “fibrosis-resistant” BALB/c mouse lungs. Am J Respir Cell Mol Biol. 2004;31(5):510–6.
19 Kono M, Nakamura Y, Suda T, Kato M, Kaida Y, Hashimoto D, et al. Plasma CCN2 (connective tissue growth factor; CTGF) is a potential biomarker in idiopathic pulmonary fibrosis (IPF). Clin Chim Acta. 2011;412(23–24):2211–5.
20 Nishioka Y, Azuma M, Kishi M, Aono Y. Targeting platelet-derived growth factor as a therapeutic approach in pulmonary fibrosis. J Med Invest. 2013;60(3–4):175–83.
21 Daniels CE, Lasky JA, Limper AH, Mieras K, Gabor E, Schroeder DR. Imatinib treatment for idiopathic pulmonary fibrosis: Randomized placebo-controlled trial results. Am J Respir Crit Care Med. 2010;181(6):604–10.
22 Ando M, Miyazaki E, Ito T, Hiroshige S, Nureki SI, Ueno T, et al. Significance of serum vascular endothelial growth factor level in patients with idiopathic pulmonary fibrosis. Lung. 2010;188(3):247–52.
23 Hanumegowda C, Farkas L, Kolb M. Angiogenesis in pulmonary fibrosis: too much or not enough? Chest. 2012;142(1):200–7.
24 Borensztajn K, Crestani B, Kolb M. Idiopathic pulmonary fibrosis: from epithelial injury to biomarkers-insights from the bench side. Respiration. 2013;86(6):441–52.
25 Okudaira S, Yukiura H, Aoki J. Biological roles of lysophosphatidic acid signaling through its production by autotaxin. Biochimie. 2010;92(6):698–706.
26 Tager AM, LaCamera P, Shea BS, Campanella GS, Selman M, Zhao Z, et al. The lysophosphatidic acid receptor LPA1 links pulmonary fibrosis to lung injury by mediating fibroblast recruitment and vascular leak. Nat Med. 2008;14(1):45–54.
27 Funke M, Zhao Z, Xu Y, Chun J, Tager AM. The lysophosphatidic acid receptor LPA1 promotes epithelial cell apoptosis after lung injury. Am J Respir Cell Mol Biol. 2012;46(3):355–64.
28 Montesi SB, Mathai SK, Brenner LN, Gorshkova IA, Berdyshev EV, Tager AM, et al. Docosatetraenoyl LPA is elevated in exhaled breath condensate in idiopathic pulmonary fibrosis. BMC Pulm Med. 2014;14:5.
29 Kihara Y, Mizuno H, Chun J. Lysophospholipid receptors in drug discovery. Exp Cell Res. 2014 Dec 8. pii: S0014–4827(14)00523–0.
30 Nalysnyk L, Cid-Ruzafa J, Rotella P, Esser D. Incidence and prevalence of idiopathic pulmonary fibrosis: review of the literature. Eur Respir Rev. 2012;21(126):355–61.
31 Schweizerisches Bundesamt für Statistik. Bevölkerungsstand und -struktur – Indikatoren, 2014.
32 Ryerson CJ, Corte TJ, Collard HR, Richeldi L. A global registry for idiopathic pulmonary fibrosis: the time is now. Eur Respir J. 2014;44(2):273–6.
33 Lee HL, Ryu JH, Wittmer MH, Hartman TE, Lymp JF, Tazelaar HD, et al. Familial idiopathic pulmonary fibrosis: clinical features and outcome. Chest. 2005;127(6):2034–41.
34 Fernandez BA, Fox G, Bhatia R, Sala E, Noble B, Denic N, et al. A Newfoundland cohort of familial and sporadic idiopathic pulmonary fibrosis patients: clinical and genetic features. Respir Res. 2012;13:64.
