Rapid induction of remission in large vessel vasculitis by IL-6 blockade

DOI: https://doi.org/10.4414/smw.2011.13156

MN Seitz, S Reichenbach, HM Bonel, S Adler, F Wermelinger, PM Villiger

Summary

OBJECTIVE: To evaluate the effect of IL-6 blockade using tocilizumab in inducing remission of arterial large vessel vasculitides (LVV).

METHODS: Five consecutive patients with giant-cell arteritis (GCA) and two with Takayasu’s arteritis (TA) were treated by tocilizumab infusions (8 mg/kg). Tocilizumab was given every other week for the first month and once monthly thereafter. Clinical symptoms of disease activity, erythrocyte sedimentation rate (ESR), C-reactive protein (CRP) level and glucocorticoid (GC) dosage necessary to maintain remission were prospectively assessed. MR angiography was performed to monitor local inflammation.

RESULTS: Of the seven patients three were newly diagnosed and four showed GC resistance, i.e. GC could not be lowered to less than 7.5 mg/day. The mean follow-up time was 4.3 months (range 3–7 months). All patients achieved a rapid and complete clinical response and normalisation of the acute phase proteins. Remarkably, prednisone dosage could be reduced within 12 weeks to a mean of 2.5 mg/day (range 0–10 mg/day). No relapse and no drug-related side effects were noted.

CONCLUSION: Collectively the data suggest that IL-6 blockade using tocilizumab qualifies as a therapeutic option to induce rapid remission in large vessel vasculitides.

A case series

Abbreviations

AZA = azathioprine

CRP = C-reactive protein

DM = diabetes mellitus

ESR = erythrocyte sedimentation rate

GCA = giant cell arteritis

GC = glucocorticoid

HP = histologically proven

IL-6 = interleukin 6

IL-6R = interleukin 6 receptor

LVV = large vessel vasculitis

MRA = magnetic resonance angiography

MP = magnetic resonance angiographically proven

MTX = methotrexate

OP = osteoporosis

POAD = peripheral occlusive arterial disease

RA = rheumatoid arthritis

TA = Takayasu’s arteritis

TCZ = tocilizumab

PMR = polymyalgia rheumatic

Introduction

Giant-cell arteritis (GCA) is an immune-mediated disease characterised by granulomatous infiltrates in the wall of medium-size and large arteries including the aorta. It affects over-50-year-olds with an annual incidence varying between 6 and 27 cases per 100 000 persons worldwide [1]. Glucocorticoids (GCs) remain the treatment of choice. They suppress signs and symptoms of inflammation and reduce the risk of vascular accidents such as blindness [2]. Takayasu’s arteritis (TA) is a rare variant of GCA chiefly affecting young females. Ongoing inflammation causes severe vascular damage and formation of stenoses and aneurysms, both of which may lead to fatal vascular accidents.

In both forms of large-vessel vasculitis relapses may occur when GC dosages are tapered, resulting in retreatment and high cumulative dosages which are associated with substantial toxicity and morbidity [3]. Thus immunosuppressive drugs such as methotrexate (MTX) and azathioprine (AZA), but also TNF-blocking agents, have been studied with a view to controlling disease and economising GC. While MTX was shown to bestow some benefit [4, 5]¸ the data on AZA remain controversial [6] and the TNF-blocking agents infliximab and etanercept were not successful in inducing and maintaining disease remission [7, 8].

IL-6 plays an important role in the pathogenesis of GCA. IL-6 levels are elevated in active disease, correlate with the acute phase response (CRP) and decline in response to GC therapy [9, 10]. Similarly to GCA, serum IL-6 levels have been reported to be elevated in patients with TA and to correlate with disease activity [11]. Collectively, current evidence indicates that IL-6 may be a good target molecule to induce remission in LVV. This hypothesis is supported by a recent case report of a patient with TA showing improvement in clinical symptoms and laboratory signs in response to blockade of IL-6 using the humanised anti-IL-6 receptor (IL-6R) antibody, tocilizumab (TCZ) [12].

Methods

Between December 2009 and July 2010 consecutive patients admitted to hospital for newly diagnosed or relapsing LVV and without contraindications for TCZ were asked to accept treatment with TCZ. Clinical (constitutional, polymyalgia, headache, claudication) and laboratory (elevated ESR, CRP) signs and symptoms of active vasculitis were assessed initially and at each infusion of TCZ. Biopsies of temporal arteries were performed and contrast-enhanced MR angiography (MRA) of the aorta was carried out before initiation of treatment and one and three months thereafter. Initial biopsies were positive in 3 and negative in 2 GCA patients. All biopsy-negative GCA patients had MRA findings characteristic for LVV. Granulomatous aortitis with giant cells was documented in one aortitis patient and typical MRA findings were present in both patients with TA. Four of five GCA patients and both TA patients fulfilled the ACR classification criteria [13, 14]. GC usage and adverse effects of TCZ were monitored.