35 Wolters PJ, Collard HR, Jones KD. Pathogenesis of idiopathic pulmonary fibrosis. Annu Rev Pathol. 2014;9:157–79.
36 Savarino E, Carbone R, Marabotto E, Furnari M, Sconfienza L, Ghio M, et al. Gastro-oesophageal reflux and gastric aspiration in idiopathic pulmonary fibrosis patients. Eur Respir J. 2013;42(5):1322–31.
37 Lee JS. The Role of Gastroesophageal Reflux and Microaspiration in Idiopathic Pulmonary Fibrosis. Clin Pulm Med. 2014;21(2):81–5.
38 Ekstrom M, Gustafson T, Boman K, Nilsson K, Tornling G, Murgia N, et al. Effects of smoking, gender and occupational exposure on the risk of severe pulmonary fibrosis: a population-based case-control study. BMJ Open. 2014;4(1):e004018.
39 Baumgartner KB, Samet JM, Coultas DB, Stidley CA, Hunt WC, Colby TV, et al. Occupational and environmental risk factors for idiopathic pulmonary fibrosis: a multicenter case-control study. Collaborating Centers. Am J Epidemiol. 2000;152(4):307–15.
40 Molyneaux PL, Maher TM. The role of infection in the pathogenesis of idiopathic pulmonary fibrosis. Eur Respir Rev. 2013;22(129):376–81.
41 Kropski JA, Lawson WE, Blackwell TS. Right place, right time: the evolving role of herpesvirus infection as a “second hit” in idiopathic pulmonary fibrosis. Am J Physiol Lung Cell Mol Physiol. 2012;302(5):L441–4.
42 Molyneaux PL, Cox MJ, Willis-Owen SA, Mallia P, Russell KE, Russell AM, et al. The Role of Bacteria in the Pathogenesis and Progression of Idiopathic Pulmonary Fibrosis. Am J Respir Crit Care Med. 2014;190(8):906–13.
43 Han MK, Zhou Y, Murray S, Tayob N, Noth I, Lama VN, et al. Lung microbiome and disease progression in idiopathic pulmonary fibrosis: an analysis of the COMET study. Lancet Respir Med. 2014;2(7):548–56.
44 Lee JS. The Role of Gastroesophageal Reflux and Microaspiration in Idiopathic Pulmonary Fibrosis. Clin Pulm Med. 2014;21(2):81–5.
45 Lancaster LH, Mason WR, Parnell JA, et al. Obstructive Sleep Apnea is common in Idiopathic Pulmonary Fibrosis. Chest. 2009;136:772–8.
46 Seeger W, Yochai A, Babera JA, et al. Pulmonary hypertension in Chronic Lung Disease. JACC 2013, Vol 62, No 25, Suppl D.
47 Lee T, Park JY, Lee HY, et al. Lung cancer in patients with idiopathic pulmonary fibrosis: Clinical characteristics and impact on survival. Resp Med. 2014;108:1549–55.
48 Meyer KC, Raghu G, Baughman RP, Brown KK, Costabel U, du Bois RM, et al. An official American Thoracic Society clinical practice guideline: the clinical utility of bronchoalveolar lavage cellular analysis in interstitial lung disease. Am J Respir Crit Care Med. 2012;185(9):1004–14.
49 Welker L, Jorres RA, Costabel U, Magnussen H. Predictive value of BAL cell differentials in the diagnosis of interstitial lung diseases. Eur Respir J. 2004;24(6):1000–6.
50 Travis WD, Costabel U, Hansell DM, King TE, Jr., Lynch DA, Nicholson AG, et al. An official American Thoracic Society/European Respiratory Society statement: Update of the international multidisciplinary classification of the idiopathic interstitial pneumonias. Am J Respir Crit Care Med. 2013;188(6):733–48.
51 Flaherty KR, King TE, Jr., Raghu G, Lynch JP, 3rd, Colby TV, Travis WD, et al. Idiopathic interstitial pneumonia: what is the effect of a multidisciplinary approach to diagnosis? Am J Respir Crit Care Med. 2004;170(8):904–10.
52 Collard HR, Moore BB, Flaherty KR, Brown KK, Kaner RJ, King TE, Jr., et al. Acute exacerbations of idiopathic pulmonary fibrosis. Am J Respir Crit Care Med. 2007;176(7):636–43.
53 Johannson K, Collard HR. Acute Exacerbation of Idiopathic Pulmonary Fibrosis: A Proposal. Curr Respir Care Rep. 2013;2(4).
54 Antoniou KM, Wells AU. Acute exacerbations of idiopathic pulmonary fibrosis. Respiration. 2013;86(4):265–74.
55 Behr J, Gunther A, Ammenwerth W, Bittmann I, Bonnet R, Buhl R, et al. German guideline for diagnosis and management of idiopathic pulmonary fibrosis. Pneumologie. 2013;67(2):81–111.
56 Cottin V, Crestani B, Valeyre D, Wallaert B, Cadranel J, Dalphin JC, et al. French practical guidelines for the diagnosis and management of idiopathic pulmonary fibrosis. From the National Reference and the Competence centers for rare diseases and the Societe de Pneumologie de Langue Francaise. Rev Mal Respir. 2013;30(10):879–902.
57 Xaubet A, Behr J, Bendstrup E, Cottin V, Hirani N, Kahler C, et al. Review of IPF diagnosis and management recommendations in Europe. Sarcoidosis Vasc Diffuse Lung Dis. 2013;30(4):249–61.
58 Martinez FJ, de Andrade JA, Anstrom KJ, King TE, Jr., Raghu G. Randomized trial of acetylcysteine in idiopathic pulmonary fibrosis. N Engl J Med. 2014;370(22):2093–101.
59 King TE, Jr., Albera C, Bradford WZ, Costabel U, Hormel P, Lancaster L, et al. Effect of interferon gamma-1b on survival in patients with idiopathic pulmonary fibrosis (INSPIRE): a multicentre, randomised, placebo-controlled trial. Lancet. 2009;374(9685):222–8.
60 King TE, Jr., Brown KK, Raghu G, du Bois RM, Lynch DA, Martinez F, et al. BUILD-3: a randomized, controlled trial of bosentan in idiopathic pulmonary fibrosis. Am J Respir Crit Care Med. 2011;184(1):92–9.
61 Raghu G, Behr J, Brown KK, Egan JJ, Kawut SM, Flaherty KR, et al. Treatment of idiopathic pulmonary fibrosis with ambrisentan: a parallel, randomized trial. Ann Intern Med. 2013;158(9):641–9.
62 Kubo H, Nakayama K, Yanai M, Suzuki T, Yamaya M, Watanabe M, et al. Anticoagulant therapy for idiopathic pulmonary fibrosis. Chest. 2005;128(3):1475–82.
63 Noth I, Anstrom KJ, Calvert SB, de Andrade J, Flaherty KR, Glazer C, et al. A placebo-controlled randomized trial of warfarin in idiopathic pulmonary fibrosis. Am J Respir Crit Care Med. 2012;186(1):88–95.
64 Taniguchi H, Ebina M, Kondoh Y, Ogura T, Azuma A, Suga M, et al. Pirfenidone in idiopathic pulmonary fibrosis. Eur Respir J. 2010;35(4):821–9.
65 Noble PW, Albera C, Bradford WZ, Costabel U, Glassberg MK, Kardatzke D, et al. Pirfenidone in patients with idiopathic pulmonary fibrosis (CAPACITY): two randomised trials. Lancet. 2011;377(9779):1760–9.
66 King TE, Jr., Bradford WZ, Castro-Bernardini S, Fagan EA, Glaspole I, Glassberg MK, et al. A phase 3 trial of pirfenidone in patients with idiopathic pulmonary fibrosis. N Engl J Med. 2014;370(22):2083–92.