Following detailed discussion all patients gave informed oral consent.

Results

Of the seven patients, three had histologically proven GCA in the biopsies of the temporal artery, and one of them also showed active aortitis on MRA. Two patients presented with aortitis as assessed by MRA but without temporal arteritis, and two patients had established TA based on clinical and MRA findings, one of them also having histologically proven granulomatous vasculitis.

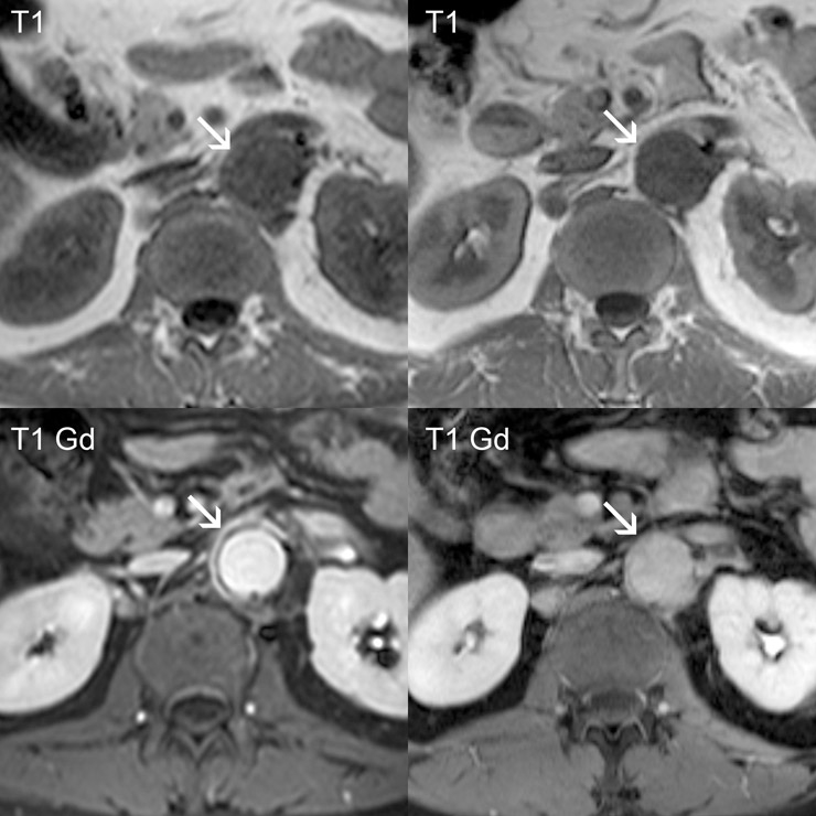
Figure 1

Abdominal magnetic resonance angiography of GCA patient 3 using a 3 Tesla scanner (first exam in the left column, right column after therapy). The inflammatory tissue is depicted as an irregular band with slightly higher signal intensity on non-enhanced T1 weighted images (arrows). After intravenous injection of paramagnetic contrast, this band enhanced conspicuously. After therapy with tocilizumab for three months, the extent of the band decreased and signal intensity after paramagnetic contrast was also considerably lower.

The mean age of GCA patients was 70 years (range: 63–79 years) and that of TA patients 33.5 years. The mean disease duration was 1.3 years in GCA and 4.9 years in TA patients. Two patients had not undergone GC therapy at any point but were immediately treated with TCZ; five patients were receiving a mean dosage of prednisone of 29.5 mg/day at the time of the initial TCZ infusion. Substantial cardiovascular co-morbidity (hypertension, peripheral occlusive arterial disease, coronary heart disease) was found in six patients, hyperlipidaemia and diabetes in two patients and osteoporosis secondary to longstanding GC therapy in another two (table 1).

At baseline, before TCZ treatment, five patients presented with constitutional symptoms such as fatigue and malaise, four with polymyalgia, one with jaw claudication, one with amaurosis fugax, one with visual impairment due to opticus neuropathy / anterior opticus ischaemia, one with headache and hyperaesthesia of the scalp, one TA patient with claudicatio of the arms and legs on exercise, and one TA patient with para-aortal leakage of a composite graft placed after acute dissection of the thoracic aorta and ischaemic abdominal pain six years before (table 2). Three GCA and two TA patients exhibited active LVV on MRA, including the thoracic and/or abdominal aorta and its branches. All patients were followed up at the University Hospital of Bern for a mean TCZ treatment period of 4.3 months (range 3–7 months). In six patients initially presenting with constitutional and vasculitic symptoms, complete remission was achieved within two months after the first TCZ infusion and remission was maintained despite continuous and rapid reduction of systemic GC. The acute phase response (ESR and CRP serum levels) returned to normal in six out of seven patients after the first TCZ infusion, and completely normalised in all patients after three months of treatment (table 2). The five patients exhibiting active LVV on MRA before TCZ treatment showed no changes in vasculitic MRA findings after one month, but improved on MRA follow-up after three months of TCZ treatment in the two TA patients and entirely resolved in the three GCA patients. A representative follow-up MRA of GCA Patient 3 before and three months after initiation of TCZ therapy is shown in figure 1. Continuous reduction of GCs over time was achieved in all patients without any signs of clinical or laboratory relapse of LVV after the fourth TCZ infusion.