67 Oltmanns U, Kahn N, Palmowski K, Trager A, Wenz H, Heussel CP, et al. Pirfenidone in idiopathic pulmonary fibrosis: real-life experience from a German tertiary referral center for interstitial lung diseases. Respiration. 2014;88(3):199–207.
68 Behr J, Richeldi L. Recommendations on treatment for IPF. Respir Res. 2013;14(Suppl 1):S6.
69 FDA. http://www.fda.gov/NewsEvents/Newsroom/PressAnnouncements/ucm418991.htm, 2014.
70 Richeldi L, du Bois RM, Raghu G, Azuma A, Brown KK, Costabel U, et al. Efficacy and safety of nintedanib in idiopathic pulmonary fibrosis. N Engl J Med. 2014;370(22):2071–82.
71 Ogura T, Taniguchi H, Azuma A, Inoue Y, Kondoh Y, Hasegawa Y, et al. Safety and pharmacokinetics of nintedanib and pirfenidone in idiopathic pulmonary fibrosis. Eur Respir J 2015;45(5):1382–92.
72 Kenn K, Gloeckl R, Behr J. Pulmonary rehabilitation in patients with idiopathic pulmonary fibrosis-a review. Respiration. 2013;86(2):89–99.
73 Nishiyama O, Kondoh Y, Kimura T, Kato K, Kataoka K, Ogawa T, et al. Effects of pulmonary rehabilitation in patients with idiopathic pulmonary fibrosis. Respirology. 2008;13(3):394–9.
74 Vainshelboim B, Oliveira J, Yehoshua L, Weiss I, Fox BD, Fruchter O, et al. Exercise training-based pulmonary rehabilitation program is clinically beneficial for idiopathic pulmonary fibrosis. Respiration. 2014;88(5):378–88.
75 Frank RC, Hicks S, Duck AM, Spencer L, Leonard CT, Barnett E. Ambulatory oxygen in idiopathic pulmonary fibrosis: of what benefit? Eur Respir J. 2012;40(1):269–70.
76 Blivet S, Philit F, Sab JM, et al. Outcome of Patients with Idiopathic Pulmonary Fibrosis Admitted to the ICU with Respiratory Failure. Chest. 2001;120:209–12.
77 Vianello A, Arcaro G, Battistella L, Pipitone E, Vio S, Concas A, et al. Noninvasive ventilation in the event of acute respiratory failure in patients with idiopathic pulmonary fibrosis. J Crit Care. 2014;29(4):562–7.
78 Yokoyama T, Kondoh Y, Taniguchi H, Kataoka K, Kato K, Nishiyama O, et al. Noninvasive ventilation in acute exacerbation of idiopathic pulmonary fibrosis. Intern Med. 2010;49(15):1509–14.
79 Personal communication Prof. J.-D. Aubert, Pulmonary Department, CHUV, Lausanne.
80 Strebel C, Geiser T, Funke M. Steroide in der idiopathischen Lungenfibrose – häufig verordnet, immer von Nutzen? SMF:725–29.
81 Shorr AF, Wainright JL, Cors CS, Lettieri CJ, Nathan SD. Pulmonary hypertension in patients with pulmonary fibrosis awaiting lung transplant. Eur Respir J. 2007;30(4):715–21.
82 Nathan SD, King CS. Treatment of pulmonary hypertension in idiopathic pulmonary fibrosis: shortfall in efficacy or trial design? Drug Des Devel Ther. 2014;8:875–85.
83 Lee JS, Collard HR, Anstrom KJ, Martinez FJ, Noth I, Roberts RS, et al. Anti-acid treatment and disease progression in idiopathic pulmonary fibrosis: an analysis of data from three randomised controlled trials. Lancet Respir Med. 2013;1(5):369–76.
84 Okazaki A, Ohkura N, Fujimura M, Katayama N, Kasahara K. Effects of pirfenidone on increased cough reflex sensitivity in guinea pigs. Pulm Pharmacol Ther. 2013;26(5):603–8.