After a mean follow-up of 8.3 months 3 GCA patients are still on monthly TCZ infusions and remain in complete remission without GC comedication. In the other 2 GCA patients TCZ was stopped after 7 months due to remission and without relapse. TCZ treatment had to be stopped in both TA patients after 4 and 8 months, in one patient because of refusal of the health insurance company to further support the off label use of the biological drug, and in the other because of disease relapse at a dose of 8 mg/kg and a 4-weekly interval. TA patients are currently treated with a combination of GCs plus methotrexate and with GCs, methotrexate and infliximab (5 mg/kg at 4-weekly intervals) respectively.

We observed no adverse events. In two patients we recorded an increase in serum cholesterol levels which, however, did not qualify for lipid lowering therapy.

Table 1:Patient demographic characteristics, co-morbidities and treatments.
Patient Age/sex Type of LVV Disease duration (years) Medication taken prior to TCZ GC dosage (mg/d) with first TCZ infusion Co-morbidities
1/63/M GCA, HP, MP 0.2 none POAD, lipids↑
2/40/M TA, HP, MP 6 GCs 40 art. HT
3/73/M GCA, MP 0.3 none art. HT, OP
4/71/F GCA, HP 0.8 GCs, MTX 20 art. HT, DM
5/79/F GCA, MP 4.5 GCs, MTX 10 art. HT, OP
6/64/F GCA, HP 0.5 GCs 27.5 art. HT, DM
7/27/F TA, MP 3.5 GCs, MTX, AZA, Infliximab 35 None
LVV = Large vessel vasculitis; GCA = Giant cell arteritis; TA = Takayasu’s arteritis, HP = Histologically proven; MP = magnetic resonance angiographically proven; TCZ = Tocilizumab, POAD = Peripheral occlusive arterial disease; DM = Diabetes mellitus; OP = Osteoporosis; MTX = Methotrexate; AZA = Azathioprine; GCs = Glucocorticoids; art. HT = arterial hypertension
Table 2: Outcome of three-month tocilizumab therapy in patients with large vessel vasculitis.
Patient “Malaise” before/after TCZ PMR before/after Claudicatio before/after ESR (mm/h) before/after CRP (mg/L) before/after GC dosis (mg/d) before/after
1 ++ / none ++ / none POAD / nonea 91 / 2 56 / <3 0 / 0
2 none / none none / none abdomen / none 80 / 5 41 / <3 40 / 10
3 ++ / none ++ / none jaw / none 100 / 2 61 / <3 0 / 0
4 none / none none / none visualb / none 18 / 2 14 / <3 20 / 5
5 ++ / none +++ / none visualc / none 44 / 8 13 / <3 10 / 0
6 ++ / none ++ / none craniald / none 16 / 5 4 / <3 27.5 / 5
7 + / none none / none arms and legs / none 40 / <3 50 / <3 35 / 2.5
TCZ = Tocilizumab; PMR = Polymyalgia rheumatica; ESR = Erythrocyte sedimentation rate; CRP = C-reactive protein; POAD = Peripheral occlusive arterial disease; + little (0–2 on a visual analog scale 1–10); ++ moderate (3–7 on a visual analog scale 1–10); +++ severe (8–10 on a visual analog scale 1–10); resolved after catheter dilatation; b ischaemic opticus neuropathy; amaurosis fugax; headache and hyperaesthesia of the scalp.

Discussion

Collectively we documented a rapid and complete clinical remission of active GCA or TA by blockade of IL-6 using TCZ. Importantly, blunting of the acute phase and disappearance of symptoms of inflammation preceded reduction and resolution of the inflammation in the vessel wall, as demonstrated by MRA. This discrepancy is in line with published data of RA patients [15]. In RA, suppression of CRP synthesis preceded reduction of synovitis by several months. Whether this delay of local inflammation carries risks of vascular accidents needs to be determined in larger studies. In our case series we fortunately did not note any side effects or complications.

The rapid remission allowed early reduction of daily GCs. As indicated, two patients were treated with TCZ only. In summary, the seven cases strongly suggest that blockade of IL-6 might result in substantial reduction of cumulative GC doses. This, in turn, has the potential to significantly reduce GC morbidity, a well defined burden in elderly people in particular.

Three limitations have to be mentioned. First, the non-experimental study design, which does not allow efficacy to be inferred in the absence of a control group; second, the small number of patients, and third, the short observation time. Nevertheless, the fact that all patients responded to this IL-6 targeting strategy argues for interesting therapeutic potential, not only for patients with newly diagnosed GCA but also for patients with relapse of the disease at moderate to high doses of GCs. It remains to be analysed how long and with what infusion schedule of TCZ LVV should be treated. Based on the reported follow-up findings some patients may maintain remission even after cessation of TCZ and GC medication, while others may need shorter treatment intervals to stay in complete remission. A placebo-controlled prospective study will be started shortly to analyse and compare short- and long-term effects of IL-6 blockade and to answer the question of dosage.

Correspondence: Professor Michael Seitz Department of Rheumatology Clinical Immunology & Allergology University Hospital University of Bern CH-3010 Bern Switzerland michael.seitz@insel.ch

References

  1 Gonzàles-Gay MA, Garcia-Porruea C. Epidemiology of the vasculitides. Rheum Dis Clin North Am. 2001;27:729–49.

  2 Gonzàles-Gay MA, Garcia-Porrua C, Llorca J, Hajeer AH, Branas F, Dababneh A, et al. Visual manifestations of giant cell arteritis. Trends and clinical spectrum in 161 patients. Medicine. (Baltimore) 2000;79:283–92.

  3 Proven A, Gabriel SE, Orces C, O’Fallon WM, Hunder GG. Glucocorticoid therapy in giant cell arteritis: duration and adverse outcomes. Arthritis Rheum. 2003;49:703–8.

  4 Jover JA, Hernandez-Garcia C, Morado IC, Banares A, Fernandez-Gutiérrez B. Combined treatment of giant cell arteritis with methotrexate and prednisone: a randomized, double-blind, placebo-controlled trial. Ann Intern Med. 2001;134:106–14.

  5 Mahr AD, Jover JA, Spiera RF, Hernandez-Garcia C, Fernandez-Gutierrez B, La Valley MP. Merkel PA. Adjunctive Methotrexate for treatment of giant cell arteritis. An individual patient data meta-analysis. Arthritis Rheum. 2007;56:2789–97.

  6 De Silva M, Hazleman BL. Azathioprine in giant cell arteritis/polymyalgia rheumatic: a double-blind study. Ann Rheum Dis. 1986;45:136–8.

  7 Martínez-Taboada VM, Rodríguez-Valverde V, Carreño L, López-Longo J, Figueroa M, Belzunegui J, et al. A double-blind placebo controlled trial of etanercept in giant cell arteritis and corticosteroid side effects. Ann Rheum Dis. 2008;67:625–30.

  8 Hoffmann GS, Cid MC, Rendt-Zagar K, Merkel PA, Weyand CM, Stone JH, et al. Infliximab for maintenance of glucocorticosteroid-induced remission of giant cell arteritis. Ann Int Med. 2007;146:621–30.

  9 Emilie D, Liozon E, Crevon MC, Lavignac C, Portier A, Liozon F, et al. Production of interleukin 6 by granulomas of giant cell arteritis. Hum Immunol. 1994;39:17–24.

10 Roche NE, Fulbright JW, Wagner AD, Hunder GG, Goronzy JJ, Weyand CM. Correlation of interleukin-6 production and disease activity in polymyalgia rheumatica and giant cell arteritis. Arthritis Rheum. 1993;36:1286–94.

11 Park MC, Lee SW, Park YB, Lee SK. Serum cytokine profiles and their correlations with disease activity in Takayasu’s arteritis. Rheumatology. 2006;45:545–8.

12 Nishimoto N, Nakahara H, Yoshio-Hoshino N, Mima T. Successful treatment of a patient with Takayasu arteritis using a humanized anti-interleukin-6 receptor antibody. Arthritis Rheum. 2008;58:1197–200.

13 Hunder GG, Bloch DA, Michel BA, Stevens MB, Arend WP, Calabrese LH, et al. The American College of Rheumatology 1990 Criteria for the classification of giant cell arteritis. Arthritis Rheum. 1990;33:1122–8.

14 Arend WP, Michael BA, Bloch DA, Hunder GG, Calabrese LH, Edworthy SM, et al. The American College of Rheumatology 1990 Criteria for the Classification of Takayasu arteritis. Arthritis Rheum. 1990;33:1129–34.

15 Smolen JS, Beaulieu A, Rubbert-Roth A, Ramos-Remus C, Rovensky J, Alecock E, Woodworth T, Alten R, for the OPTION Investigators. Effect of interleukin-6 receptor inhibition with tocilizumab in patients with rheumatoid arthritis (OPTION study): a double-blind, placebo-controlled, randomized trial. Lancet. 2008;371:987–97.

Notes

Funding / potential competing interests

No funding; no competing interests.